Suppr超能文献

Role of cartilage canals in osteogenesis and growth of the vertebral centra.

作者信息

Chandraraj S, Briggs C A

机构信息

Phillip Institute of Technology, Victoria, Australia.

出版信息

J Anat. 1988 Jun;158:121-36.

Abstract

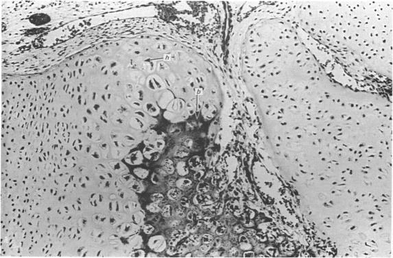
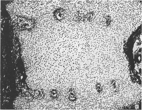
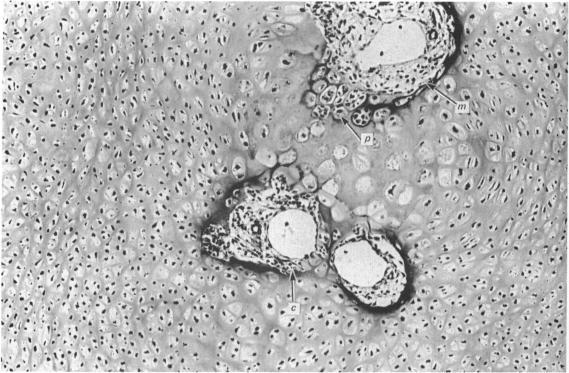
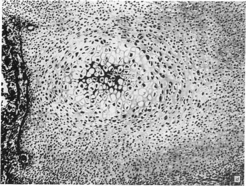
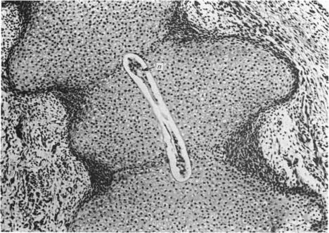
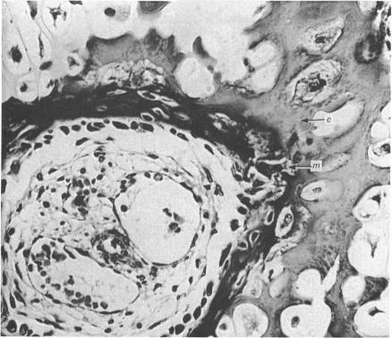
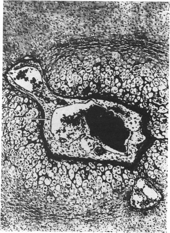
Bone formation in the vertebral centra commences within the centrum and is in this respect analogous to the secondary ossification which occurs in the epiphysis of a long bone. Bone tissue first appears at about the 85 mm C.R. stage and not in the 55 mm C.R. length embryo; at the latter stage blood vessels and calcification alone were observed. The connective tissue cells within the cartilage canal appear to assist osteogenesis by providing osteogenic cells which lay down bone in the walls of the cartilage canal, and provide cells which remove calcified cartilage found at the periphery of the canal; they assist growth by producing an appreciable number of chondrocytes that permit lateral expansion of the centra. Osteogenesis appears to occur in multiple foci within the growth plate of the older embryos and could account for the rapid rate of growth of vertebrae. Bone formation occurs in both mineralised and unmineralised matrix (as seen on the walls of the cartilage canals). The blood vessels within the growing vertebra tend to follow the zone of cartilage hypertrophy.

摘要
https://cdn.ncbi.nlm.nih.gov/pmc/blobs/2373/1261983/fe78e1599c43/janat00174-0127-a.jpg

相似文献

5
Cartilage canals in the chicken embryo: ultrastructure and function.
Anat Embryol (Berl). 2004 Mar;207(6):453-62. doi: 10.1007/s00429-003-0363-0. Epub 2004 Feb 4.
6
Ossification of the vertebral column in human foetuses: histological and computed tomography studies.
Folia Morphol (Warsz). 2013 Aug;72(3):230-8. doi: 10.5603/fm.2013.0038.
7
Ossification in the human calcaneus: a model for spatial bone development and ossification.
J Anat. 2001 Nov;199(Pt 5):609-16. doi: 10.1046/j.1469-7580.2001.19950609.x.

文献AI研究员

20分钟写一篇综述,助力文献阅读效率提升50倍。

立即体验

用中文搜PubMed

大模型驱动的PubMed中文搜索引擎

马上搜索

文档翻译

学术文献翻译模型,支持多种主流文档格式。

立即体验