Sweeney Jared, Zyck Stephanie, Crye Mark, Galgano Michael
Neurosurgery, State University of New York Upstate Medical University, Syracuse, USA.
Thoracic Surgery, State University of New York Upstate Medical University, Syracuse, USA.
Cureus. 2020 Jan 3;12(1):e6548. doi: 10.7759/cureus.6548.
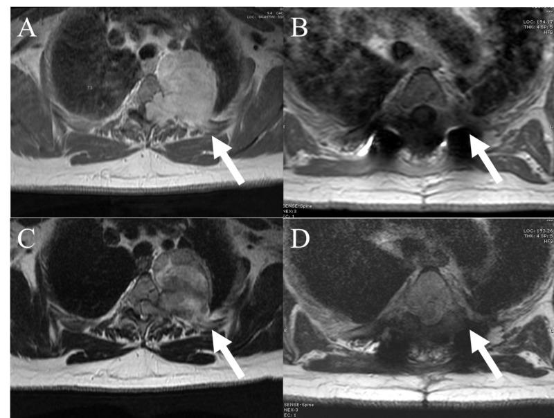
Dumbbell spinal cord tumors are infrequent pathologic entities. The optimal approach to safe surgical resection is ill-defined and must often be individualized. This is assisted with multiple tumor classification systems. Here, we describe a novel technique used to safely and successfully resect a large thoracic dumbbell schwannoma originating from the left T3 spinal nerve root with extension into the posterior mediastinum adjacent to the parietal pleura and thoracic aorta. A review of the literature was performed to study described surgical approaches to primary spinal dumbbell tumors. The decision-making process and preoperative imaging for operative planning are included. A detailed description of the procedure follows with intraoperative images. Gross total resection with no neurologic sequelae was achieved. Previously described operative techniques for resection of primary spinal dumbbell tumors with advantages and limitations of each are then reviewed. Gross total resection was safely achieved utilizing a single-staged posterior retropleural approach with anterior thoracoscopic guidance. The tumor was removed en bloc through a large posterior window. The prone position was utilized for the entire case with no intraoperative repositioning required. No intraoperative or immediate postoperative complications occurred. We report a novel approach to resecting a large primary spinal dumbbell tumor. A single-stage retropleural approach with anterior thoracoscopic guidance facilitated safe and successful gross total resection. Maintenance of the prone position throughout surgery allowed for reduced operative time, excellent anterior, and posterior visualization and no added patient morbidity. Repositioning to the lateral decubitus position may not be required in select cases.
哑铃形脊髓肿瘤是罕见的病理实体。安全手术切除的最佳方法尚不明确,通常必须个体化。多种肿瘤分类系统有助于这一过程。在此,我们描述了一种新技术,用于安全、成功地切除起源于左侧T3脊神经根并延伸至邻近壁胸膜和胸主动脉的后纵隔的大型胸段哑铃形神经鞘瘤。我们对文献进行了回顾,以研究已描述的原发性脊髓哑铃形肿瘤的手术方法。其中包括手术规划的决策过程和术前影像学检查。随后会结合术中图像详细描述手术过程。实现了肿瘤全切且无神经后遗症。然后回顾了先前描述的原发性脊髓哑铃形肿瘤切除的手术技术及其各自的优缺点。利用单阶段后胸膜后入路并在胸腔镜前路引导下安全地实现了肿瘤全切。通过一个大的后窗将肿瘤整块切除。整个手术过程采用俯卧位,无需术中重新定位。未发生术中或术后即刻并发症。我们报告了一种切除大型原发性脊髓哑铃形肿瘤的新方法。单阶段胸膜后入路并在胸腔镜前路引导下有助于安全、成功地进行肿瘤全切。在整个手术过程中保持俯卧位可减少手术时间,实现良好的前后视野,且不会增加患者的发病率。在某些情况下可能无需重新调整为侧卧位。