Wellcome Trust CRUK Gurdon Institute, University of Cambridge, Tennis Court Road, Cambridge, CB2 1QN, UK.
Department of Biochemistry, University of Cambridge, Tennis Court Road, Cambridge, CB2 1GA, UK.
Nat Commun. 2020 Feb 10;11(1):819. doi: 10.1038/s41467-020-14563-y.
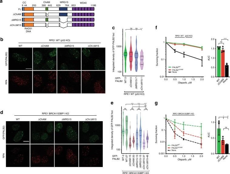
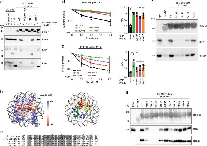
Loss of functional BRCA1 protein leads to defects in DNA double-strand break (DSB) repair by homologous recombination (HR) and renders cells hypersensitive to poly (ADP-ribose) polymerase (PARP) inhibitors used to treat BRCA1/2-deficient cancers. However, upon chronic treatment of BRCA1-mutant cells with PARP inhibitors, resistant clones can arise via several mechanisms, including loss of 53BP1 or its downstream co-factors. Defects in the 53BP1 axis partially restore the ability of a BRCA1-deficient cell to form RAD51 filaments at resected DSBs in a PALB2- and BRCA2-dependent manner, and thereby repair DSBs by HR. Here we show that depleting 53BP1 in BRCA1-null cells restores PALB2 accrual at resected DSBs. Moreover, we demonstrate that PALB2 DSB recruitment in BRCA1/53BP1-deficient cells is mediated by an interaction between PALB2's chromatin associated motif (ChAM) and the nucleosome acidic patch region, which in 53BP1-expressing cells is bound by 53BP1's ubiquitin-directed recruitment (UDR) domain.
BRCA1 蛋白功能丧失会导致同源重组(HR)修复 DNA 双链断裂(DSB)的缺陷,使细胞对用于治疗 BRCA1/2 缺陷型癌症的聚(ADP-核糖)聚合酶(PARP)抑制剂变得敏感。然而,在对 BRCA1 突变细胞进行慢性 PARP 抑制剂治疗后,通过多种机制可产生耐药克隆,包括 53BP1 或其下游共因子的缺失。53BP1 轴的缺陷部分恢复了 BRCA1 缺陷细胞在 PALB2 和 BRCA2 依赖性方式下在切除的 DSB 处形成 RAD51 丝的能力,从而通过 HR 修复 DSB。在这里,我们表明在 BRCA1 缺失细胞中耗尽 53BP1 可恢复切除的 DSB 处的 PALB2 积累。此外,我们证明 BRCA1/53BP1 缺陷细胞中 PALB2 DSB 的募集是由 PALB2 的染色质相关基序(ChAM)与核小体酸性补丁区域之间的相互作用介导的,在表达 53BP1 的细胞中,该相互作用由 53BP1 的泛素导向募集(UDR)结构域结合。