• 文献检索
  • 文档翻译
  • 深度研究
  • 学术资讯
  • Suppr Zotero 插件Zotero 插件
  • 邀请有礼
  • 套餐&价格
  • 历史记录
应用&插件
Suppr Zotero 插件Zotero 插件浏览器插件Mac 客户端Windows 客户端微信小程序
定价
高级版会员购买积分包购买API积分包
服务
文献检索文档翻译深度研究API 文档MCP 服务
关于我们
关于 Suppr公司介绍联系我们用户协议隐私条款
关注我们

Suppr 超能文献

核心技术专利:CN118964589B侵权必究
粤ICP备2023148730 号-1Suppr @ 2026

文献检索

告别复杂PubMed语法,用中文像聊天一样搜索,搜遍4000万医学文献。AI智能推荐,让科研检索更轻松。

立即免费搜索

文件翻译

保留排版,准确专业,支持PDF/Word/PPT等文件格式,支持 12+语言互译。

免费翻译文档

深度研究

AI帮你快速写综述,25分钟生成高质量综述,智能提取关键信息,辅助科研写作。

立即免费体验

成纤维细胞生长因子 23 分泌性磷酸尿素质瘤伴奇异形态导致的瘤源性骨软化症。

Fibroblast Growth Factor 23-Producing Phosphaturic Mesenchymal Tumor with Extraordinary Morphology Causing Oncogenic Osteomalacia.

机构信息

Department of Endocrinology, Medizinische Klinik und Poliklinik IV, Ludwig-Maximilians-University, 80336 Munich, Germany.

Institute of Pathology, Klinikum der Universität München, Ludwig-Maximilians-University, 80337 Munich, Germany.

出版信息

Medicina (Kaunas). 2020 Jan 16;56(1):34. doi: 10.3390/medicina56010034.

DOI:10.3390/medicina56010034
PMID:31963334
原文链接:https://pmc.ncbi.nlm.nih.gov/articles/PMC7023375/
Abstract

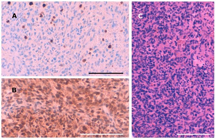
A possible cause of hypophosphatemia is paraneoplastic secretion of fibroblast growth factor 23 (FGF-23). Tumors secreting FGF-23 are rare, mostly of mesenchymal origin, usually benign, and may be located anywhere in the body, including hands and feet, which are often not represented in conventional imaging. A 50-year-old woman presented with diffuse musculoskeletal pain and several fractures. Secondary causes of osteoporosis were excluded. Laboratory analysis revealed hypophosphatemia and elevated alkaline phosphatase, parathyroid hormone, and FGF-23. Thus, oncogenic osteomalacia due to neoplastic FGF-23 secretion was suspected. FDG-PET-CT and DOTATATE-PET-CT imaging demonstrated no tumor. Cranial MRI revealed a tumorous mass in the left cellulae ethmoidales. The tumor was resected and histopathological examination showed a cell-rich tumor with round to ovoid nuclei, sparse cytoplasm, and sparse matrix, resembling an olfactory neuroblastoma. Immunohistochemical analysis first led to diagnosis of olfactory neuroblastoma, which was later revised to phosphaturic mesenchymal tumor. Following the resection, FGF-23 and phosphate levels normalized. In conclusion, we here describe a patient with an FGF-23-secreting phosphaturic mesenchymal tumor with an unusual morphology. Furthermore, we emphasize diagnostic pitfalls when dealing with FGF-23-induced hypophosphatemia.

摘要

低磷血症的一个可能原因是成纤维细胞生长因子 23(FGF-23)的副肿瘤分泌。分泌 FGF-23 的肿瘤很少见,主要来源于间充质,通常为良性,可能位于身体的任何部位,包括手和脚,这些部位通常在常规影像学检查中不被发现。一名 50 岁女性出现弥漫性肌肉骨骼疼痛和多处骨折。排除了骨质疏松症的继发性原因。实验室分析显示低磷血症和碱性磷酸酶、甲状旁腺激素和 FGF-23 升高。因此,怀疑是由肿瘤性 FGF-23 分泌引起的癌性骨软化症。FDG-PET-CT 和 DOTATATE-PET-CT 成像未显示肿瘤。头颅 MRI 显示左侧筛细胞有肿瘤性肿块。切除肿瘤后,组织病理学检查显示肿瘤细胞丰富,细胞核呈圆形至椭圆形,细胞质稀疏,基质稀疏,类似于嗅神经母细胞瘤。免疫组织化学分析首先导致诊断为嗅神经母细胞瘤,后来修订为促磷质间叶肿瘤。切除后,FGF-23 和磷酸盐水平恢复正常。总之,我们在此描述了一例分泌 FGF-23 的促磷质间叶肿瘤患者,其形态不寻常。此外,我们强调了在处理由 FGF-23 引起的低磷血症时的诊断陷阱。

https://cdn.ncbi.nlm.nih.gov/pmc/blobs/a948/7023375/3a3424360dc9/medicina-56-00034-g003.jpg
https://cdn.ncbi.nlm.nih.gov/pmc/blobs/a948/7023375/f1d43bb0aadd/medicina-56-00034-g001.jpg
https://cdn.ncbi.nlm.nih.gov/pmc/blobs/a948/7023375/0681bb5b9963/medicina-56-00034-g002.jpg
https://cdn.ncbi.nlm.nih.gov/pmc/blobs/a948/7023375/3a3424360dc9/medicina-56-00034-g003.jpg
https://cdn.ncbi.nlm.nih.gov/pmc/blobs/a948/7023375/f1d43bb0aadd/medicina-56-00034-g001.jpg
https://cdn.ncbi.nlm.nih.gov/pmc/blobs/a948/7023375/0681bb5b9963/medicina-56-00034-g002.jpg
https://cdn.ncbi.nlm.nih.gov/pmc/blobs/a948/7023375/3a3424360dc9/medicina-56-00034-g003.jpg

相似文献

1
Fibroblast Growth Factor 23-Producing Phosphaturic Mesenchymal Tumor with Extraordinary Morphology Causing Oncogenic Osteomalacia.成纤维细胞生长因子 23 分泌性磷酸尿素质瘤伴奇异形态导致的瘤源性骨软化症。
Medicina (Kaunas). 2020 Jan 16;56(1):34. doi: 10.3390/medicina56010034.
2
A rare case of multiple phosphaturic mesenchymal tumors along a tendon sheath inducing osteomalacia.一例罕见的沿腱鞘多发磷尿性间叶肿瘤致骨软化症病例。
BMC Musculoskelet Disord. 2017 Feb 13;18(1):79. doi: 10.1186/s12891-017-1446-z.
3
Occult phosphaturic mesenchymal tumour of femur cortex causing oncogenic osteomalacia - diagnostic challenges and clinical outcomes.股骨皮质隐匿性磷酸盐尿性间叶性肿瘤致瘤性骨软化症——诊断挑战与临床结局。
Endokrynol Pol. 2018;69(2):205-210. doi: 10.5603/EP.a2018.0016. Epub 2018 Feb 14.
4
A Rare Association Between Osteomalacia, Phosphaturic Mesenchymal Tumor, and Ovarian Cancer: A Case Report and Literature Review.骨软化症、磷酸尿基质肿瘤与卵巢癌罕见相关性:病例报告与文献复习。
Calcif Tissue Int. 2024 Aug;115(2):196-203. doi: 10.1007/s00223-024-01231-2. Epub 2024 May 28.
5
Reports of 17 Chinese patients with tumor-induced osteomalacia.17例肿瘤诱导性骨软化症中国患者的报告。
J Bone Miner Metab. 2017 May;35(3):298-307. doi: 10.1007/s00774-016-0756-9. Epub 2016 Apr 16.
6
Persistent phosphaturic mesenchymal tumor causing tumor-induced osteomalacia treated with image-guided ablation.经影像引导消融治疗引起骨软化症的持续性磷质间叶性肿瘤。
Osteoporos Int. 2021 Sep;32(9):1895-1898. doi: 10.1007/s00198-020-05795-1. Epub 2021 Mar 2.
7
Hypophosphataemia due to FGF-23 producing B cell non-Hodgkin's lymphoma.由产生成纤维细胞生长因子23的B细胞非霍奇金淋巴瘤导致的低磷血症
BMJ Case Rep. 2016 Apr 26;2016:bcr2015213954. doi: 10.1136/bcr-2015-213954.
8
Tumor-induced osteomalacia originating from the temporal bone: a case report.肿瘤相关性骨软化起源于颞骨:一例报告。
Head Neck. 2011 Jul;33(7):1072-5. doi: 10.1002/hed.21355. Epub 2010 Feb 9.
9
Oncogenic Osteomalacia From a Primary Phosphaturic Mesenchymal Tumor of the Toe: A Case Report.源于足部原发性磷尿性间叶肿瘤的致癌性骨软化症:一例报告
J Foot Ankle Surg. 2016 Mar-Apr;55(2):294-8. doi: 10.1053/j.jfas.2014.09.012. Epub 2014 Nov 6.
10
The phosphaturic mesenchymal tumor: why is definitive diagnosis and curative surgery often delayed?磷酸尿基质肿瘤:为何明确诊断和根治性手术常常延误?
Clin Orthop Relat Res. 2013 Nov;471(11):3618-25. doi: 10.1007/s11999-013-3178-1. Epub 2013 Jul 19.

引用本文的文献

1
Progressive bone pain caused by a phosphaturic mesenchymal tumor in the left femur: a case report and literature review.左股骨磷酸尿嘧啶基质肿瘤引起进行性骨痛:一例病例报告并文献复习。
J Int Med Res. 2024 Oct;52(10):3000605241285540. doi: 10.1177/03000605241285540.
2
Clinical Applications of Somatostatin Receptor (Agonist) PET Tracers beyond Neuroendocrine Tumors.生长抑素受体(激动剂)PET示踪剂在神经内分泌肿瘤以外的临床应用
Diagnostics (Basel). 2022 Feb 18;12(2):528. doi: 10.3390/diagnostics12020528.
3
Revisiting the WHO classification system of soft tissue tumours: emphasis on advanced magnetic resonance imaging sequences. Part 1.

本文引用的文献

1
Tumor-induced osteomalacia - Current imaging modalities and a systematic approach for tumor localization.肿瘤相关性骨软化症-当前的影像学方法和肿瘤定位的系统方法。
Clin Imaging. 2019 Jul-Aug;56:114-123. doi: 10.1016/j.clinimag.2019.04.007. Epub 2019 Apr 17.
2
Tumour-induced osteomalacia.肿瘤相关性骨软化症。
Nat Rev Dis Primers. 2017 Jul 13;3:17044. doi: 10.1038/nrdp.2017.44.
3
Fibroblast growth factor 23 in oncogenic osteomalacia and X-linked hypophosphatemia.成骨细胞骨软化症和X连锁低磷血症中的成纤维细胞生长因子23
重新审视世界卫生组织软组织肿瘤分类系统:重点关注先进的磁共振成像序列。第1部分。
Pol J Radiol. 2020 Aug 3;85:e396-e408. doi: 10.5114/pjr.2020.98685. eCollection 2020.
N Engl J Med. 2003 Apr 24;348(17):1656-63. doi: 10.1056/NEJMoa020881.