Suppr超能文献

小肠巨大脂肪瘤病致肠套叠

Massive Lipomatosis of the Small Intestine Causing Intussusception.

作者信息

Pagacz Michael, Willis Irvin, Alexis John

机构信息

A.M. Rywlin, MD Department of Pathology, Mount Sinai Medical Center, Miami Beach, FL, USA.

Department of General Surgery, Mount Sinai Medical Center, Miami Beach, FL, USA.

出版信息

Case Rep Gastrointest Med. 2019 Dec 20;2019:9701478. doi: 10.1155/2019/9701478. eCollection 2019.

Abstract

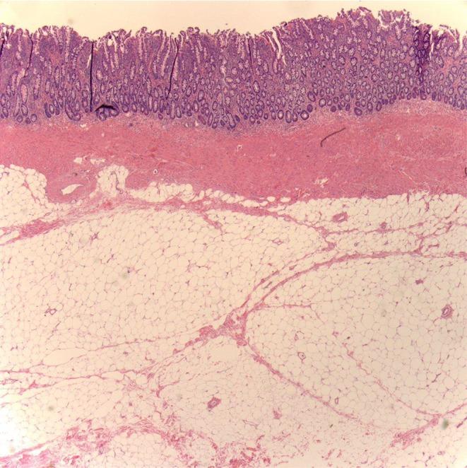
Lipomatosis is a rare condition characterized by diffuse, unencapsulted adipose tissue deposition. Intestinal involvement is rare, and presentation as intussusception is rarer still. We report a 40-year-old man who presented with abdominal pain and fecal urgency. Abdominal CT scan showed a protuberant ileo-cecal valve, with intussusception of the ileum into the cecum. The mucosal surface of the resected bowel was bulbous and protuberant, showing loss of mucosal folds, and there was an 8 × 5 × 5 cm mass prolapsing into the ileo-cecal valve. Microscopically there was abundant adipose tissue in the submucosa with an unremarkable mucosa. The patient recovered uneventfully with only occasional cramping in the left abdomen.

摘要

脂肪过多症是一种罕见的疾病,其特征为弥漫性、无包膜的脂肪组织沉积。肠道受累情况罕见,而表现为肠套叠的情况则更为罕见。我们报告一名40岁男性,他因腹痛和排便急迫感就诊。腹部CT扫描显示回盲瓣突出,回肠套入盲肠。切除肠段的黏膜表面呈球根状且突出,黏膜皱襞消失,有一个8×5×5厘米的肿块突入回盲瓣。显微镜下可见黏膜下层有大量脂肪组织,黏膜无明显异常。患者恢复顺利,仅偶尔左下腹有绞痛。

https://cdn.ncbi.nlm.nih.gov/pmc/blobs/f997/6939428/620360caa64e/CRIGM2019-9701478.001.jpg

文献AI研究员

20分钟写一篇综述,助力文献阅读效率提升50倍。

立即体验

用中文搜PubMed

大模型驱动的PubMed中文搜索引擎

马上搜索

文档翻译

学术文献翻译模型,支持多种主流文档格式。

立即体验