Djaharuddin Irawaty, Hatta Mochammad, Tabri Nur Ahmad, Muis Eliana, Safriadi Safriadi, Primaguna Muhammad Reza
Department of Pulmonology and Respiratory Medicine, Faculty of Medicine, Universitas Hasanuddin, Makassar, Indonesia.
Molecular Biology and Immunology Laboratory for Infectious Diseases, Faculty of Medicine, Hasanuddin University, Makassar, Indonesia.
Respir Med Case Rep. 2019 Oct 14;29:100942. doi: 10.1016/j.rmcr.2019.100942. eCollection 2020.
Intestinal tuberculosis (ITB) is a fraction of extrapulmonary TB, and its diagnosis often pose a significant challenge due to nonspecific presentation. Several methods have been utilized to diagnosed ITB, including findings of specific inflammatory process on histopathological examination. We hereby report three cases of ITB that manifested as caecal and adnexal mass.
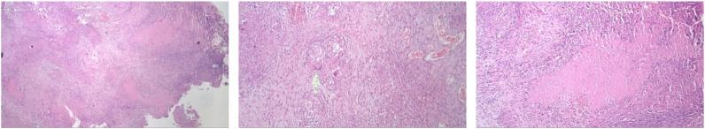
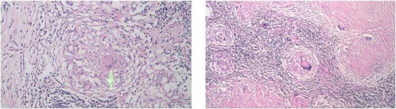
First case, a 22-year-old male, presenting with abdominal pain, underwent exploratory laparotomy, biopsy, right hemicolectomy, and anastomosis end-to-side to the transverse ileocolical region due to partial ileus obstruction from caecal tumor. The second and third cases, a 27-year-old and 39-year-old females, both presenting with abdominal pain and distension, underwent exploratory laparotomy, adhesiolysis and biopsy. Histopathological examination in all three cases showed chronic granulomatous inflammation caused by TB. All three patients were diagnosed as ITB and received 6 months of anti-tuberculosis drug (ATD).
Intestinal TB most commonly affected region is the ileocaecal, accounts for 64% of the incidence of gastrointestinal TB. The main reasons for the predilection of ileocaecal region are due to relatively longer faecal static, the abundant of lymphoid tissue, a neutral pH environment and absorptive transport mechanisms that allow swallowed mycobacterium to be absorbed. Intestinal TB may pose similar symptoms as those found in pulmonary TB, yet patients most commonly presenting with abdominal pain. Bacteriological signs and histopathological findings are gold standard for ITB diagnosis. Therapy for ITB includes pharmacological ATD and surgical therapy.
肠结核(ITB)是肺外结核的一部分,由于其临床表现不具有特异性,其诊断常常面临重大挑战。已采用多种方法诊断肠结核,包括组织病理学检查中发现特定的炎症过程。我们在此报告三例表现为盲肠和附件肿块的肠结核病例。
第一例,一名22岁男性,因盲肠肿瘤导致部分肠梗阻伴腹痛,接受了剖腹探查术、活检、右半结肠切除术,并在回肠横结肠区域进行了端侧吻合术。第二例和第三例,分别为一名27岁和39岁女性,均因腹痛和腹胀接受了剖腹探查术、粘连松解术和活检。所有三例的组织病理学检查均显示由结核引起的慢性肉芽肿性炎症。所有三名患者均被诊断为肠结核,并接受了6个月的抗结核药物治疗。
肠结核最常累及的部位是回盲部,占胃肠道结核发病率的64%。回盲部易受累的主要原因是粪便停留时间相对较长、淋巴组织丰富、pH值呈中性以及存在允许吞咽的分枝杆菌被吸收的吸收转运机制。肠结核可能出现与肺结核相似的症状,但患者最常见的表现是腹痛。细菌学体征和组织病理学发现是肠结核诊断的金标准。肠结核的治疗包括药物抗结核治疗和手术治疗。