Ohsawa Manato, Kagawa Tetsuya, Ochiai Ryoji, Kobayashi Naruyuki, Hato Shinji, Nozaki Isao, Takahata Hiroyuki, Teramoto Norihiro, Kobatake Takaya
Departments of Surgery, National Hospital Organization Shikoku Cancer Center, 160 Minamiumemotomachikou, Matsuyama-shi, Ehime, Japan.
Departments of Surgery, National Hospital Organization Shikoku Cancer Center, 160 Minamiumemotomachikou, Matsuyama-shi, Ehime, Japan.
Int J Surg Case Rep. 2020;66:283-287. doi: 10.1016/j.ijscr.2019.12.022. Epub 2019 Dec 19.
Presacral epidermoid cysts are uncommon, usually benign cysts caused by developmental abnormalities in the fetal period. We present a rare case of squamous cell carcinoma arising from a presacral epidermoid cyst.
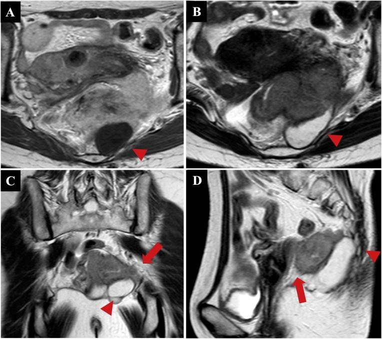
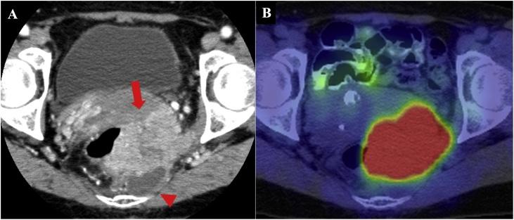
A 59-year-old woman complained of tenesmus and discomfort in the buttocks. Computed tomography revealed a 50-mm well-defined cystic mass in the presacrum and a 70-mm solid mass extending from the cyst into the rectum, vagina, and left sciatic spine. On T1-weighted magnetic resonance images, the cyst was unilocular and the mass was marginated with low intensity. On T2-weighted images, the mass had high intensity. A malignant presacral developmental cyst was diagnosed, without obvious metastasis. Using abdominal and parasacral approaches, Hartmann's operation was performed with multiorgan resection, including the sacrum, coccyx, left sciatic spine, internal obturator muscle, rectum, and uterine appendage. Histopathology of the excised specimen revealed a squamous cell carcinoma originating from the presacral epidermoid cyst.
Reports of malignant transformation of epidermoid cysts in the presacral space, as in the present case, are extremely rare. Because of their unusual location and slow growth, epidermoid cysts tend to remain asymptomatic. Because the patient had a malignant tumor with suspected invasion of adjacent organs, combination surgery was selected.
Although further research is required, presacral epidermoid cysts are extremely rare and may be malignant. Thorough preoperative image evaluation is crucial for complete resection.
骶前表皮样囊肿并不常见,通常是由胎儿期发育异常引起的良性囊肿。我们报告一例罕见的起源于骶前表皮样囊肿的鳞状细胞癌病例。
一名59岁女性主诉里急后重及臀部不适。计算机断层扫描显示骶前有一个50毫米边界清晰的囊性肿块,以及一个从囊肿延伸至直肠、阴道和左侧坐骨棘的70毫米实性肿块。在T1加权磁共振图像上,囊肿为单房性,肿块边界清晰,呈低信号。在T2加权图像上,肿块呈高信号。诊断为恶性骶前发育性囊肿,无明显转移。采用腹部和骶旁入路,进行了哈特曼手术,包括多器官切除,切除范围包括骶骨、尾骨、左侧坐骨棘、闭孔内肌、直肠和子宫附件。切除标本的组织病理学检查显示为起源于骶前表皮样囊肿的鳞状细胞癌。
如本病例所示,骶前间隙表皮样囊肿恶变的报道极为罕见。由于其位置特殊且生长缓慢,表皮样囊肿往往无症状。由于患者患有疑似侵犯相邻器官的恶性肿瘤,因此选择了联合手术。
尽管需要进一步研究,但骶前表皮样囊肿极为罕见,且可能恶变。术前进行全面的影像学评估对于完整切除至关重要。