Suppr超能文献

携带有 EGFR 突变和 PD-L1 高表达的转移性鳞状细胞肺癌的一线免疫检查点治疗:一例报告。

First-line immune checkpoint therapy in metastatic squamous cell lung cancer harboring both EGFR mutation and high expression of PD-L1: A case report.

机构信息

Department of Respiratory Medicine, Hiroshima Prefectural Hospital, Hiroshima, Japan.

Department of Internal and Molecular Medicine, Hiroshima University, Hiroshima, Japan.

出版信息

Thorac Cancer. 2020 Jun;11(6):1716-1719. doi: 10.1111/1759-7714.13436. Epub 2020 Apr 14.

Abstract

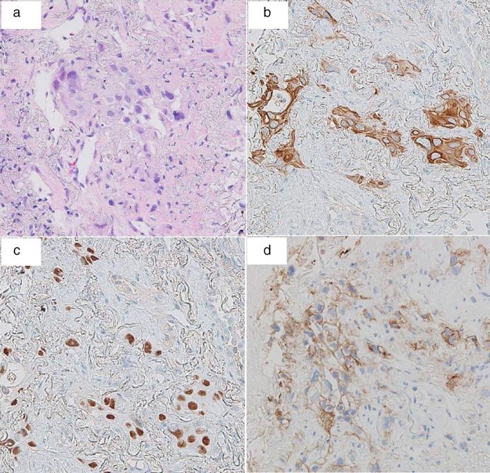
A 90-year-old female was admitted to our hospital with a history of a dry cough. Chest computed tomography (CT) scan showed a tumor shadow, and CT-guided lung biopsy revealed squamous cell carcinoma harboring an EGFR mutation. In addition, programmed death-ligand 1 (PD-L1) was highly expressed with a tumor proportion score (TPS) of >75%. Pembrolizumab therapy in the first-line setting was not effective, and the patient died at six months from the first visit. Squamous cell lung cancers (SCLCs) with both EGFR mutation and high expression of PD-L1 are very rare.

摘要

一位 90 岁女性因干咳就诊于我院。胸部 CT 扫描显示有肿瘤阴影,CT 引导下肺活检显示 EGFR 突变阳性的鳞状细胞癌。此外,程序性死亡配体 1(PD-L1)高表达,肿瘤比例评分(TPS)>75%。一线使用派姆单抗治疗无效,患者自首次就诊后 6 个月死亡。同时存在 EGFR 突变和 PD-L1 高表达的鳞状细胞肺癌(SCLC)非常罕见。

https://cdn.ncbi.nlm.nih.gov/pmc/blobs/249e/7262880/165c6606fd14/TCA-11-1716-g001.jpg

文献AI研究员

20分钟写一篇综述,助力文献阅读效率提升50倍。

立即体验

用中文搜PubMed

大模型驱动的PubMed中文搜索引擎

马上搜索

文档翻译

学术文献翻译模型,支持多种主流文档格式。

立即体验