• 文献检索
  • 文档翻译
  • 深度研究
  • 学术资讯
  • Suppr Zotero 插件Zotero 插件
  • 邀请有礼
  • 套餐&价格
  • 历史记录
应用&插件
Suppr Zotero 插件Zotero 插件浏览器插件Mac 客户端Windows 客户端微信小程序
定价
高级版会员购买积分包购买API积分包
服务
文献检索文档翻译深度研究API 文档MCP 服务
关于我们
关于 Suppr公司介绍联系我们用户协议隐私条款
关注我们

Suppr 超能文献

核心技术专利:CN118964589B侵权必究
粤ICP备2023148730 号-1Suppr @ 2026

文献检索

告别复杂PubMed语法,用中文像聊天一样搜索,搜遍4000万医学文献。AI智能推荐,让科研检索更轻松。

立即免费搜索

文件翻译

保留排版,准确专业,支持PDF/Word/PPT等文件格式,支持 12+语言互译。

免费翻译文档

深度研究

AI帮你快速写综述,25分钟生成高质量综述,智能提取关键信息,辅助科研写作。

立即免费体验

回盲部增厚:常见问题的临床处理方法

Ileocecal thickening: Clinical approach to a common problem.

作者信息

Agarwala Roshan, Singh Abhi K, Shah Jimil, Mandavdhare Harshal S, Sharma Vishal

机构信息

Department of Gastroenterology Postgraduate Institute of Medical Education and Research Chandigarh India.

Department of Internal Medicine Postgraduate Institute of Medical Education and Research Chandigarh India.

出版信息

JGH Open. 2019 Apr 22;3(6):456-463. doi: 10.1002/jgh3.12186. eCollection 2019 Dec.

DOI:10.1002/jgh3.12186
PMID:31832544
原文链接:https://pmc.ncbi.nlm.nih.gov/articles/PMC6891021/
Abstract

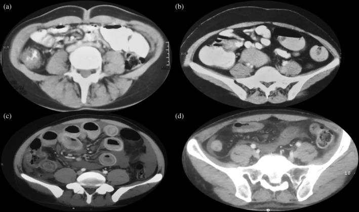
Ileocecal thickening (ICT) is a common finding on radiological imaging. It can be caused by a variety of inflammatory, infectious, or neoplastic conditions, and evaluating a patient of ICT can be a challenging task. Intestinal tuberculosis (ITB), Crohn's disease (CD), and adenocarcinoma are the most common causes. Enteric bacterial infections, cytomegalovirus, histoplasmosis, amebiasis, systemic vasculitis, lymphoma, etc. should be suspected in appropriate clinical settings. However, it could often be a spurious or nonspecific finding. A thickness of more than 3 mm in a normally distended small bowel is usually considered abnormal. Detailed evaluation of imaging of the site and extent of thickening; the degree and pattern of thickening; and the associated findings, such as degree of fat stranding, fibrofatty proliferation, adjacent lymph nodes, and solid organ involvement, should be performed. Ileocolonoscopy is an important tool for diagnosing and obtaining samples for tissue diagnosis. Histopathology is usually the gold standard for diagnosis, although-not uncommonly-findings could be nonspecific, and reaching a definitive diagnosis is difficult. As such, a systematic approach with the integration of clinical, biochemical, radiological, endoscopic, histological, and other laboratory tests is the key to reaching a diagnosis. In this article, we review the causes of ICT and present a clinical approach for the management of ICT.

摘要

回盲部增厚(ICT)是放射影像学上的常见表现。它可由多种炎症、感染或肿瘤性疾病引起,评估ICT患者可能是一项具有挑战性的任务。肠结核(ITB)、克罗恩病(CD)和腺癌是最常见的病因。在适当的临床情况下,应怀疑肠道细菌感染、巨细胞病毒、组织胞浆菌病、阿米巴病、系统性血管炎、淋巴瘤等。然而,它往往可能是一种假阳性或非特异性表现。正常扩张的小肠厚度超过3mm通常被认为是异常的。应详细评估增厚部位和范围的影像学表现、增厚程度和方式,以及相关表现,如脂肪浸润程度、纤维脂肪增生、相邻淋巴结和实体器官受累情况。回结肠镜检查是诊断和获取组织诊断样本的重要工具。组织病理学通常是诊断的金标准,尽管结果往往可能是非特异性的,难以做出明确诊断。因此,综合临床、生化、放射、内镜、组织学和其他实验室检查的系统方法是做出诊断的关键。在本文中,我们回顾了ICT的病因,并提出了ICT的临床管理方法。

https://cdn.ncbi.nlm.nih.gov/pmc/blobs/3ddb/6891021/8563e87bb97d/JGH3-3-456-g003.jpg
https://cdn.ncbi.nlm.nih.gov/pmc/blobs/3ddb/6891021/2131057af894/JGH3-3-456-g001.jpg
https://cdn.ncbi.nlm.nih.gov/pmc/blobs/3ddb/6891021/5f7972ca3b5f/JGH3-3-456-g002.jpg
https://cdn.ncbi.nlm.nih.gov/pmc/blobs/3ddb/6891021/8563e87bb97d/JGH3-3-456-g003.jpg
https://cdn.ncbi.nlm.nih.gov/pmc/blobs/3ddb/6891021/2131057af894/JGH3-3-456-g001.jpg
https://cdn.ncbi.nlm.nih.gov/pmc/blobs/3ddb/6891021/5f7972ca3b5f/JGH3-3-456-g002.jpg
https://cdn.ncbi.nlm.nih.gov/pmc/blobs/3ddb/6891021/8563e87bb97d/JGH3-3-456-g003.jpg

相似文献

1
Ileocecal thickening: Clinical approach to a common problem.回盲部增厚:常见问题的临床处理方法
JGH Open. 2019 Apr 22;3(6):456-463. doi: 10.1002/jgh3.12186. eCollection 2019 Dec.
2
Significance of ileal and/or cecal wall thickening on abdominal computed tomography in a tropical country.热带国家腹部计算机断层扫描中回肠和/或盲肠壁增厚的意义
JGH Open. 2018 Oct 22;3(1):46-51. doi: 10.1002/jgh3.12103. eCollection 2019 Feb.
3
Meta-Analytic Bayesian Model For Differentiating Intestinal Tuberculosis from Crohn's Disease.用于区分肠结核和克罗恩病的Meta分析贝叶斯模型
Am J Gastroenterol. 2017 Mar;112(3):415-427. doi: 10.1038/ajg.2016.529. Epub 2017 Jan 3.
4
Computed tomographic enterography adds value to colonoscopy in differentiating Crohn's disease from intestinal tuberculosis: a potential diagnostic algorithm.计算机断层扫描小肠造影在鉴别克罗恩病与肠结核方面比结肠镜检查更具价值:一种潜在的诊断算法。
Endoscopy. 2015 Apr;47(4):322-9. doi: 10.1055/s-0034-1391230. Epub 2015 Feb 12.
5
Intestinal tuberculosis and Crohn's disease: challenging differential diagnosis.肠结核与克罗恩病:具有挑战性的鉴别诊断
J Dig Dis. 2016 Mar;17(3):155-61. doi: 10.1111/1751-2980.12324.
6
Computerized tomography-based predictive model for differentiation of Crohn's disease from intestinal tuberculosis.基于计算机断层扫描的克罗恩病与肠结核鉴别预测模型
Indian J Gastroenterol. 2015 Mar;34(2):135-43. doi: 10.1007/s12664-015-0550-y. Epub 2015 May 14.
7
Diagnostic utility of CT enterography in the evaluation of ileocecal mucosal lesions of uncertain diagnosis on ileocolonoscopy.CT小肠造影在评估结肠镜检查中诊断不明确的回盲部黏膜病变时的诊断效用。
Pol J Radiol. 2023 Dec 4;88:e553-e561. doi: 10.5114/pjr.2023.133673. eCollection 2023.
8
Differential diagnosis of Crohn's disease and intestinal tuberculosis in patients with spontaneous small-bowel perforation.自发性小肠穿孔患者中克罗恩病与肠结核的鉴别诊断
Dig Surg. 2014;31(2):151-6. doi: 10.1159/000363066. Epub 2014 Jun 21.
9
Intestinal tuberculosis versus crohn's disease: Clinical and radiological recommendations.肠结核与克罗恩病:临床及影像学建议
Indian J Radiol Imaging. 2016 Apr-Jun;26(2):161-72. doi: 10.4103/0971-3026.184417.
10
Accuracy of computed tomographic features in differentiating intestinal tuberculosis from Crohn's disease: a systematic review with meta-analysis.计算机断层扫描特征在鉴别肠结核与克罗恩病中的准确性:一项荟萃分析的系统评价
Intest Res. 2017 Apr;15(2):149-159. doi: 10.5217/ir.2017.15.2.149. Epub 2017 Apr 27.

引用本文的文献

1
Primary small intestine angiosarcoma mimicking Crohn's disease.原发性小肠血管肉瘤,酷似克罗恩病。
BMJ Case Rep. 2024 Jan 30;17(1):e255424. doi: 10.1136/bcr-2023-255424.
2
Clinical characteristics and diagnosis of intestinal tuberculosis in clinical practice at Thailand's largest national tertiary referral center: An 11-year retrospective review.泰国最大的国家三级转诊中心的临床实践中肠结核的临床特征和诊断:一项 11 年回顾性研究。
PLoS One. 2023 Apr 13;18(4):e0282392. doi: 10.1371/journal.pone.0282392. eCollection 2023.
3
Appendiceal Inversion Presenting as a Cecal Polypoid Mass on Screening Colonoscopy: A Case Report and Review of Available Diagnostic Adjuncts to Differentiate Benign From Malignant Colorectal Pathology.

本文引用的文献

1
Significance of ileal and/or cecal wall thickening on abdominal computed tomography in a tropical country.热带国家腹部计算机断层扫描中回肠和/或盲肠壁增厚的意义
JGH Open. 2018 Oct 22;3(1):46-51. doi: 10.1002/jgh3.12103. eCollection 2019 Feb.
2
Gastrointestinal histoplasmosis: a case series from a non-endemic region in North India.胃肠道组织胞浆菌病:来自印度北部非流行地区的病例系列
Intest Res. 2019 Jan;17(1):149-152. doi: 10.5217/ir.2018.00111. Epub 2018 Oct 16.
3
NCCN Guidelines Insights: Colon Cancer, Version 2.2018.NCCN 指南解读:结肠癌,第 2.2018 版。
筛查结肠镜检查时表现为盲肠息肉样肿物的阑尾内翻:一例病例报告及鉴别结直肠良恶性病变的现有诊断辅助手段综述
Cureus. 2023 Mar 1;15(3):e35645. doi: 10.7759/cureus.35645. eCollection 2023 Mar.
4
Bowel inflammatory presentations on computed tomography in adult patients with severe aplastic anemia during flared inflammatory episodes.成人重型再生障碍性贫血炎症发作期计算机断层扫描显示的肠道炎症表现
World J Clin Cases. 2023 Jan 26;11(3):576-597. doi: 10.12998/wjcc.v11.i3.576.
5
Etiological spectrum of isolated ileo-cecal ulcers in patients with gastrointestinal symptoms.有胃肠道症状患者孤立性回盲部溃疡的病因谱
J Clin Transl Res. 2022 Dec 14;9(1):26-32. eCollection 2023 Feb 25.
6
The role of multidetector computed tomography enterography in the evaluation of localized malignant small intestinal lesions: retrospective radiological and pathological experience.多排螺旋CT小肠造影在评估局限性恶性小肠病变中的作用:回顾性放射学与病理学经验
Pol J Radiol. 2021 Nov 30;86:e644-e653. doi: 10.5114/pjr.2021.111441. eCollection 2021.
7
Two Cases of Endometriosis in the Cecum Detected by Contrast-enhanced Computed Tomography with Air/Carbon Dioxide Insufflation.气腹与对比增强 CT 检查在盲肠子宫内膜异位症诊断中的 2 例报告
Intern Med. 2021 Jun 1;60(11):1697-1701. doi: 10.2169/internalmedicine.6418-20. Epub 2020 Dec 29.
J Natl Compr Canc Netw. 2018 Apr;16(4):359-369. doi: 10.6004/jnccn.2018.0021.
4
Bowel wall thickening: inquire or not inquire? Our guidelines.肠壁增厚:是否进行排查?我们的指南。
G Chir. 2018 Jan-Feb;39(1):41-44. doi: 10.11138/gchir/2018.39.1.041.
5
Gastrointestinal: Unusual cause of ileocecal thickening in an immunocompromised patient: A histologic surprise.胃肠道:免疫功能低下患者回盲部增厚的罕见病因:组织学上的意外发现。
J Gastroenterol Hepatol. 2018 Apr;33(4):769. doi: 10.1111/jgh.13994.
6
Letter: mucosal response in discriminating intestinal tuberculosis from Crohn's disease-when to look for it?信函:鉴别肠结核与克罗恩病时的黏膜反应——何时进行观察?
Aliment Pharmacol Ther. 2018 Mar;47(6):859-860. doi: 10.1111/apt.14495.
7
Serial C-reactive protein measurements in patients treated for suspected abdominal tuberculosis.对疑似腹腔结核患者进行连续 C 反应蛋白测量。
Dig Liver Dis. 2018 Jun;50(6):559-562. doi: 10.1016/j.dld.2017.12.008. Epub 2017 Dec 19.
8
Tubercular Abdominal Cocoon: Systematic Review of an Uncommon Form of Tuberculosis.结核性腹茧症:一种罕见结核病形式的系统评价
Surg Infect (Larchmt). 2017 Aug/Sep;18(6):736-741. doi: 10.1089/sur.2017.110. Epub 2017 Jul 31.
9
Meta-Analytic Bayesian Model For Differentiating Intestinal Tuberculosis from Crohn's Disease.用于区分肠结核和克罗恩病的Meta分析贝叶斯模型
Am J Gastroenterol. 2017 Mar;112(3):415-427. doi: 10.1038/ajg.2016.529. Epub 2017 Jan 3.
10
Endoscopic and clinical responses to anti-tubercular therapy can differentiate intestinal tuberculosis from Crohn's disease.抗结核治疗的内镜和临床反应可区分肠结核与克罗恩病。
Aliment Pharmacol Ther. 2017 Jan;45(1):27-36. doi: 10.1111/apt.13840. Epub 2016 Nov 4.