Suppr超能文献

计算脑小血管周围间隙形态学的定量分析:与血管危险因素和脑白质高信号的相关性。在洛锡安出生队列 1936 年的一项研究。

Computational quantification of brain perivascular space morphologies: Associations with vascular risk factors and white matter hyperintensities. A study in the Lothian Birth Cohort 1936.

机构信息

Division of Neuroimaging Sciences, Centre for Clinical Brain Sciences and Edinburgh Imaging, University of Edinburgh, Edinburgh, UK; UK Dementia Research Institute at the University of Edinburgh, Edinburgh, UK; Centre for Cognitive Ageing and Cognitive Epidemiology, University of Edinburgh, Edinburgh, UK.

Centre for Cognitive Ageing and Cognitive Epidemiology, University of Edinburgh, Edinburgh, UK; Department of Psychology, University of Edinburgh, Edinburgh, UK.

出版信息

Neuroimage Clin. 2020;25:102120. doi: 10.1016/j.nicl.2019.102120. Epub 2019 Dec 9.

Abstract

BACKGROUND AND PURPOSE

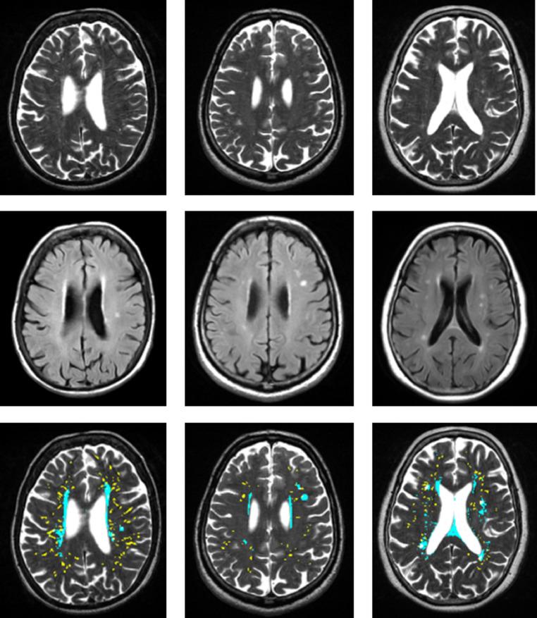
Perivascular Spaces (PVS), also known as Virchow-Robin spaces, seen on structural brain MRI, are important fluid drainage conduits and are associated with small vessel disease (SVD). Computational quantification of visible PVS may enable efficient analyses in large datasets and increase sensitivity to detect associations with brain disorders. We assessed the associations of computationally-derived PVS parameters with vascular factors and white matter hyperintensities (WMH), a marker of SVD.

PARTICIPANTS

Community dwelling individuals (n = 700) from the Lothian Birth Cohort 1936 who had multimodal brain MRI at age 72.6 years (SD = 0.7).

METHODS

We assessed PVS computationally in the centrum semiovale and deep corona radiata on T2-weighted images. The computationally calculated measures were the total PVS volume and count per subject, and the mean individual PVS length, width and size, per subject. We assessed WMH by volume and visual Fazekas scores. We compared PVS visual rating to PVS computational metrics, and tested associations between each PVS measure and vascular risk factors (hypertension, diabetes, cholesterol), vascular history (cardiovascular disease and stroke), and WMH burden, using generalized linear models, which we compared using coefficients, confidence intervals and model fit.

RESULTS

In 533 subjects, the computational PVS measures correlated positively with visual PVS ratings (PVS count r = 0.59; PVS volume r = 0.61; PVS mean length r = 0.55; PVS mean width r = 0.52; PVS mean size r = 0.47). PVS size and width were associated with hypertension (OR 1.22, 95% CI [1.03 to 1.46] and 1.20, 95% CI [1.01 to 1.43], respectively), and stroke (OR 1.34, 95% CI [1.08 to 1.65] and 1.36, 95% CI [1.08 to 1.71], respectively). We found no association between other PVS measures and diabetes, hypercholesterolemia or cardiovascular disease history. Computational PVS volume, length, width and size were more strongly associated with WMH (PVS mean size versus WMH Fazekas score β = 0.66, 95% CI [0.59 to 0.74] and versus WMH volume β = 0.43, 95% CI [0.38 to 0.48]) than computational PVS count (WMH Fazekas score β = 0.21, 95% CI [0.11 to 0.3]; WMH volume β = 0.14, 95% CI [0.09 to 0.19]) or visual score. Individual PVS size showed the strongest association with WMH.

CONCLUSIONS

Computational measures reflecting individual PVS size, length and width were more strongly associated with WMH, stroke and hypertension than computational count or visual PVS score. Multidimensional computational PVS metrics may increase sensitivity to detect associations of PVS with risk exposures, brain lesions and neurological disease, provide greater anatomic detail and accelerate understanding of disorders of brain fluid and waste clearance.

摘要

背景与目的

在结构磁共振成像上观察到的血管周围间隙(PVS),也称为 Virchow-Robin 空间,是重要的液体引流通道,与小血管疾病(SVD)有关。可见 PVS 的计算定量可能能够在大型数据集的分析中提高效率,并提高检测与脑疾病相关的敏感性。我们评估了计算得出的 PVS 参数与血管因素和脑白质高信号(WMH)之间的关联,WMH 是 SVD 的标志物。

参与者

1936 年洛锡安出生队列的 700 名居住在社区的个体,他们在 72.6 岁(SD=0.7)时接受了多模态脑 MRI。

方法

我们在 T2 加权图像上计算了半卵圆中心和深部冠状辐射区的 PVS 计算机计算值。计算出的指标包括每个受试者的总 PVS 体积和计数,以及每个受试者的个体 PVS 长度、宽度和大小的平均值。我们通过体积和视觉 Fazekas 评分评估 WMH。我们使用广义线性模型比较了每个 PVS 指标与血管危险因素(高血压、糖尿病、胆固醇)、血管病史(心血管疾病和中风)和 WMH 负担之间的关联,我们使用系数、置信区间和模型拟合来比较这些模型。

结果

在 533 名受试者中,计算得出的 PVS 指标与视觉 PVS 评分呈正相关(PVS 计数 r=0.59;PVS 体积 r=0.61;PVS 平均长度 r=0.55;PVS 平均宽度 r=0.52;PVS 平均大小 r=0.47)。PVS 大小和宽度与高血压有关(OR 1.22,95%CI [1.03 至 1.46] 和 1.20,95%CI [1.01 至 1.43]),与中风有关(OR 1.34,95%CI [1.08 至 1.65] 和 1.36,95%CI [1.08 至 1.71])。我们没有发现其他 PVS 指标与糖尿病、高胆固醇血症或心血管疾病病史之间存在关联。计算得出的 PVS 体积、长度、宽度和大小与 WMH 的相关性更强(PVS 平均大小与 WMH Fazekas 评分β=0.66,95%CI [0.59 至 0.74] 和与 WMH 体积β=0.43,95%CI [0.38 至 0.48])比计算得出的 PVS 计数(WMH Fazekas 评分β=0.21,95%CI [0.11 至 0.3];WMH 体积β=0.14,95%CI [0.09 至 0.19])或视觉评分更强。个体 PVS 大小与 WMH 的关联最强。

结论

反映个体 PVS 大小、长度和宽度的计算指标与 WMH、中风和高血压的相关性强于计算得出的 PVS 计数或视觉 PVS 评分。多维计算 PVS 指标可能会提高检测 PVS 与风险暴露、脑损伤和神经疾病之间关联的敏感性,提供更详细的解剖细节,并加速理解脑液和废物清除障碍。

https://cdn.ncbi.nlm.nih.gov/pmc/blobs/117a/6939098/9d685d600cb1/fx1.jpg

文献AI研究员

20分钟写一篇综述,助力文献阅读效率提升50倍。

立即体验

用中文搜PubMed

大模型驱动的PubMed中文搜索引擎

马上搜索

文档翻译

学术文献翻译模型,支持多种主流文档格式。

立即体验