Suppr超能文献

口服依度沙班治疗期间胆囊出血:一例报告

Gallbladder hemorrhage during orally administered edoxaban therapy: a case report.

作者信息

Itagaki Hideya, Katuhiko Suzuki

机构信息

Department of General Surgery, Honjou Daiichi Hospital, 110 Iwabuchishita, Yurihonnjou, Akita, 015-8567, Japan.

出版信息

J Med Case Rep. 2019 Dec 26;13(1):383. doi: 10.1186/s13256-019-2328-9.

Abstract

BACKGROUND

Edoxaban is an orally administered anticoagulant treatment that is used in patients with cerebral infarction, venous thrombosis, or other conditions, with a reported incidence of gastrointestinal hemorrhage at approximately 1%. We encountered the rare case of a patient who developed a gallbladder hemorrhage after the administration of edoxaban.

CASE PRESENTATION

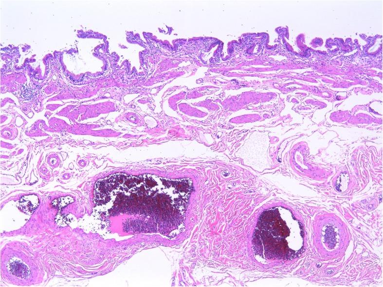
An 86-year-old Japanese woman visited our gastrointestinal department due to the chief complaint of melena lasting for a week. Her medical history included hypertension and embolic cerebral infarction, and she was taking orally administered carvedilol (5 mg/day) and edoxaban (30 mg/day). Her palpebral conjunctiva was pale during a physical examination, indicating the possibility of anemia. Her blood test results confirmed severe anemia with red blood cells at 1.7 × 10/μL and hemoglobin at 4.7 g/dL. An upper gastrointestinal endoscopy revealed bile and fresh blood on the duodenal bulb and in more distal regions; hemobilia was suspected. A computed tomography scan on the ninth hospitalization day confirmed the hemobilia with a gallbladder fundus high-density signal. She was discharged on the 30th day of hospitalization with only fluid therapy and no progression of anemia. Moreover, she underwent a laparoscopic cholecystectomy 1 month after discharge, but the pathologist did not identify false aneurysms or neoplastic lesions. She has not been shown to develop anemia for 5 months after surgery.

CONCLUSIONS

Our case suggests that gallbladder hemorrhage needs to be considered a possible complication for patients on direct oral anticoagulants.

摘要

背景

依度沙班是一种口服抗凝药物,用于治疗脑梗死、静脉血栓形成或其他疾病的患者,据报道胃肠道出血的发生率约为1%。我们遇到了1例服用依度沙班后发生胆囊出血的罕见病例。

病例介绍

一名86岁的日本女性因主诉持续一周的黑便就诊于我院胃肠科。她的病史包括高血压和栓塞性脑梗死,正在口服卡维地洛(5mg/天)和依度沙班(30mg/天)。体格检查时她的睑结膜苍白,提示有贫血的可能。她的血液检查结果证实为严重贫血,红细胞计数为1.7×10/μL,血红蛋白为4.7g/dL。上消化道内镜检查发现十二指肠球部及更远端有胆汁和新鲜血液;怀疑有胆道出血。住院第9天的计算机断层扫描证实了胆道出血,胆囊底部有高密度信号。她在住院第30天出院,仅接受了液体治疗,贫血没有进展。此外,她在出院后1个月接受了腹腔镜胆囊切除术,但病理学家未发现假性动脉瘤或肿瘤性病变。术后5个月她未再出现贫血。

结论

我们的病例提示,对于接受直接口服抗凝剂治疗的患者,胆囊出血应被视为一种可能的并发症。

https://cdn.ncbi.nlm.nih.gov/pmc/blobs/4a0d/6931242/be3bb386f8d5/13256_2019_2328_Fig1_HTML.jpg

文献AI研究员

20分钟写一篇综述,助力文献阅读效率提升50倍。

立即体验

用中文搜PubMed

大模型驱动的PubMed中文搜索引擎

马上搜索

文档翻译

学术文献翻译模型,支持多种主流文档格式。

立即体验