Suppr超能文献

较低的腰大肌体积与男性透明细胞肾细胞癌的更高复发率相关。

A lower psoas muscle volume was associated with a higher rate of recurrence in male clear cell renal cell carcinoma.

机构信息

Department of Urology, Kanagawa Cancer Center, Yokohama, Japan.

Departments of Urology and Renal Transplantation, Yokohama City University Medical Center, Yokohama, Japan.

出版信息

PLoS One. 2020 Jan 2;15(1):e0226581. doi: 10.1371/journal.pone.0226581. eCollection 2020.

Abstract

BACKGROUND

Sarcopenia is defined as a low skeletal muscle volume. Recent studies have reported that sarcopenia is associated with a poor prognosis in various cancers. The purpose of this study is to evaluate the correlation between the psoas muscle volume and recurrence-free survival in patients with localized clear cell renal cell carcinoma (ccRCC).

METHODS

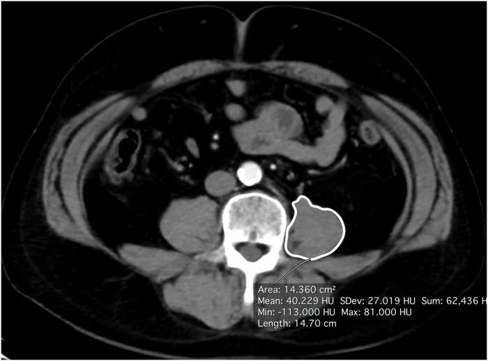
A total of 316 male patients with localized ccRCC who underwent radical nephrectomy at Yokohama City University Hospital (Yokohama, JAPAN) and Kanagawa Cancer Center (Yokohama, JAPAN) between 2002 and 2018 were enrolled in this study. The psoas muscle index (PMI) was calculated by normalizing the psoas muscle area on the contralateral side of the tumor on axial CT, which was calculated at the level of L4 (mm2) divided by the square of the body height (m2). We divided patients into two groups based on the median PMI (409.64mm2/m2).

RESULTS

The lower PMI group showed poorer recurrence-free survival (RFS) than the higher PMI group (p = 0.030). Regarding 5-year RFS, a lower PMI was a significant predictor of recurrence (p = 0.022, hazard ratio (HR): 2.306) and a multivariate analysis revealed that a lower PMI (<median, p = 0.035, HR: 2.167), tumor size >4 cm (p = 0.044, HR: 2.341), and pathological stage >2 (p<0.001, HR: 3.660) were independent risk factors for poor RFS.

CONCLUSIONS

The presence of sarcopenia (lower PMI) was found to be associated with poor RFS in male ccRCC patients. The PMI might serve as a measure of patient frailty and might be useful for prognostic risk stratification in ccRCC.

摘要

背景

肌少症定义为骨骼肌量低。最近的研究报告称,肌少症与各种癌症的预后不良有关。本研究的目的是评估局部透明细胞肾细胞癌(ccRCC)患者的腰大肌体积与无复发生存率之间的相关性。

方法

本研究共纳入 2002 年至 2018 年在横滨市立大学医院(日本横滨)和神奈川癌症中心(日本横滨)接受根治性肾切除术的 316 名男性局限性 ccRCC 患者。通过在肿瘤对侧的轴位 CT 上对腰大肌面积进行标准化,计算出腰大肌指数(PMI),即肿瘤侧腰大肌面积(mm2)除以身高平方(m2)。我们根据 PMI 的中位数(409.64mm2/m2)将患者分为两组。

结果

较低的 PMI 组无复发生存率(RFS)较差,高于较高的 PMI 组(p = 0.030)。对于 5 年 RFS,较低的 PMI 是复发的显著预测因素(p = 0.022,风险比(HR):2.306),多因素分析显示较低的 PMI(<中位数,p = 0.035,HR:2.167)、肿瘤大小>4cm(p = 0.044,HR:2.341)和病理分期>2(p<0.001,HR:3.660)是 RFS 不良的独立危险因素。

结论

男性 ccRCC 患者存在肌少症(较低的 PMI)与 RFS 不良相关。PMI 可能是评估患者虚弱程度的指标,对 ccRCC 的预后风险分层可能有用。

https://cdn.ncbi.nlm.nih.gov/pmc/blobs/2507/6939903/04cc224ff796/pone.0226581.g001.jpg

文献AI研究员

20分钟写一篇综述,助力文献阅读效率提升50倍。

立即体验

用中文搜PubMed

大模型驱动的PubMed中文搜索引擎

马上搜索

文档翻译

学术文献翻译模型,支持多种主流文档格式。

立即体验