Suppr超能文献

罕见致死性支气管内毛霉菌病伪装为支气管内结核

A Rare Case of Fatal Endobronchial Mucormycosis Masquerading as Endobronchial Tuberculosis.

机构信息

Division of Pulmonology, Department of Internal Medicine, Inha University Hospital, Inha University School of Medicine, Incheon 22332, Korea.

Department of Pathology, Inha University Hospital, Inha University School of Medicine, Incheon 22332, Korea.

出版信息

Medicina (Kaunas). 2020 Feb 6;56(2):64. doi: 10.3390/medicina56020064.

Abstract

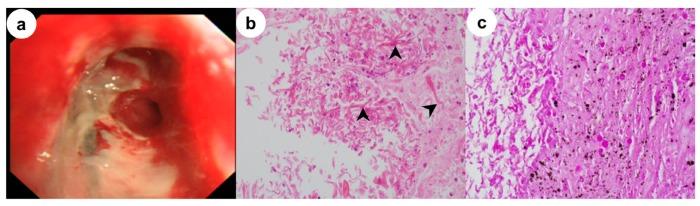
Pulmonary mucormycosis is a relatively rare but often fatal opportunistic fungal infection that occurs mostly in immunocompromised patients. Endobronchial mucormycosis, a distinct clinical form of pulmonary mucormycosis, is very rare, and only a few cases have been reported. The most common bronchoscopic findings in patients with endobronchial mucormycosis are stenosis, erythematous mucosa and airway obstruction. Here, we present a case of fatal endobronchial mucormycosis mimicking actively caseating endobronchial tuberculosis in a young diabetic patient living in a country with an intermediate tuberculosis burden.

摘要

肺毛霉病是一种相对罕见但常致命的机会性真菌感染,主要发生在免疫功能低下的患者中。支气管内毛霉病是肺毛霉病的一种独特临床形式,非常罕见,仅有少数病例报道。支气管内毛霉病患者最常见的支气管镜检查结果是狭窄、红斑状黏膜和气道阻塞。在这里,我们报告了一例发生在糖尿病年轻患者中的致命性支气管内毛霉病,该患者居住在结核病负担中等的国家,其临床表现类似于活动性干酪样支气管内结核。

https://cdn.ncbi.nlm.nih.gov/pmc/blobs/e04e/7074438/50e2657d53de/medicina-56-00064-g001.jpg

文献AI研究员

20分钟写一篇综述,助力文献阅读效率提升50倍。

立即体验

用中文搜PubMed

大模型驱动的PubMed中文搜索引擎

马上搜索

文档翻译

学术文献翻译模型,支持多种主流文档格式。

立即体验