Suppr超能文献

华法林过量致自发性膀胱破裂:病例报告。

Spontaneous bladder rupture secondary to warfarin overdose: a case report.

机构信息

Deparment of Emergency Medicine, Kayseri City Hospital affiliated with University of Health Sciences, 38100, Kayseri, Turkey.

出版信息

BMC Emerg Med. 2019 Dec 18;19(1):80. doi: 10.1186/s12873-019-0294-6.

Abstract

BACKGROUND

Warfarin, a vitamin K antagonist, is a widely used medication for the treatment and prophylaxis of thromboembolic events. Patients with various clinical conditions due to warfarin overdose present to emergency departments. Although there may be serious bleeding due to a warfarin overdose, no bleeding may also be seen in some clinical conditions. Some of these bleedings may be life-threatening and result in death. Warfarin overdose and related cases of spontaneous bladder rupture are not frequently observed in the literature. We present a case of spontaneous bladder rupture due to warfarin overdose that was unexpectedly seen in a patient using warfarin for coronary artery disease and arrhythmia.

CASE PRESENTATION

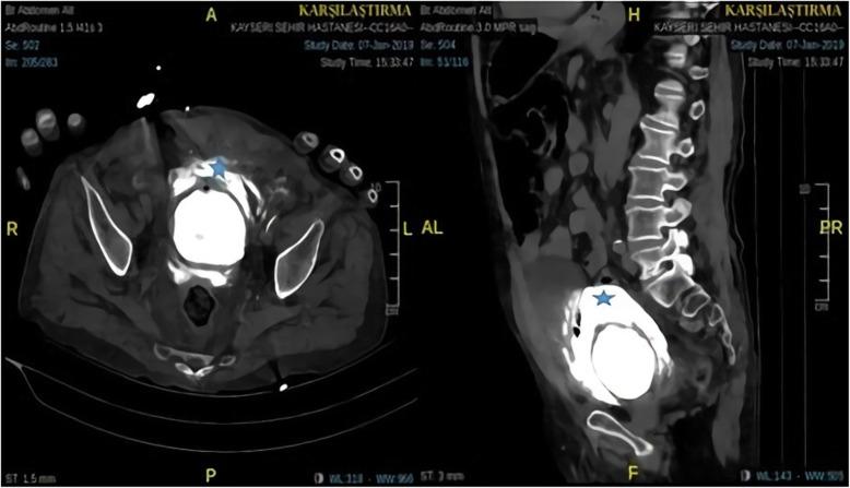
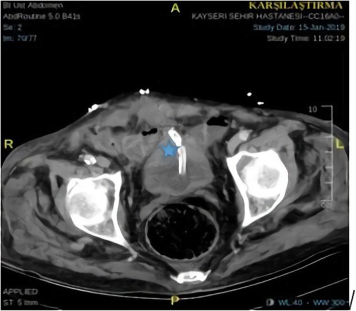
A 77-year-old Caucasian male patient was admitted to the emergency department with abdominal pain, haematuria, and a reduced volume of urine lasting for three days. The patient's amount of urine was reduced, and he came to the hospital for the first time with this complaint. The patient had local bruises on his arms and legs. From the ultrasound, retrograde cystography and computed tomography images, it was thought that there was blood accumulation due to bladder rupture to the intraperitoneal region. Spontaneous bladder rupture secondary to warfarin overdose was considered for this patient who also had an international normalized ratio (INR) level of 13.4. After the INR level was normalized with vitamin K and a prothrombin complex concentrate, the patient underwent surgery. During the operation, a catheter was placed in the bladder, and the bladder mucosa and muscle were closed separately with a primary repair performed by a urologist. The patient was discharged on the 8th postoperative day without any complications.

CONCLUSION

In addition to the known findings of warfarin overdose in these patients presenting to the emergency department, we think that the emergency department staff should suspect bladder rupture, which is a fatal complication in the presence of signs such as oliguria, haematuria, anuria, abdominal pain, and syncope.

摘要

背景

华法林,一种维生素 K 拮抗剂,是广泛用于治疗和预防血栓栓塞事件的药物。由于华法林过量,各种临床情况的患者都会到急诊科就诊。虽然华法林过量可能会导致严重出血,但在某些临床情况下也可能看不到出血。其中一些出血可能危及生命并导致死亡。华法林过量和相关的自发性膀胱破裂病例在文献中并不常见。我们报告了一例因华法林过量导致的自发性膀胱破裂病例,该病例发生在一名因冠心病和心律失常而使用华法林的患者中。

病例介绍

一名 77 岁的白人男性患者因腹痛、血尿和少尿 3 天入院到急诊科。患者的尿量减少,他第一次因这种症状来医院就诊。患者的手臂和腿部有局部瘀伤。从超声、逆行膀胱造影和计算机断层扫描图像来看,考虑到有血液积聚导致膀胱破裂到腹腔区域。考虑到患者的国际标准化比值(INR)水平为 13.4,因此认为该患者为华法林过量导致的自发性膀胱破裂。INR 水平用维生素 K 和凝血酶原复合物浓缩物正常化后,患者接受了手术。手术中,在膀胱内放置了一根导管,泌尿科医生分别对膀胱黏膜和肌肉进行了一期修复。患者在术后第 8 天没有任何并发症出院。

结论

除了这些患者在急诊科就诊时已知的华法林过量发现外,我们认为急诊科工作人员应怀疑膀胱破裂,在出现少尿、血尿、无尿、腹痛和晕厥等体征时,这是一种致命的并发症。

https://cdn.ncbi.nlm.nih.gov/pmc/blobs/0b19/6918636/ff987c524314/12873_2019_294_Fig1_HTML.jpg

文献AI研究员

20分钟写一篇综述,助力文献阅读效率提升50倍。

立即体验

用中文搜PubMed

大模型驱动的PubMed中文搜索引擎

马上搜索

文档翻译

学术文献翻译模型,支持多种主流文档格式。

立即体验