Suppr超能文献

儿童和青少年跗骨联合的手术治疗

Surgical treatment of tarsal coalitions in children and adolescents.

作者信息

Kothari Alpesh, Masquijo Javier

机构信息

Department of Paediatric Orthopaedics, Oxford University Hospitals NHS Foundation Trust, Oxford, United Kingdom.

Department of Pediatric Orthopaedics, Sanatorio Allende, Córdoba, Argentina.

出版信息

EFORT Open Rev. 2020 Feb 26;5(2):80-89. doi: 10.1302/2058-5241.5.180106. eCollection 2020 Feb.

Abstract

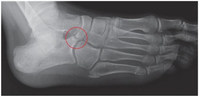
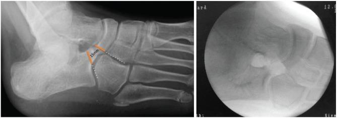
A tarsal coalition is an abnormal connection between two or more tarsal bones caused by failure of mesenchymal segmentation.The two most common tarsal coalitions are calcaneonavicular coalition (CNC) and talocalcaneal coalition (TCC). Both CNC and TCC can be associated with significant foot and ankle pain and impaired quality of life; there may also be concomitant foot and ankle deformity.Initial, non-operative management for symptomatic tarsal coalition commonly fails, leaving surgical intervention as the only recourse.The focus of this article is to critically describe the variety of methods used to surgically manage CNC and TCC. In review of the pertinent literature we highlight the ongoing treatment controversies in this field and discuss new innovations.The evidence-based algorithmic approach used by the authors in the management of tarsal coalitions is illustrated alongside some clinical pearls that should help surgeons treating this common, and at times complex, condition. Cite this article: 2020;5:80-89. DOI: 10.1302/2058-5241.5.180106.

摘要

跗骨联合是由于间充质节段化失败导致两块或多块跗骨之间的异常连接。最常见的两种跗骨联合是跟舟联合(CNC)和距跟联合(TCC)。CNC和TCC都可能伴有严重的足踝疼痛和生活质量受损;也可能伴有足踝畸形。对于有症状的跗骨联合,最初的非手术治疗通常无效,手术干预成为唯一的选择。本文的重点是批判性地描述用于手术治疗CNC和TCC的各种方法。在回顾相关文献时,我们强调了该领域持续存在的治疗争议并讨论了新的创新方法。作者在跗骨联合管理中使用的循证算法方法与一些临床要点一起展示,这些要点应有助于外科医生治疗这种常见且有时复杂的病症。引用本文:2020;5:80 - 89。DOI: 10.1302/2058 - 5241.5.180106。

https://cdn.ncbi.nlm.nih.gov/pmc/blobs/05cb/7047898/2443fefefc7a/eor-5-80-g001.jpg

文献AI研究员

20分钟写一篇综述,助力文献阅读效率提升50倍。

立即体验

用中文搜PubMed

大模型驱动的PubMed中文搜索引擎

马上搜索

文档翻译

学术文献翻译模型,支持多种主流文档格式。

立即体验