Suppr超能文献

二叶式主动脉瓣及相关主动脉病变的多模态成像、诊断与治疗策略的现状与未来展望

Current and Future Aspects of Multimodal Imaging, Diagnostic, and Treatment Strategies in Bicuspid Aortic Valve and Associated Aortopathies.

作者信息

Afzal Shazia, Piayda Kerstin, Maier Oliver, Goh Shouheng, Hellhammer Katharina, Cramer Mareike, Bönner Florian, Polzin Amin, Nijhof Niels, Kelm Malte, Zeus Tobias, Veulemans Verena

机构信息

Division of Cardiology, Pulmonology and Vascular Medicine, Heinrich Heine University, Medical Faculty, Moorenstr. 5, 40225 Düsseldorf, Germany.

Philips Healthcare, Best 5684, The Netherlands.

出版信息

J Clin Med. 2020 Mar 1;9(3):662. doi: 10.3390/jcm9030662.

Abstract

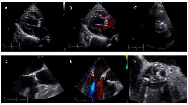
Bicuspid aortic valve (BAV) is the most frequent congenital cardiac abnormality leading to premature aortic valve apparatus dysfunction and is often associated with aortopathy. Therefore, current guidelines recommend a surgical aortic valve replacement (SAVR), even if many patients are deemed inoperable owing to their comorbidities and require alternatives such as transcatheter aortic valve replacement (TAVR). However, BAV variations remain challenging for procedural success. Therefore, the latest development in different imaging modalities (echocardiography, multislice-computertomographie, cardiovascular magnetic resonance) allows in-depth analysis for preprocedural risk stratification, follow up, and patient selection. Furthermore, we shed light on the latest developments in pre- and periprocedural fusion imaging as well as on current and future treatment options.

摘要

二叶式主动脉瓣(BAV)是导致主动脉瓣装置过早功能障碍的最常见先天性心脏异常,且常与主动脉病变相关。因此,当前指南推荐进行外科主动脉瓣置换术(SAVR),即便许多患者因其合并症被认为无法进行手术,而需要诸如经导管主动脉瓣置换术(TAVR)等替代方案。然而,BAV的变异对手术成功仍具有挑战性。因此,不同成像模式(超声心动图、多层计算机断层扫描、心血管磁共振)的最新进展使得能够对术前风险分层、随访及患者选择进行深入分析。此外,我们还阐述了术前和围手术期融合成像的最新进展以及当前和未来的治疗选择。

https://cdn.ncbi.nlm.nih.gov/pmc/blobs/6c6c/7141257/5d9f465d36a7/jcm-09-00662-g001.jpg

文献AI研究员

20分钟写一篇综述,助力文献阅读效率提升50倍。

立即体验

用中文搜PubMed

大模型驱动的PubMed中文搜索引擎

马上搜索

文档翻译

学术文献翻译模型,支持多种主流文档格式。

立即体验