• 文献检索
  • 文档翻译
  • 深度研究
  • 学术资讯
  • Suppr Zotero 插件Zotero 插件
  • 邀请有礼
  • 套餐&价格
  • 历史记录
应用&插件
Suppr Zotero 插件Zotero 插件浏览器插件Mac 客户端Windows 客户端微信小程序
定价
高级版会员购买积分包购买API积分包
服务
文献检索文档翻译深度研究API 文档MCP 服务
关于我们
关于 Suppr公司介绍联系我们用户协议隐私条款
关注我们

Suppr 超能文献

核心技术专利:CN118964589B侵权必究
粤ICP备2023148730 号-1Suppr @ 2026

文献检索

告别复杂PubMed语法,用中文像聊天一样搜索,搜遍4000万医学文献。AI智能推荐,让科研检索更轻松。

立即免费搜索

文件翻译

保留排版,准确专业,支持PDF/Word/PPT等文件格式,支持 12+语言互译。

免费翻译文档

深度研究

AI帮你快速写综述,25分钟生成高质量综述,智能提取关键信息,辅助科研写作。

立即免费体验

偶然发现的非复杂性腹直肌后鞘疝。

Incidental non-complicated posterior rectus sheath hernia.

作者信息

Connell Peter, Hennebry James, Alsanjari Senan, Chakravartty Riddhika, Sabala Mona

机构信息

East Surrey Hospital, Redhill, Surrey, United Kingdom.

University of Nottingham, Notingham, United Kingdom.

出版信息

BJR Case Rep. 2020 Feb 12;6(1):20190072. doi: 10.1259/bjrcr.20190072. eCollection 2020 Mar.

DOI:10.1259/bjrcr.20190072
PMID:32201613
原文链接:https://pmc.ncbi.nlm.nih.gov/articles/PMC7068098/
Abstract

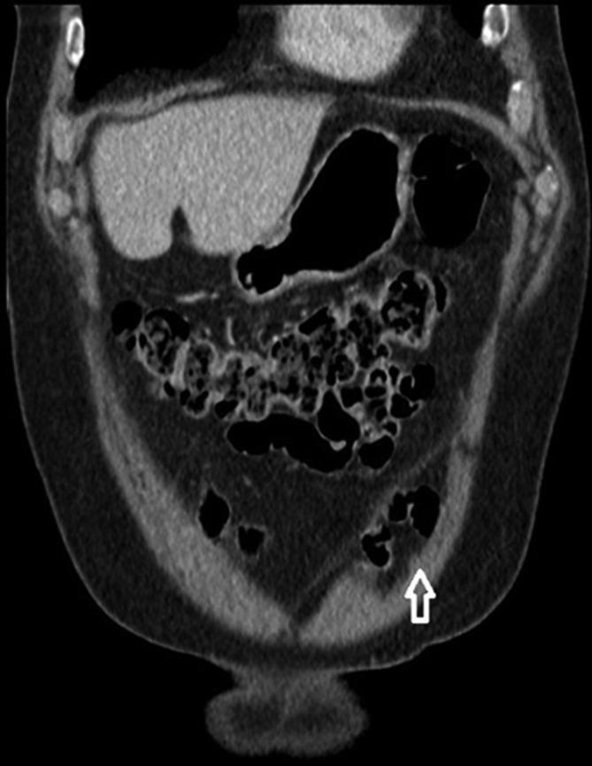
Posterior rectus sheath hernia is a truly rare finding, with only 11 documented cases since the first report in 1937. A posterior rectus sheath hernia is herniation of bowel and/or omentum through the posterior portion of the rectus sheath, but not through any other structure. This can only occur medial to the spigelian fascia, differentiating it from a spigelian hernia. Previous missed cases have led to complications such as bowel incarceration, obstruction or even strangulation and have required surgical intervention. In this case report, we describe an incidental finding of a non-complicated posterior rectus sheath hernia in an 83-year-old male. Annotated cross-sectional imaging provides anatomical context that is not widely available in the existing literature. Due to its rarity and potential complications, it is also important to report this case in order to enhance the evidence base for posterior rectus sheath hernia and to familiarize this uncommon condition to radiologists, clinicians and surgeons.

摘要

腹直肌后鞘疝是一种极为罕见的病症,自1937年首次报告以来,仅有11例文献记载。腹直肌后鞘疝是指肠管和/或网膜通过腹直肌后鞘的后部突出,但不通过任何其他结构。这种情况仅发生在半月线筋膜内侧,从而与半月线疝相区别。既往漏诊的病例已导致诸如肠管嵌顿、梗阻甚至绞窄等并发症,且需要手术干预。在本病例报告中,我们描述了一名83岁男性偶然发现的非复杂性腹直肌后鞘疝。带注释的横断面成像提供了现有文献中未广泛提供的解剖学背景。鉴于其罕见性和潜在并发症,报告此病例对于加强腹直肌后鞘疝的证据基础以及让放射科医生、临床医生和外科医生熟悉这种罕见病症也很重要。

https://cdn.ncbi.nlm.nih.gov/pmc/blobs/c2cc/7068098/0e220b0b2b57/bjrcr.20190072.g006.jpg
https://cdn.ncbi.nlm.nih.gov/pmc/blobs/c2cc/7068098/0105409886f5/bjrcr.20190072.g001.jpg
https://cdn.ncbi.nlm.nih.gov/pmc/blobs/c2cc/7068098/d6e3d3d33dd0/bjrcr.20190072.g002.jpg
https://cdn.ncbi.nlm.nih.gov/pmc/blobs/c2cc/7068098/88ef1a36a309/bjrcr.20190072.g003.jpg
https://cdn.ncbi.nlm.nih.gov/pmc/blobs/c2cc/7068098/d9d1c141c19d/bjrcr.20190072.g004.jpg
https://cdn.ncbi.nlm.nih.gov/pmc/blobs/c2cc/7068098/a163aca11307/bjrcr.20190072.g005.jpg
https://cdn.ncbi.nlm.nih.gov/pmc/blobs/c2cc/7068098/0e220b0b2b57/bjrcr.20190072.g006.jpg
https://cdn.ncbi.nlm.nih.gov/pmc/blobs/c2cc/7068098/0105409886f5/bjrcr.20190072.g001.jpg
https://cdn.ncbi.nlm.nih.gov/pmc/blobs/c2cc/7068098/d6e3d3d33dd0/bjrcr.20190072.g002.jpg
https://cdn.ncbi.nlm.nih.gov/pmc/blobs/c2cc/7068098/88ef1a36a309/bjrcr.20190072.g003.jpg
https://cdn.ncbi.nlm.nih.gov/pmc/blobs/c2cc/7068098/d9d1c141c19d/bjrcr.20190072.g004.jpg
https://cdn.ncbi.nlm.nih.gov/pmc/blobs/c2cc/7068098/a163aca11307/bjrcr.20190072.g005.jpg
https://cdn.ncbi.nlm.nih.gov/pmc/blobs/c2cc/7068098/0e220b0b2b57/bjrcr.20190072.g006.jpg

相似文献

1
Incidental non-complicated posterior rectus sheath hernia.偶然发现的非复杂性腹直肌后鞘疝。
BJR Case Rep. 2020 Feb 12;6(1):20190072. doi: 10.1259/bjrcr.20190072. eCollection 2020 Mar.
2
Spontaneous posterior rectus sheath hernia: A case report and literature review.自发性腹直肌鞘后疝:一例报告及文献复习
Int J Surg Case Rep. 2023 Jan;102:107834. doi: 10.1016/j.ijscr.2022.107834. Epub 2022 Dec 13.
3
Spontaneous posterior rectus sheath hernia: a case report.自发性腹直肌鞘后疝:一例报告
J Med Case Rep. 2018 Apr 15;12(1):96. doi: 10.1186/s13256-018-1645-8.
4
Posterior rectus sheath hernia causing intermittent small bowel obstruction.腹直肌后鞘疝导致间歇性小肠梗阻。
J Radiol Case Rep. 2014 Sep 30;8(9):25-9. doi: 10.3941/jrcr.v8i9.2081. eCollection 2014 Sep.
5
Incarcerated Spigelian Hernias: A Rare Cause of a High-grade Small Bowel Obstruction.闭孔疝:高位小肠梗阻的罕见病因
Cureus. 2020 Mar 24;12(3):e7397. doi: 10.7759/cureus.7397.
6
Laparoscopic approach for a spontaneous posterior rectus sheath hernia.腹腔镜治疗自发性腹直肌后鞘疝
J Surg Case Rep. 2019 May 28;2019(5):rjz161. doi: 10.1093/jscr/rjz161. eCollection 2019 May.
7
Strangulated sliding spigelian hernia: A case report.绞窄性滑动性半月线疝:一例报告
Int J Surg Case Rep. 2018;53:475-478. doi: 10.1016/j.ijscr.2018.10.043. Epub 2018 Nov 16.
8
"Bulb-like" sign: Small bowel closed loop obstruction in incarcerated Spigelian hernia.“灯泡样”征:闭孔疝所致小肠闭袢性梗阻。
Radiol Case Rep. 2020 Dec 19;16(3):520-523. doi: 10.1016/j.radcr.2020.12.038. eCollection 2021 Mar.
9
Contrasting Presentations of Spigelian Hernia in a Single Surgical Unit of a Tertiary Healthcare Center: A Case Series.三级医疗中心单一外科单元中斯氏疝的不同表现:病例系列
Cureus. 2023 Jul 21;15(7):e42238. doi: 10.7759/cureus.42238. eCollection 2023 Jul.
10
Spontaneous posterior rectus sheath hernia: a new clinical entity?自发性腹直肌鞘后疝:一种新的临床实体?
Hernia. 2007 Oct;11(5):445-7. doi: 10.1007/s10029-007-0204-9. Epub 2007 Feb 13.

引用本文的文献

1
Posterior rectus sheath hernia: case report and a systematic review of the literature.腹直肌后鞘疝:病例报告及文献系统综述
Hernia. 2025 Jun 5;29(1):198. doi: 10.1007/s10029-025-03383-y.
2
Strangulated interstitial interparietal hernia following lower segment caesarean section: a case report.下段剖宫产术后绞窄性间位腹膜间疝:一例报告
J Surg Case Rep. 2023 Apr 12;2023(4):rjad175. doi: 10.1093/jscr/rjad175. eCollection 2023 Apr.

本文引用的文献

1
Laparoscopic approach for a spontaneous posterior rectus sheath hernia.腹腔镜治疗自发性腹直肌后鞘疝
J Surg Case Rep. 2019 May 28;2019(5):rjz161. doi: 10.1093/jscr/rjz161. eCollection 2019 May.
2
Posterior rectus sheath hernia causing intermittent small bowel obstruction.腹直肌后鞘疝导致间歇性小肠梗阻。
J Radiol Case Rep. 2014 Sep 30;8(9):25-9. doi: 10.3941/jrcr.v8i9.2081. eCollection 2014 Sep.
3
Spontaneous hernia through the posterior rectus abdominis sheath: case report and review of the published literature 1937-2008.
经腹直肌后鞘的自发性疝:病例报告及1937 - 2008年已发表文献综述
Hernia. 2009 Oct;13(5):555-8. doi: 10.1007/s10029-009-0481-6. Epub 2009 Feb 21.
4
Spigelian hernia: surgical anatomy, embryology, and technique of repair.半月线疝:手术解剖、胚胎学及修复技术
Am Surg. 2006 Jan;72(1):42-8.
5
Incarcerated hernia through the posterior rectus sheath.经腹直肌后鞘的嵌顿疝
AJR Am J Roentgenol. 2005 Nov;185(5):1185-6. doi: 10.2214/AJR.04.0637.