Suppr超能文献

成人男性尿道、阴茎假体和人工尿道括约肌的影像学。

Imaging of the adult male urethra, penile prostheses and artificial urinary sphincters.

机构信息

Department of Radiology, Al-Wakra Hospital, Hamad Medical Corporation, PO Box: 82228, Doha, Qatar.

Department of Radiology, Weil Cornell Medical College, Doha, Qatar.

出版信息

Abdom Radiol (NY). 2020 Jul;45(7):2018-2035. doi: 10.1007/s00261-019-02356-x.

Abstract

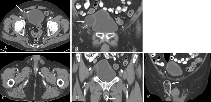
To discuss the imaging appearances of various pathologies affecting adult male urethra and to review the role of imaging in the assessment of artificial urinary sphincters and penile prostheses. Diagnosis of common male urethral diseases heavily depends on two conventional fluoroscopic techniques namely retrograde urethrography and voiding cystourethrography. These are useful in evaluating common urethral diseases like traumatic injury, infections, and strictures. Cross-sectional imaging can be useful in evaluating periurethral pathologies. Artificial urinary sphincters, slings, and periurethral bulking agents are used in the management of urinary incontinence and imaging can be utilized to detect complications in these devices. Cross-sectional imaging especially MRI plays a significant role in evaluating the different types of penile prostheses and their malfunctioning.

摘要

讨论影响成人男性尿道的各种病变的影像学表现,并回顾影像学在评估人工尿道括约肌和阴茎假体中的作用。常见男性尿道疾病的诊断主要依赖于两种常规的荧光透视技术,即逆行尿道造影和排尿性膀胱尿道造影。这些技术在评估外伤性损伤、感染和狭窄等常见尿道疾病方面非常有用。横断面成像可用于评估尿道周围病变。人工尿道括约肌、吊带和尿道周围填充剂用于治疗尿失禁,影像学可用于检测这些装置的并发症。横断面成像,特别是 MRI,在评估不同类型的阴茎假体及其故障方面发挥着重要作用。

https://cdn.ncbi.nlm.nih.gov/pmc/blobs/d470/7280179/994de52d6507/261_2019_2356_Fig1_HTML.jpg

文献检索

告别复杂PubMed语法,用中文像聊天一样搜索,搜遍4000万医学文献。AI智能推荐,让科研检索更轻松。

立即免费搜索

文件翻译

保留排版,准确专业,支持PDF/Word/PPT等文件格式,支持 12+语言互译。

免费翻译文档

深度研究

AI帮你快速写综述,25分钟生成高质量综述,智能提取关键信息,辅助科研写作。

立即免费体验