Suppr超能文献

脾切除术后患者感染钩端螺旋体病-病例报告。

Leptospirosis in an asplenic patient -case report.

机构信息

Dirección de Docencia, Instituto Nacional de Cancerología, Mexico City, Mexico.

Departamento de Microbiología y Parasitología, Facultad de Medicina, UNAM, Mexico City, Mexico.

出版信息

BMC Infect Dis. 2020 Feb 28;20(1):186. doi: 10.1186/s12879-020-4869-3.

Abstract

BACKGROUND

The presentation of clinical leptospirosis has been historically associated with animal workers, slaughterhouse workers and medical veterinarians. This association has shifted to be related to flooding events and outdoor activities; few cases are related to high-risk factors found in immunosuppressed patients. Scarcely a handful of cases have serological evidence of immune response against Leptospira serovar Bratislava representing serogroup Australis, a serovar associated with poor reproductive performance in swine and horses, and recently with cats.

CASE PRESENTATION

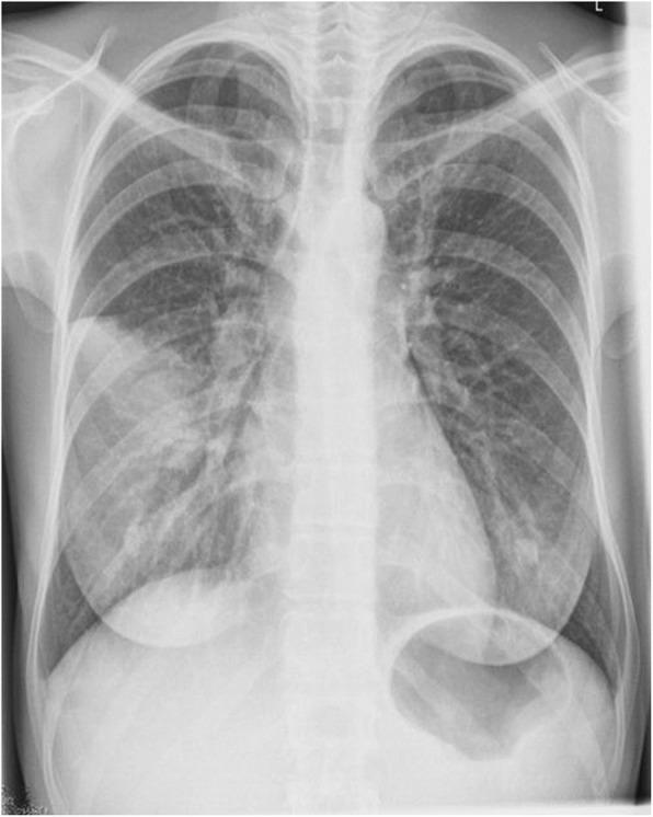
Herein, we describe a rare clinical presentation of disseminated Leptospira infection in an immunosuppressed 65-year-old woman. She was admitted to the emergency room with fever, bacteraemia, bilateral uveitis and pulmonary involvement. The patient denied outdoor activities; she only had wide exposure to faeces and urine from cats living in her home. Her medical history included idiopathic thrombocytopenic purpura (ITP) diagnosed at the age of 18. She did not respond to medical treatment, and a splenectomy was performed. At age 60, she was diagnosed with Chronic Myeloid Leukemia (CML), and was treated with a tyrosine kinase inhibitor (TKI) -Imatinib. The patient voluntarily discontinued the treatment for the last 6 months. After extensive workup, no microorganisms were identified by the commonly used stains in microbiology. The diagnosis was performed through dark-field microscopy, microagglutination test (MAT), Leptospira genus-specific PCR, the IS1500 PCR for identification of pathogenic species, and 16S based sequencing for the genus identification.

CONCLUSION

Immunosuppressed patients may acquire uncommon infections from ubiquitous microorganisms. In this case, serology evidence of exposure to Leptospira serovar Bratislava by MAT and the presence of the Leptospira genus were identified. It should be on mind for the diagnosis in otherwise healthy patients, and thoroughly search on splenectomised patients exposed to animals. Additionally, this report highlights the usefulness of PCR for diagnosis of this potentially life-threatening illness.

摘要

背景

临床钩端螺旋体病的表现历来与动物工作者、屠宰场工人和兽医有关。这种关联已经转变为与洪水事件和户外活动有关;很少有病例与免疫抑制患者的高风险因素有关。只有少数病例有针对血清型布拉迪斯拉发钩端螺旋体的血清学证据,该血清型属于澳大利亚血清群,与猪和马的繁殖性能不佳有关,最近与猫有关。

病例介绍

在此,我们描述了一例免疫抑制的 65 岁女性弥漫性钩端螺旋体感染的罕见临床表现。她因发热、菌血症、双眼葡萄膜炎和肺部受累而入住急诊室。患者否认户外活动;她只广泛接触家中的猫的粪便和尿液。她的病史包括 18 岁时诊断出的特发性血小板减少性紫癜(ITP)。她对药物治疗没有反应,并进行了脾切除术。60 岁时,她被诊断为慢性髓性白血病(CML),并接受酪氨酸激酶抑制剂(TKI)伊马替尼治疗。患者自愿停止治疗已有 6 个月。经过广泛的检查,微生物学中常用的染色剂未识别出任何微生物。通过暗场显微镜、微量凝集试验(MAT)、钩端螺旋体属特异性 PCR、用于鉴定致病性种的 IS1500 PCR 和基于 16S 的测序进行了诊断。

结论

免疫抑制患者可能会从无处不在的微生物中获得不常见的感染。在这种情况下,通过 MAT 检测到对血清型布拉迪斯拉发钩端螺旋体的血清学暴露证据,并检测到钩端螺旋体属。对于否则健康的患者,应注意进行诊断,并彻底检查暴露于动物的脾切除患者。此外,本报告强调了 PCR 在诊断这种潜在危及生命的疾病方面的有用性。

https://cdn.ncbi.nlm.nih.gov/pmc/blobs/b5ba/7048021/aa9c828211bd/12879_2020_4869_Fig1_HTML.jpg

文献检索

告别复杂PubMed语法,用中文像聊天一样搜索,搜遍4000万医学文献。AI智能推荐,让科研检索更轻松。

立即免费搜索

文件翻译

保留排版,准确专业,支持PDF/Word/PPT等文件格式,支持 12+语言互译。

免费翻译文档

深度研究

AI帮你快速写综述,25分钟生成高质量综述,智能提取关键信息,辅助科研写作。

立即免费体验