Suppr超能文献

胼胝体孤立性梗死:轻度头部损伤的罕见表现。

Isolated Infarction of the Splenium: A Rare Presentation of Mild Head Injury.

作者信息

Sadashivam Saravanan, Natarajan Arun Kumar

机构信息

Department of Neurosurgery, Meenakshi Mission Hospital, Thanjavur, Tamil Nadu, India.

出版信息

Asian J Neurosurg. 2020 Feb 25;15(1):214-217. doi: 10.4103/ajns.AJNS_167_19. eCollection 2020 Jan-Mar.

Abstract

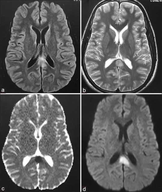
Posttraumatic cerebral infarction (PTCI) is a devastating complication of traumatic brain injury. It is usually seen in patients with moderate-to-severe head injury with a reported incidence of 1.9%-10.4%. Brain shift associated with the traumatic intracranial space-occupying lesions with or without severe cerebral edema is the most common mechanism underlying the PTCI. Without associated direct vascular injury, isolated PTCI is very rare after mild head injury. Such cases of PTCI following mild head injury have been reported in children in whom they usually affect the gangliocapsular region supplied by the lenticulostriate arteries. Such infarcts in adults are extremely rare. Although the exact pathogenesis is not clear, vasospasm or shearing-associated intimal tear is proposed to be the cause for this infarct. Other common causes of cerebral infarction should be ruled out before making such a diagnosis. Unlike PTCI associated with a severe head injury, cerebral infarction following mild head injury is expected to have a better neurological outcome.

摘要

创伤后脑梗死(PTCI)是创伤性脑损伤的一种严重并发症。它通常见于中重度颅脑损伤患者,报道的发病率为1.9%-10.4%。与伴有或不伴有严重脑水肿的创伤性颅内占位性病变相关的脑移位是PTCI最常见的潜在机制。在没有相关直接血管损伤的情况下,轻度颅脑损伤后孤立性PTCI非常罕见。轻度颅脑损伤后发生PTCI的病例在儿童中已有报道,这些病例通常影响由豆纹动脉供应的神经节囊区域。成人发生这种梗死极为罕见。虽然确切的发病机制尚不清楚,但血管痉挛或剪切相关的内膜撕裂被认为是这种梗死的原因。在做出这种诊断之前,应排除其他常见的脑梗死原因。与重度颅脑损伤相关的PTCI不同,轻度颅脑损伤后脑梗死预计神经功能预后较好。

https://cdn.ncbi.nlm.nih.gov/pmc/blobs/0f58/7057890/9ce1cf5a4b98/AJNS-15-214-g001.jpg

文献检索

告别复杂PubMed语法,用中文像聊天一样搜索,搜遍4000万医学文献。AI智能推荐,让科研检索更轻松。

立即免费搜索

文件翻译

保留排版,准确专业,支持PDF/Word/PPT等文件格式,支持 12+语言互译。

免费翻译文档

深度研究

AI帮你快速写综述,25分钟生成高质量综述,智能提取关键信息,辅助科研写作。

立即免费体验