• 文献检索
  • 文档翻译
  • 深度研究
  • 学术资讯
  • Suppr Zotero 插件Zotero 插件
  • 邀请有礼
  • 套餐&价格
  • 历史记录
应用&插件
Suppr Zotero 插件Zotero 插件浏览器插件Mac 客户端Windows 客户端微信小程序
定价
高级版会员购买积分包购买API积分包
服务
文献检索文档翻译深度研究API 文档MCP 服务
关于我们
关于 Suppr公司介绍联系我们用户协议隐私条款
关注我们

Suppr 超能文献

核心技术专利:CN118964589B侵权必究
粤ICP备2023148730 号-1Suppr @ 2026

文献检索

告别复杂PubMed语法,用中文像聊天一样搜索,搜遍4000万医学文献。AI智能推荐,让科研检索更轻松。

立即免费搜索

文件翻译

保留排版,准确专业,支持PDF/Word/PPT等文件格式,支持 12+语言互译。

免费翻译文档

深度研究

AI帮你快速写综述,25分钟生成高质量综述,智能提取关键信息,辅助科研写作。

立即免费体验

使用组织学检查评估因病态肥胖接受长期空肠回肠旁路术患者的肝脏超微结构。

Use of histological examination to assess ultrastructure of liver in patients with long standing jejuno-ileal bypass for morbid obesity.

作者信息

Boon A P, Thompson H, Baddeley R M

机构信息

Department of Pathology, Medical School, University of Birmingham.

出版信息

J Clin Pathol. 1988 Dec;41(12):1281-7. doi: 10.1136/jcp.41.12.1281.

DOI:10.1136/jcp.41.12.1281
PMID:3225330
原文链接:https://pmc.ncbi.nlm.nih.gov/articles/PMC1141761/
Abstract

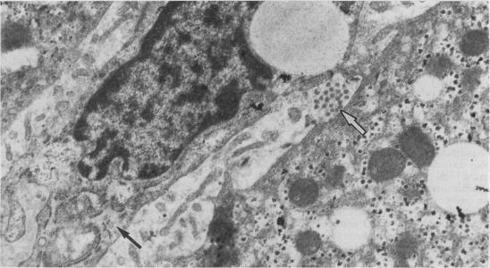
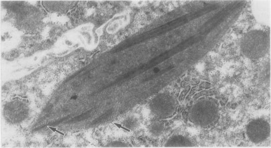
To assess the pattern and severity of liver disease in patients who had undergone jejuno-ileal bypass for the treatment of morbid obesity, 23 patients were biopsied, all of whom had had intact bypasses for more than 10 years. These were examined by light and electron microscopy. Previous biopsy specimens from each patient, including specimens taken before bypass, were reviewed. Similar biopsy specimens were obtained from six obese patients undergoing gastroplasty. There was no evidence of cirrhosis, and mild or moderate degrees of fibrosis were found in only a few patients. Steatosis tended to persist after bypass, albeit to a lesser degree. Giant mitochondria and intramitochondrial filamentous inclusions were present in four of six specimens taken before gastroplasty and in 15 of 23 specimens taken after jejuno-ileal bypass, being especially numerous in those specimens showing little or no steatosis. It is suggested that such features reflect ultrastructural evidence of adaptation to an abnormal metabolic environment both in the morbidly obese and even many years after jejuno-ileal bypass. Their prognostic importance is unclear.

摘要

为评估接受空肠回肠分流术治疗病态肥胖症患者的肝脏疾病模式及严重程度,对23例患者进行了活检,所有患者的分流术均保持完整且已超过10年。对这些患者的活检组织进行了光镜和电镜检查。回顾了每位患者之前的活检标本,包括分流术前采集的标本。从6例接受胃成形术的肥胖患者中获取了类似的活检标本。未发现肝硬化证据,仅少数患者存在轻度或中度纤维化。分流术后脂肪变性往往持续存在,尽管程度较轻。胃成形术前采集的6份标本中有4份、空肠回肠分流术后采集的23份标本中有15份存在巨大线粒体和线粒体内丝状包涵体,在那些几乎没有或没有脂肪变性的标本中尤其多见。提示这些特征反映了病态肥胖患者以及空肠回肠分流术后多年对异常代谢环境适应的超微结构证据。其预后重要性尚不清楚。

https://cdn.ncbi.nlm.nih.gov/pmc/blobs/0c08/1141761/583decd85283/jclinpath00344-0037-a.jpg
https://cdn.ncbi.nlm.nih.gov/pmc/blobs/0c08/1141761/2b61aa2226dc/jclinpath00344-0035-a.jpg
https://cdn.ncbi.nlm.nih.gov/pmc/blobs/0c08/1141761/dfd0cecf16ef/jclinpath00344-0036-a.jpg
https://cdn.ncbi.nlm.nih.gov/pmc/blobs/0c08/1141761/c509d52eb452/jclinpath00344-0036-b.jpg
https://cdn.ncbi.nlm.nih.gov/pmc/blobs/0c08/1141761/583decd85283/jclinpath00344-0037-a.jpg
https://cdn.ncbi.nlm.nih.gov/pmc/blobs/0c08/1141761/2b61aa2226dc/jclinpath00344-0035-a.jpg
https://cdn.ncbi.nlm.nih.gov/pmc/blobs/0c08/1141761/dfd0cecf16ef/jclinpath00344-0036-a.jpg
https://cdn.ncbi.nlm.nih.gov/pmc/blobs/0c08/1141761/c509d52eb452/jclinpath00344-0036-b.jpg
https://cdn.ncbi.nlm.nih.gov/pmc/blobs/0c08/1141761/583decd85283/jclinpath00344-0037-a.jpg

相似文献

1
Use of histological examination to assess ultrastructure of liver in patients with long standing jejuno-ileal bypass for morbid obesity.使用组织学检查评估因病态肥胖接受长期空肠回肠旁路术患者的肝脏超微结构。
J Clin Pathol. 1988 Dec;41(12):1281-7. doi: 10.1136/jcp.41.12.1281.
2
Hepatic lesions of central pericellular fibrosis in morbid obesity, and after jejunoileal bypass.
Am J Clin Pathol. 1976 Oct;66(4):684-91. doi: 10.1093/ajcp/66.4.684.
3
Hepatic intramitochondrial filaments in morbidly obese patients undergoing intestinal bypass.
Gastroenterology. 1977 Dec;73(6):1353-61.
4
[Does jejunoileal bypass still have a place in the surgical treatment of morbid obesity?].
Ann Chir. 1990;44(5):362-7.
5
Liver transplantation for decompensated cirrhosis after jejunoileal bypass: a strategy for management.
Transplantation. 1998 Feb 27;65(4):570-2. doi: 10.1097/00007890-199802270-00019.
6
[Steatohepatitis and cirrhosis: first manifestation 23 years after jejunoileal bypass surgery].[脂肪性肝炎和肝硬化:空肠回肠旁路手术后23年首次出现]
Wien Klin Wochenschr. 2007;119(23-24):733-8. doi: 10.1007/s00508-007-0850-z.
7
[2 cases of death caused by hepatic insufficiency after jejuno-ileal bypass for obesity].[2例肥胖症空回肠旁路术后肝功能不全导致死亡]
Minerva Chir. 1979;34(15-16):1087-96.
8
Jejuno-ileal bypass for morbid obesity with 24 cm functioning ileum.
Acta Chir Scand. 1985;151(7):625-8.
9
Evaluation of magnesium before and after jejuno-ileal versus gastric bypass surgery for morbid obesity.
J Am Coll Nutr. 1987 Oct;6(5):397-400. doi: 10.1080/07315724.1987.10720204.
10
Late effects of jejunoileal bypass operations on hepatic inflammation, fibrosis and lipid content.
Hepatogastroenterology. 1985 Aug;32(4):159-62.

引用本文的文献

1
[Steatohepatitis and cirrhosis: first manifestation 23 years after jejunoileal bypass surgery].[脂肪性肝炎和肝硬化:空肠回肠旁路手术后23年首次出现]
Wien Klin Wochenschr. 2007;119(23-24):733-8. doi: 10.1007/s00508-007-0850-z.

本文引用的文献

1
CRYSTALLINE STRUCTURES IN THE MITOCHONDRIA OF NORMAL HUMAN LIVER PARENCHYMAL CELLS.正常人肝脏实质细胞线粒体中的晶体结构
J Cell Biol. 1965 Mar;24(3):511-4. doi: 10.1083/jcb.24.3.511.
2
Late hepatic histopathology after jejunoileal bypass for morbid obesity. Relation of abnormalities on biopsy and clinical course.
Am J Surg. 1981 Jan;141(1):159-63. doi: 10.1016/0002-9610(81)90030-1.
3
The role of fat-storing cells in Disse space fibrogenesis in alcoholic liver disease.贮脂细胞在酒精性肝病窦周间隙纤维化形成中的作用。
Hepatology. 1983 Jul-Aug;3(4):559-66. doi: 10.1002/hep.1840030414.
4
The changing shape of obesity surgery.
Practitioner. 1983 Apr;227(1378):650-7.
5
Jejunoileal bypass for morbid obesity. Late follow-up in 100 cases.空肠回肠旁路术治疗病态肥胖症。100例患者的长期随访。
N Engl J Med. 1983 Apr 28;308(17):995-9. doi: 10.1056/NEJM198304283081703.
6
Histogenesis of alcoholic fibrosis and cirrhosis in the baboon.狒狒酒精性肝纤维化和肝硬化的组织发生
Am J Pathol. 1980 Mar;98(3):695-716.
7
Jejuno-ileal bypass: clinical and experimental aspects.空肠回肠旁路术:临床与实验方面
Scand J Gastroenterol Suppl. 1982;74:129-47.
8
Giant mitochondria in the alcoholic liver diseases--their identification, frequency and pathologic significance.酒精性肝病中的巨大线粒体——其识别、发生率及病理意义
Liver. 1984 Feb;4(1):29-38. doi: 10.1111/j.1600-0676.1984.tb00904.x.
9
Evolution of liver disease in morbid obesity after small-intestinal bypass and its restoration. A case report.
Arch Pathol Lab Med. 1983 Apr;107(4):195-8.
10
The decline and fall of the jejunoileal bypass.空肠回肠旁路术的衰落与废弃
Surg Gynecol Obstet. 1983 Oct;157(4):301-8.