• 文献检索
  • 文档翻译
  • 深度研究
  • 学术资讯
  • Suppr Zotero 插件Zotero 插件
  • 邀请有礼
  • 套餐&价格
  • 历史记录
应用&插件
Suppr Zotero 插件Zotero 插件浏览器插件Mac 客户端Windows 客户端微信小程序
定价
高级版会员购买积分包购买API积分包
服务
文献检索文档翻译深度研究API 文档MCP 服务
关于我们
关于 Suppr公司介绍联系我们用户协议隐私条款
关注我们

Suppr 超能文献

核心技术专利:CN118964589B侵权必究
粤ICP备2023148730 号-1Suppr @ 2026

文献检索

告别复杂PubMed语法,用中文像聊天一样搜索,搜遍4000万医学文献。AI智能推荐,让科研检索更轻松。

立即免费搜索

文件翻译

保留排版,准确专业,支持PDF/Word/PPT等文件格式,支持 12+语言互译。

免费翻译文档

深度研究

AI帮你快速写综述,25分钟生成高质量综述,智能提取关键信息,辅助科研写作。

立即免费体验

克拉霉素相关性急性肝衰竭导致严重凝血障碍引发致命性大量上消化道出血:病例报告及系统文献综述

Clarithromycin-Associated Acute Liver Failure Leading to Fatal, Massive Upper Gastrointestinal Hemorrhage from Profound Coagulopathy: Case Report and Systematic Literature Review.

作者信息

Edhi Ahmed I, Hakim Seifeldin, Shams Christienne, Bedi Damanpreet, Amin Mitual, Cappell Mitchell S

机构信息

Division of Gastroenterology & Hepatology, Department of Medicine, William Beaumont Hospital, 3535 W Thirteen Mile Rd, Royal Oak, MI 48073, USA.

Department of Medicine, William Beaumont Hospital, Oakland University William Beaumont School of Medicine, 3535 W Thirteen Mile Rd, Royal Oak, MI 48073, USA.

出版信息

Case Reports Hepatol. 2020 Feb 18;2020:2135239. doi: 10.1155/2020/2135239. eCollection 2020.

DOI:10.1155/2020/2135239
PMID:32148980
原文链接:https://pmc.ncbi.nlm.nih.gov/articles/PMC7049424/
Abstract

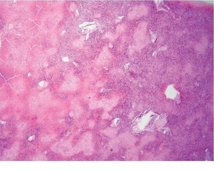
While erythromycin has caused numerous cases of acute liver failure (ALF), clarithromycin, a similar macrolide antibiotic, has caused only six reported cases of ALF. A new case of clarithromycin-associated ALF is reported with hepatic histopathology and exclusion of other etiologies by extensive workup, and the syndrome of clarithromycin-associated ALF is better characterized by systematic review. A 60-year-old nonalcoholic man, with normal baseline liver function tests, was admitted with diffuse abdominal pain and AST = 499 U/L and ALT = 539 U/L, six days after completing a 7-day course of clarithromycin 500 mg twice daily for suspected upper respiratory infection. AST and ALT each rose to about 1,000 U/L on day-2 of admission, and rose to ≥6,000 U/L on day-3, with development of severe hepatic encephalopathy and severe coagulopathy. Planned liver biopsy was cancelled due to coagulopathies. Extensive evaluation for infectious, immunologic, and metabolic causes of liver disease was negative. Abdominal computerized tomography and abdominal ultrasound with Doppler were unremarkable. The patient developed massive, acute upper gastrointestinal bleeding associated with coagulopathies. Esophagogastroduodenoscopy was planned after massive blood product transfusions, but the patient rapidly expired from hemorrhagic shock. Autopsy revealed a golden-brown heavy liver with massive hepatic necrosis and sinusoidal congestion. Rise of AST/ALT to about 1,000 U/L each was temporally incompatible with shock liver because this rise preceded the hemorrhagic shock, but the subsequent AST/ALT rise to ≥6,000 U/L each may have had a component of shock liver. The six previously reported cases were limited by failure to exclude hepatitis E (4), lack of liver biopsy (2), and uninterpretable liver biopsy (1) and by confounding potential etiologies including disulfiram, israpidine, or recent acetaminophen use (3), clarithromycin overdose (1), active alcohol use (1), and severe heart failure (1). Review of 6 previously reported and current case of clarithromycin-associated ALF revealed that patients had AST and ALT values in the thousands. Five patients died and 2 survived.

摘要

虽然红霉素已导致众多急性肝衰竭(ALF)病例,但类似的大环内酯类抗生素克拉霉素仅导致6例有报告的ALF病例。本文报告了1例新的克拉霉素相关性ALF病例,伴有肝脏组织病理学表现,并通过全面检查排除了其他病因,且通过系统评价对克拉霉素相关性ALF综合征有了更好的认识。一名60岁的非酒精性男性,基线肝功能检查正常,因疑似上呼吸道感染,在完成每日2次、每次500mg克拉霉素的7天疗程后6天,因弥漫性腹痛入院,当时AST = 499U/L,ALT = 539U/L。入院第2天,AST和ALT各自升至约1000U/L,第3天升至≥6000U/L,同时出现严重肝性脑病和严重凝血功能障碍。由于凝血功能障碍,原计划的肝活检取消。对肝病的感染性、免疫性和代谢性病因进行的全面评估均为阴性。腹部计算机断层扫描和腹部多普勒超声检查均无异常。患者出现与凝血功能障碍相关的大量急性上消化道出血。在大量输注血液制品后计划进行食管胃十二指肠镜检查,但患者因失血性休克迅速死亡。尸检显示肝脏呈金棕色,有大量肝坏死和窦状隙充血。AST/ALT各自升至约1000U/L在时间上与休克肝不相符,因为这种升高先于失血性休克出现,但随后AST/ALT各自升至≥6000U/L可能有休克肝的因素。先前报告的6例病例存在局限性,包括未排除戊型肝炎(4例)、缺乏肝活检(2例)、肝活检结果无法解读(1例),以及存在潜在混淆病因,包括双硫仑、异拉地平或近期使用对乙酰氨基酚(3例)、克拉霉素过量(1例)、正在饮酒(1例)和严重心力衰竭(1例)。对先前报告的6例和本病例的克拉霉素相关性ALF进行回顾发现,患者的AST和ALT值达数千。5例患者死亡,2例存活。

https://cdn.ncbi.nlm.nih.gov/pmc/blobs/9257/7049424/cf34c6ea37af/CRIHEP2020-2135239.002.jpg
https://cdn.ncbi.nlm.nih.gov/pmc/blobs/9257/7049424/62f776dff88f/CRIHEP2020-2135239.001.jpg
https://cdn.ncbi.nlm.nih.gov/pmc/blobs/9257/7049424/cf34c6ea37af/CRIHEP2020-2135239.002.jpg
https://cdn.ncbi.nlm.nih.gov/pmc/blobs/9257/7049424/62f776dff88f/CRIHEP2020-2135239.001.jpg
https://cdn.ncbi.nlm.nih.gov/pmc/blobs/9257/7049424/cf34c6ea37af/CRIHEP2020-2135239.002.jpg

相似文献

1
Clarithromycin-Associated Acute Liver Failure Leading to Fatal, Massive Upper Gastrointestinal Hemorrhage from Profound Coagulopathy: Case Report and Systematic Literature Review.克拉霉素相关性急性肝衰竭导致严重凝血障碍引发致命性大量上消化道出血:病例报告及系统文献综述
Case Reports Hepatol. 2020 Feb 18;2020:2135239. doi: 10.1155/2020/2135239. eCollection 2020.
2
Outcome of Severe Dengue Viral Infection-caused Acute Liver Failure in Thai Children.泰国儿童严重登革病毒感染所致急性肝衰竭的结局
J Trop Pediatr. 2016 Jun;62(3):200-5. doi: 10.1093/tropej/fmv099. Epub 2016 Feb 6.
3
[Hyperammonemia-induced hepatic injury in rats: characterization of a new animal model].[高氨血症诱导的大鼠肝损伤:一种新动物模型的特征]
Zhonghua Gan Zang Bing Za Zhi. 2013 Jun;21(6):467-72. doi: 10.3760/cma.j.issn.1007-3418.2013.06.019.
4
An Elusive Diagnosis: Diffuse Large B-Cell Lymphoma Masquerading as Acute Liver Failure with Persistent Lactic Acidosis.一个难以明确的诊断:弥漫性大 B 细胞淋巴瘤伪装为伴有持续乳酸酸中毒的急性肝衰竭。
Am J Case Rep. 2023 Oct 23;24:e941270. doi: 10.12659/AJCR.941270.
5
A descriptive analysis of aspartate and alanine aminotransferase rise and fall following acetaminophen overdose.对乙酰氨基酚过量服用后天冬氨酸氨基转移酶和丙氨酸氨基转移酶升降情况的描述性分析。
Clin Toxicol (Phila). 2015 Nov;53(9):849-55. doi: 10.3109/15563650.2015.1077968. Epub 2015 Aug 20.
6
A Rise in Aspartate Transaminase and Alanine Transaminase Associated With Ondansetron Administration in a Pregnant Female.一名孕妇使用昂丹司琼后出现天冬氨酸转氨酶和丙氨酸转氨酶升高。
Cureus. 2020 Nov 18;12(11):e11540. doi: 10.7759/cureus.11540.
7
[Fulminant hepatitis caused by disulfiram].[双硫仑引起的暴发性肝炎]
Dtsch Med Wochenschr. 1993 Sep 24;118(38):1355-60. doi: 10.1055/s-2008-1059461.
8
Trajectories of hepatic and coagulation dysfunctions related to a rapidly fatal outcome among hospitalized patients with dengue fever in Tainan, 2015.2015 年台南住院登革热患者中与快速致命结局相关的肝和凝血功能障碍轨迹。
PLoS Negl Trop Dis. 2019 Dec 5;13(12):e0007817. doi: 10.1371/journal.pntd.0007817. eCollection 2019 Dec.
9
[Protective effect of necrostatin-1 on the liver of rats with trauma induced hemorrhagic shock].[坏死抑制因子-1对创伤性失血性休克大鼠肝脏的保护作用]
Zhonghua Wei Zhong Bing Ji Jiu Yi Xue. 2014 Jan;26(1):17-22.
10
Acute liver failure in Lithuania.立陶宛的急性肝衰竭
Medicina (Kaunas). 2008;44(7):536-40.

引用本文的文献

1
Clarithromycin-induced acute liver injury in a patient with positive : a case report and review of the literature.克拉霉素致一名阳性患者急性肝损伤:一例报告及文献复习
Ann Med Surg (Lond). 2023 Aug 7;85(9):4629-4632. doi: 10.1097/MS9.0000000000001135. eCollection 2023 Sep.
2
Doxycycline vs. macrolides in combination with a β-lactam antibiotic for the treatment of community-acquired pneumonia in inpatients.多西环素与大环内酯类药物联合β-内酰胺类抗生素治疗住院社区获得性肺炎。
Eur J Med Res. 2022 Dec 8;27(1):279. doi: 10.1186/s40001-022-00912-8.

本文引用的文献

1
Beware of HCV and HEV in Patients with Suspected Drug-Induced Liver Injury.疑似药物性肝损伤患者需警惕丙型肝炎病毒和戊型肝炎病毒。
Curr Hepatol Rep. 2018 Sep;17(3):270-275. doi: 10.1007/s11901-018-0410-1. Epub 2018 Jul 11.
2
The Pathology of Acute Liver Failure.急性肝衰竭的病理学。
Adv Anat Pathol. 2016 May;23(3):144-58. doi: 10.1097/PAP.0000000000000112.
3
Fatal fulminant hepatitis following administration of clarithromycin in a patient chronically treated with antipsycotic drugs.服用克拉霉素后导致慢性抗精神病药物治疗患者暴发性肝衰竭。
Immunopharmacol Immunotoxicol. 2013 Feb;35(1):191-4. doi: 10.3109/08923973.2012.705293. Epub 2012 Jul 17.
4
Introduction to the revised American Association for the Study of Liver Diseases Position Paper on acute liver failure 2011.2011年美国肝病研究协会关于急性肝衰竭立场文件修订版介绍。
Hepatology. 2012 Mar;55(3):965-7. doi: 10.1002/hep.25551.
5
Acute liver failure: Summary of a workshop.急性肝衰竭:研讨会总结
Hepatology. 2008 Apr;47(4):1401-15. doi: 10.1002/hep.22177.
6
Steroid therapy for a case of severe drug-induced cholestasis.1例严重药物性胆汁淤积症的类固醇治疗。
Ann Pharmacother. 2006 Jun;40(6):1196-9. doi: 10.1345/aph.1G345. Epub 2006 May 23.
7
Fulminant liver failure associated with clarithromycin.与克拉霉素相关的暴发性肝衰竭。
Ann Pharmacother. 2003 Jan;37(1):57-60. doi: 10.1345/aph.1C171.
8
Progressive cholestatic liver disease associated with clarithromycin treatment.与克拉霉素治疗相关的进行性胆汁淤积性肝病。
J Clin Pharmacol. 2002 Jun;42(6):676-80. doi: 10.1177/00970002042006011.
9
Clarithromycin use preceding fulminant hepatic failure.在暴发性肝衰竭之前使用克拉霉素。
Am J Gastroenterol. 2002 Feb;97(2):489-90. doi: 10.1111/j.1572-0241.2002.05505.x.
10
Fulminant hepatitis and fatal toxic epidermal necrolysis (Lyell disease) coincident with clarithromycin administration in an alcoholic patient receiving disulfiram therapy.在一名接受双硫仑治疗的酒精性肝病患者中,同时出现了暴发性肝炎和致命性中毒性表皮坏死松解症(莱尔病),与克拉霉素给药相关。
Arch Intern Med. 2002 Feb 25;162(4):474-6. doi: 10.1001/archinte.162.4.474.