Department of Ophthalmology, Osaka Medical College, Takatsuki-City, Osaka 569-8686, Japan.
Department of Innovative Medicine, Osaka Medical College, Takatsuki-City, Osaka 569-8686, Japan.
Int J Mol Sci. 2019 Dec 20;21(1):63. doi: 10.3390/ijms21010063.
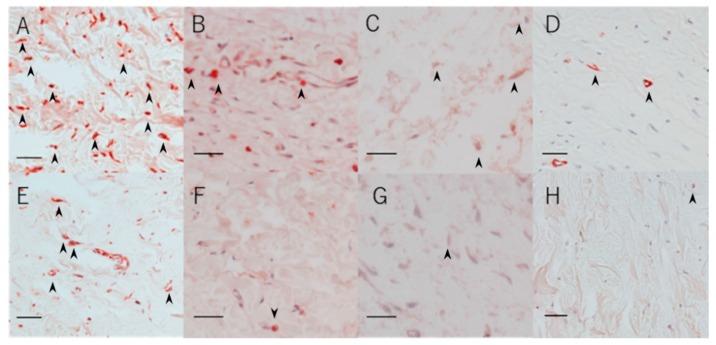
Regorafenib eye drops were developed for treating age-related macular degeneration. This study aimed to investigate the effects of this multi-kinase inhibitor on intraocular pressure (IOP), bleb formation, and conjunctival changes in a canine filtration surgery model. Glaucoma filtration surgery models were created in 24 eyes of 24 beagles. In experiment 1 (Ex 1), regorafenib eye drops (regorafenib group: = 6) or a vehicle (control group, = 6) were instilled twice daily for 4 weeks postoperatively. In experiment 2 (Ex 2), regorafenib eye drops were instilled as in Ex 1 (regorafenib group: = 6) for 12 weeks while conventional intraoperative mitomycin-C (MMC) was utilized (MMC group: = 6), In Ex 1, only the regorafenib group showed significant IOP reduction with a significantly higher bleb score. Subconjunctival area, collagen density, vessels, and cells showing proliferation and differentiation were lower in subconjunctival tissue in the regorafenib group. In Ex 2, no significant difference was found in IOP reduction and bleb formation between the regorafenib and MMC groups; bleb walls were significantly thicker and collagen density and vessels were higher in the regorafenib group; and no differences were observed in the above-mentioned cells. Thus, regorafenib might be a better alternative to MMC for creating thicker and less ischemic blebs in glaucoma filtration surgery.
雷戈非尼滴眼液是为治疗年龄相关性黄斑变性而开发的。本研究旨在探讨这种多激酶抑制剂对犬滤过性手术模型眼压(IOP)、滤泡形成和结膜变化的影响。在 24 只比格犬的 24 只眼中建立了青光眼滤过性手术模型。在实验 1(Ex 1)中,雷戈非尼滴眼液(雷戈非尼组:n=6)或载体(对照组,n=6)术后每天两次滴眼 4 周。在实验 2(Ex 2)中,雷戈非尼滴眼液如 Ex 1 中那样滴眼(雷戈非尼组:n=6)持续 12 周,同时使用常规术中丝裂霉素 C(MMC)(MMC 组:n=6)。在 Ex 1 中,仅雷戈非尼组显示出显著的眼压降低,滤泡评分显著升高。雷戈非尼组结膜下组织中的下结膜面积、胶原密度、血管和增殖分化的细胞较低。在 Ex 2 中,雷戈非尼组和 MMC 组之间的眼压降低和滤泡形成没有显著差异;雷戈非尼组滤泡壁明显增厚,胶原密度和血管较高;并且上述细胞没有差异。因此,雷戈非尼可能是青光眼滤过性手术中创造更厚、缺血性更小的滤泡的更好选择。