Suppr超能文献

西罗莫司洗脱支架的早期再狭窄:一例甲状腺功能亢进患者的罕见病例。

Early Restenosis of Sirolimus-eluting Stent: An Unusual Case of a Hyperthyroid Patient.

作者信息

Shabbir Syeda Javeria, Baloch Mariam, Mustafa Faryal, Maab Hira, Qadar Laila Tul

机构信息

Internal Medicine, Dow University of Health Sciences, Karachi, PAK.

Medicine, Dow Medical College, Dow University of Health Sciences, Karachi, PAK.

出版信息

Cureus. 2019 Dec 28;11(12):e6490. doi: 10.7759/cureus.6490.

Abstract

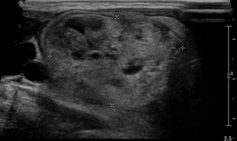
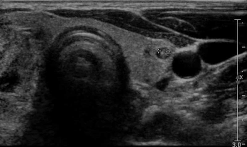
The presentation of atherosclerosis with concomitant hyperthyroidism is not uncommon. Hyperthyroidism predisposes to worse cardiovascular pathologies like systolic hypertension, atrial fibrillation, and hypercoagulability. Drug-eluting stents, on the other hand, have emerged as a miracle treatment choice for patients having atherogenic conditions. They have the highest success rates when it comes to minimizing in-stent restenosis (ISR) during short-term follow-up. There is scarce literature that assesses the correlation of multinodular goiter (MNG) to ISR, especially in Pakistan, and thus any probable association between the two is left untouched. We report a case of a 57-year-old female who is a known hyperthyroid with a massive MNG, presenting with worsening chest pain. She had undergone sirolimus-eluting stent (SES) implantation in left anterior descending artery (LAD) six months back. Cardiac catheterization confirmed restenosis of the SES in the LAD, along with the occlusion of left circumflex and right coronary artery, accompanied by grade I diastolic dysfunction and mild aortic regurgitation on echocardiography.

摘要

动脉粥样硬化合并甲状腺功能亢进的情况并不少见。甲状腺功能亢进易引发更严重的心血管疾病,如收缩期高血压、心房颤动和高凝状态。另一方面,药物洗脱支架已成为患有动脉粥样硬化疾病患者的一种神奇治疗选择。在短期随访中,它们在最小化支架内再狭窄(ISR)方面成功率最高。评估多结节性甲状腺肿(MNG)与ISR之间相关性的文献很少,尤其是在巴基斯坦,因此两者之间的任何可能关联都未得到探讨。我们报告一例57岁女性病例,她是一名已知的甲状腺功能亢进患者,患有巨大的MNG,出现胸痛加重症状。她六个月前在左前降支(LAD)植入了西罗莫司洗脱支架(SES)。心脏导管检查证实LAD处的SES再狭窄,同时左旋支和右冠状动脉闭塞,超声心动图显示伴有I级舒张功能障碍和轻度主动脉瓣反流。

https://cdn.ncbi.nlm.nih.gov/pmc/blobs/ba8f/6984166/feffc90bf32b/cureus-0011-00000006490-i01.jpg

文献检索

告别复杂PubMed语法,用中文像聊天一样搜索,搜遍4000万医学文献。AI智能推荐,让科研检索更轻松。

立即免费搜索

文件翻译

保留排版,准确专业,支持PDF/Word/PPT等文件格式,支持 12+语言互译。

免费翻译文档

深度研究

AI帮你快速写综述,25分钟生成高质量综述,智能提取关键信息,辅助科研写作。

立即免费体验