Suppr超能文献

冷纤维蛋白原相关肾小球肾炎的特征性电子显微镜表现:一例报告

Characteristic electron-microscopic features of cryofibrinogen-associated glomerulonephritis: a case report.

作者信息

Ibuki Emi, Shiraishi Aiko, Sofue Tadashi, Kushida Yoshio, Kadota Kyuichi, Honda Kazuho, Kang Dedong, Joh Kensuke, Minamino Tetsuo, Haba Reiji

机构信息

Department of Diagnostic Pathology, Kagawa University, 1750-1 Ikenobe, Miki-cho, Kita-gun, Kagawa, 761-0793, Japan.

Division of Nephrology and Dialysis, Department of Cardiorenal and Cerebrovascular Medicine, Kagawa University, Kagawa, Japan.

出版信息

BMC Nephrol. 2020 Jan 29;21(1):27. doi: 10.1186/s12882-020-1696-0.

Abstract

BACKGROUND

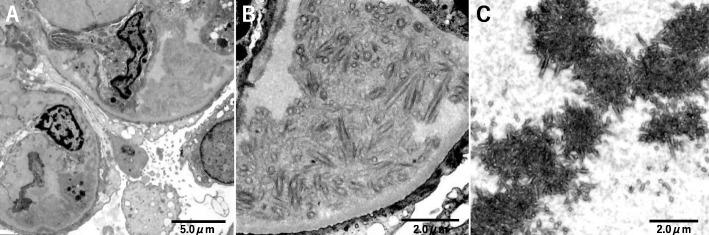
Cryofibrinogenemia is a rare disorder that mainly affects the skin and occasionally the kidney. However, there are few published reports of cryofibrinogenemia-associated renal pathology. We therefore report a patient with cryofibrinogen-associated glomerulonephritis. Samples from this patient were examined by electron microscopy, laser microdissection, and liquid chromatography-tandem mass spectrometry (LC-MS/MS).

CASE PRESENTATION

A 78-year-old Japanese man presented with declining renal function, proteinuria, and gross hematuria. Kidney biopsy showed a membranoproliferative pattern with crescent formation and dominant C3c deposition in which subendothelial deposits with uniquely organized electron-microscopic features were observed. Additional ultrastructural analysis of cryoprecipitates extracted from plasma revealed similar structures of the glomerular subendothelial deposits. LC-MS/MS identified an increase in fibrinogen α, β, and γ chains, fibronectin, filamin-A, and C3. The glomerular lesions were diagnosed as cryofibrinogen-associated glomerulonephritis on the basis of these findings.

CONCLUSIONS

Although there are few reports of cryofibrinogen-associated glomerulonephritis, we believe that accurate diagnosis can be achieved by performing LC-MS/MS and ultrastructural analysis.

摘要

背景

冷纤维蛋白原血症是一种罕见的疾病,主要影响皮肤,偶尔也会影响肾脏。然而,关于冷纤维蛋白原血症相关肾脏病理学的公开报道很少。因此,我们报告一例冷纤维蛋白原相关肾小球肾炎患者。对该患者的样本进行了电子显微镜、激光显微切割和液相色谱-串联质谱(LC-MS/MS)检测。

病例介绍

一名78岁的日本男性出现肾功能下降、蛋白尿和肉眼血尿。肾活检显示为膜增生性模式伴新月体形成,且C3c沉积为主,其中观察到具有独特组织学特征的内皮下沉积物。对从血浆中提取的冷沉淀物进行的额外超微结构分析显示,肾小球内皮下沉积物具有相似的结构。LC-MS/MS鉴定出纤维蛋白原α、β和γ链、纤连蛋白、细丝蛋白-A和C3增加。基于这些发现,肾小球病变被诊断为冷纤维蛋白原相关肾小球肾炎。

结论

尽管关于冷纤维蛋白原相关肾小球肾炎的报道很少,但我们认为通过进行LC-MS/MS和超微结构分析可以实现准确诊断。

https://cdn.ncbi.nlm.nih.gov/pmc/blobs/d16b/6988214/54a8773f3774/12882_2020_1696_Fig1_HTML.jpg

文献AI研究员

20分钟写一篇综述,助力文献阅读效率提升50倍。

立即体验

用中文搜PubMed

大模型驱动的PubMed中文搜索引擎

马上搜索

文档翻译

学术文献翻译模型,支持多种主流文档格式。

立即体验