Suppr超能文献

发疹性播散性斯皮茨痣——病例报告

Eruptive disseminated Spitz nevi - Case report.

作者信息

Vargas Pablo, Cárdenas Rodrigo, Cullen Roberto, Figueroa Andrés

机构信息

Department of Dermatology, Faculty of Medicine, University of Chile, Santiago, Chile.

Clínica Alemana de Valdivia, Valdivia, Chile.

出版信息

An Bras Dermatol. 2020 Jan-Feb;95(1):71-74. doi: 10.1016/j.abd.2019.01.010. Epub 2019 Dec 12.

Abstract

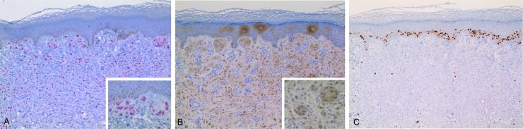
Spitz nevus is a benign melanocytic lesion, which presents in several ways: solitary, agminated, or disseminated. The disseminated variant is uncommon; it may have a rapid evolution (the eruptive form) and be difficult to manage. This report presents the case of a 24-year-old patient with multiple papules on his limbs, which had appeared four years previously. On physical examination, 120 pink and skin-colored papules were seen, which under dermoscopy were observed to be homogeneous, pink vascular lesions. Histopathologic study revealed epithelioid cells arranged in groups or singly in the dermis and dermo-epidermal junction. They were HMB-45 positive in the superficial dermis, and Ki-67<1%. Given these findings, a diagnosis of eruptive disseminated Spitz nevi was made.

摘要

斯皮茨痣是一种良性黑素细胞性病变,有多种表现形式:孤立性、簇状或播散性。播散性变体并不常见;它可能发展迅速(爆发型)且难以处理。本报告介绍了一名24岁患者的病例,其四肢出现多个丘疹,这些丘疹于四年前出现。体格检查发现120个粉红色和肤色丘疹,在皮肤镜检查下观察为均匀的粉红色血管性病变。组织病理学研究显示,上皮样细胞在真皮和真皮表皮交界处成群或单个排列。它们在真皮浅层HMB - 45呈阳性,Ki - 67<1%。根据这些发现,诊断为爆发性播散性斯皮茨痣。

https://cdn.ncbi.nlm.nih.gov/pmc/blobs/f90d/7058877/4c468b5c7ec9/gr1.jpg

文献AI研究员

20分钟写一篇综述,助力文献阅读效率提升50倍。

立即体验

用中文搜PubMed

大模型驱动的PubMed中文搜索引擎

马上搜索

文档翻译

学术文献翻译模型,支持多种主流文档格式。

立即体验