Suppr超能文献

高频超声在外阴佩吉特病术前评估中的应用——一例报告

The utility of high-frequency ultrasonography in preoperative assessment of vulvar Paget's disease - a case report.

作者信息

Migda Michał, Migda Marian Stanisław, Migda Bartosz, Mlosek Robert Krzysztof, Maleńczyk Marek

机构信息

Clinical Unit of Obstetrics, Women's Disease and Gynecological Oncology, United District Hospital, Collegium Medicum University of Nicolaus Copernicus in Toruń, Torun, Poland.

Civis Vita Medical Center Torun, Poland.

出版信息

J Ultrason. 2019 Dec;19(79):311-313. doi: 10.15557/JoU.2019.0047. Epub 2019 Dec 31.

Abstract

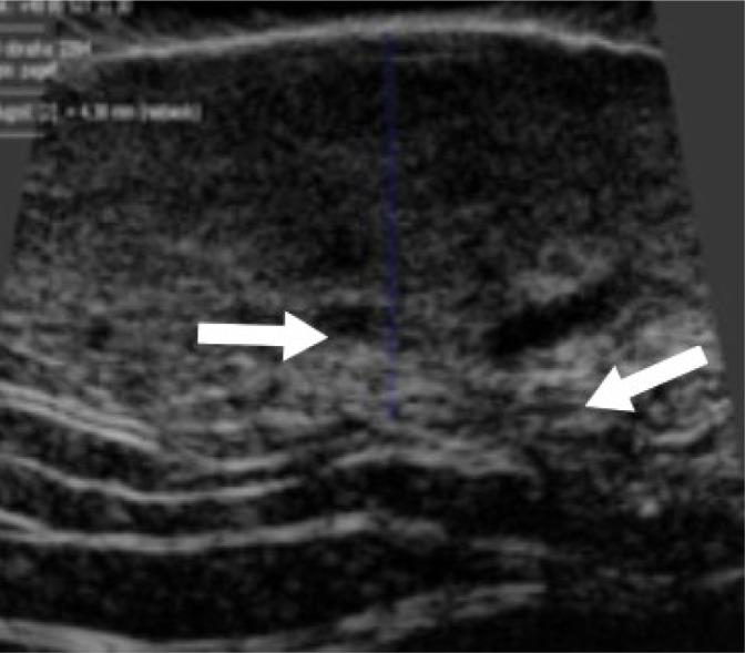
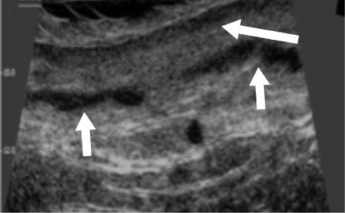
Paget's disease of the vulva is a rare skin cancer accounting for less than 1% of all vulvar neoplasias. Surgery is the first treatment of choice. Unfortunately, it is insufficient in many cases, which require further treatment, and the risk of recurrence is high. We present a case of an 85-year-old woman who underwent surgery due to Paget's disease of the vulva. A preoperative skin imaging using a high-frequency 48 MHz mechanical probe was used to assess the lesion margins. Typical high-frequency ultrasonographic features of vulvar Paget's disease were identified and analyzed. This is the first report of high-frequency ultrasonography imaging of vulvar Paget's disease.

摘要

外阴佩吉特病是一种罕见的皮肤癌,占所有外阴肿瘤的比例不到1%。手术是首选的治疗方法。不幸的是,在许多情况下手术并不充分,需要进一步治疗,且复发风险很高。我们报告一例85岁因外阴佩吉特病接受手术的女性病例。术前使用高频48MHz机械探头进行皮肤成像以评估病变边缘。识别并分析了外阴佩吉特病典型的高频超声特征。这是外阴佩吉特病高频超声成像的首例报告。

https://cdn.ncbi.nlm.nih.gov/pmc/blobs/b267/6988460/a36c08b90590/jou-19-79-311-g001.jpg

文献AI研究员

20分钟写一篇综述,助力文献阅读效率提升50倍。

立即体验

用中文搜PubMed

大模型驱动的PubMed中文搜索引擎

马上搜索

文档翻译

学术文献翻译模型,支持多种主流文档格式。

立即体验