Suppr超能文献

直肠神经内分泌肿瘤内镜切除术后长期随访中的异时性肝转移:三例报告

Metachronous liver metastases after long-term follow-up of endoscopic resection for rectal neuroendocrine neoplasms: a report of three cases.

作者信息

Hane Yuma, Tsuchikawa Takahiro, Tanaka Kimitaka, Nakanishi Yoshitsugu, Asano Toshimichi, Noji Takehiro, Kurashima Yo, Ebihara Yuma, Murakami Soichi, Nakamura Toru, Okamura Keisuke, Takeuchi Satoshi, Shichinohe Toshiaki, Hirano Satoshi

机构信息

Department of Gastroenterological Surgery II, Division of Surgery, Faculty of Medicine, Hokkaido University, West-7, North-15, Kita-ku, Sapporo, 060-8638, Japan.

Department of Medical Oncology, Graduate School of Medicine, Hokkaido University, Sapporo, Japan.

出版信息

Surg Case Rep. 2020 Jan 15;6(1):22. doi: 10.1186/s40792-020-0792-5.

Abstract

BACKGROUND

Rectal neuroendocrine neoplasms (NENs) are rare, but their incidence has increased in recent years. The metastasis rate is low in cases of a tumor diameter < 1 cm or depth of invasion lower than the submucosa; therefore, the European Neuroendocrine Tumor Society (ENETS) and the North American Neuroendocrine Tumor Society (NANETS) consensus guidelines recommend endoscopic resection. Since little has been reported on the long-term prognosis of endoscopic resection for rectal NEN, consensus is lacking regarding the follow-up period after endoscopic resection.

CASE PRESENTATION

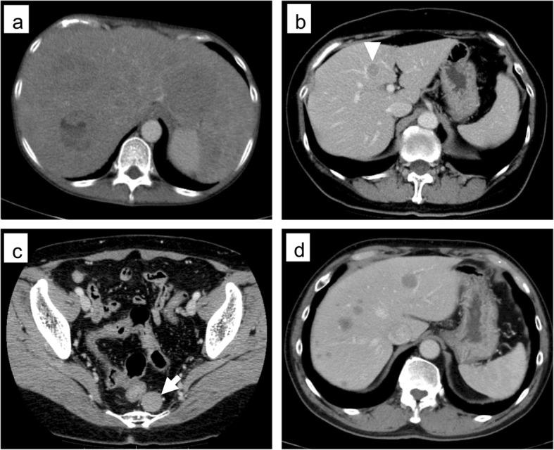
Here, we report three cases of metachronous liver metastasis after long-term follow-up of endoscopic mucosal resection (EMR) for rectal NEN. The pathological findings indicated a depth lower than the submucosa and complete radical resection in all cases and lymphovascular invasion in only one case. All three cases showed metachronous multiple liver metastases after 9-13 years of follow-up for EMR, despite achieving complete resection and without muscular invasion.

CONCLUSIONS

Metachronous liver metastases may occur after long interval following endoscopic resection; thus, long-term follow-up is necessary after endoscopic resection for rectal NEN.

摘要

背景

直肠神经内分泌肿瘤(NENs)较为罕见,但近年来其发病率有所上升。肿瘤直径<1 cm或浸润深度低于黏膜下层的病例转移率较低;因此,欧洲神经内分泌肿瘤学会(ENETS)和北美神经内分泌肿瘤学会(NANETS)的共识指南推荐内镜下切除。由于关于直肠NEN内镜下切除的长期预后报道较少,对于内镜下切除后的随访时间缺乏共识。

病例报告

在此,我们报告3例直肠NEN内镜黏膜切除术(EMR)长期随访后发生异时性肝转移的病例。病理结果显示所有病例浸润深度均低于黏膜下层且均实现了根治性完全切除,仅1例有脉管侵犯。尽管3例均实现了完全切除且无肌层侵犯,但在EMR术后9 - 13年的随访中均出现了异时性多发肝转移。

结论

内镜下切除后很长一段时间可能发生异时性肝转移;因此,直肠NEN内镜下切除后需要进行长期随访。

https://cdn.ncbi.nlm.nih.gov/pmc/blobs/29a5/6962411/31544f735608/40792_2020_792_Fig1_HTML.jpg

文献AI研究员

20分钟写一篇综述,助力文献阅读效率提升50倍。

立即体验

用中文搜PubMed

大模型驱动的PubMed中文搜索引擎

马上搜索

文档翻译

学术文献翻译模型,支持多种主流文档格式。

立即体验