Suppr超能文献

剖宫产术后3年阴道假性动脉瘤的发生可能由抗凝和抗血小板治疗诱发

Development of Vaginal Pseudoaneurysm 3 Years after Cesarean Section Possibly Induced by Anticoagulant and Antiplatelet Therapies.

作者信息

Kinjo Yui, Kinjo Tadatsugu, Mekaru Keiko, Nitta Hayase, Masamoto Hitoshi, Aoki Yoichi

机构信息

Department of Obstetrics and Gynecology, Graduate School of Medicine, University of the Ryukyus, 207 Uehara Nishihara, Okinawa 903-0215, Japan.

出版信息

Case Rep Obstet Gynecol. 2020 Mar 24;2020:6196575. doi: 10.1155/2020/6196575. eCollection 2020.

Abstract

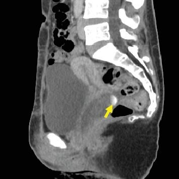
Pseudoaneurysms generally develop when an arterial puncture site is inadequately sealed. We encountered a case of vaginal pseudoaneurysm that developed 3 years after cesarean section in a 35-year-old gravida 7 para 4 woman who was prescribed with anticoagulant and antiplatelet drugs after surgeries for ventricular septal defect and aortic valve replacement. Pelvic computed tomography scan revealed a large mass, which showed a dappled contrast filling on the arterial phase, located in the posterior vaginal wall. The vaginal pseudoaneurysm was completely occluded by embolization of the left vaginal artery. Anticoagulation and antiplatelet therapies can be potential causes of spontaneous pseudoaneurysm rupture. Extrauterine pseudoaneurysm has a long period of time between cesarean section and pseudoaneurysm discovery. Considering that pseudoaneurysm shows different clinical features for each patient, we should always consider pseudoaneurysm when we assess a patient with postpartum hemorrhage.

摘要

假性动脉瘤通常在动脉穿刺部位封堵不充分时形成。我们遇到一例阴道假性动脉瘤病例,发生在一名35岁、孕7产4的女性剖宫产术后3年,该女性在室间隔缺损和主动脉瓣置换手术后服用了抗凝和抗血小板药物。盆腔计算机断层扫描显示一个大肿块,在动脉期呈斑点状造影剂充盈,位于阴道后壁。通过栓塞左阴道动脉,阴道假性动脉瘤完全闭塞。抗凝和抗血小板治疗可能是自发性假性动脉瘤破裂的潜在原因。剖宫产与宫外假性动脉瘤发现之间有很长一段时间。鉴于假性动脉瘤在每个患者中表现出不同的临床特征,在评估产后出血患者时,我们应始终考虑假性动脉瘤。

https://cdn.ncbi.nlm.nih.gov/pmc/blobs/dbd2/7128040/93c1dff63d2b/CRIOG2020-6196575.001.jpg

相似文献

1
Development of Vaginal Pseudoaneurysm 3 Years after Cesarean Section Possibly Induced by Anticoagulant and Antiplatelet Therapies.
Case Rep Obstet Gynecol. 2020 Mar 24;2020:6196575. doi: 10.1155/2020/6196575. eCollection 2020.
2
Delayed postpartum hemoperitoneum due to uterine artery pseudoaneurysm rupture.
Obstet Gynecol Sci. 2017 May;60(3):303-307. doi: 10.5468/ogs.2017.60.3.303. Epub 2017 May 15.
3
Post-cesarean section pseudoaneurysm of uterine artery: A case report.
Int J Surg Case Rep. 2024 Jun;119:109697. doi: 10.1016/j.ijscr.2024.109697. Epub 2024 Apr 26.
4
Uterine artery pseudoaneurysm following cesarean section; a case report.
Radiol Case Rep. 2020 Mar 26;15(5):633-636. doi: 10.1016/j.radcr.2020.02.032. eCollection 2020 May.
5
Delayed postpartum hemorrhage resulting from uterine artery pseudoaneurysm rupture.
J Emerg Med. 2012 Jan;42(1):e11-4. doi: 10.1016/j.jemermed.2011.03.005. Epub 2011 Apr 16.
6
Uterine artery pseudoaneurysm presenting with subcutaneous hematoma and vaginal bleeding following cesarean delivery.
AJOG Glob Rep. 2024 Jul 27;4(3):100382. doi: 10.1016/j.xagr.2024.100382. eCollection 2024 Aug.
8
Recurrent Postpartum Hemorrhage: A Case of Uterine Artery Pseudoaneurysm Probably Induced by Anticoagulants.
Gynecol Minim Invasive Ther. 2023 Dec 11;13(1):53-55. doi: 10.4103/gmit.gmit_78_23. eCollection 2024 Jan-Mar.
9
The successful detection of postpartum unruptured vaginal pseudoaneurysm using ultrasonography: a case report.
Springerplus. 2014 Aug 28;3:482. doi: 10.1186/2193-1801-3-482. eCollection 2014.
10
Massive secondary postpartum hemorrhage with uterine artery pseudoaneurysm after cesarean section.
Case Rep Obstet Gynecol. 2013;2013:285846. doi: 10.1155/2013/285846. Epub 2013 Apr 4.

引用本文的文献

1
Vaginal artery pseudoaneurysm after a hysterectomy: A case report and review of the literature.
Clin Case Rep. 2024 Jun 27;12(7):e9006. doi: 10.1002/ccr3.9006. eCollection 2024 Jul.
2
Recurrent Postpartum Hemorrhage: A Case of Uterine Artery Pseudoaneurysm Probably Induced by Anticoagulants.
Gynecol Minim Invasive Ther. 2023 Dec 11;13(1):53-55. doi: 10.4103/gmit.gmit_78_23. eCollection 2024 Jan-Mar.

本文引用的文献

1
Rupture of pseudoaneurysm of the superficial femoral artery over four years after self-expandable nitinol stent implantation.
J Cardiol Cases. 2015 May 18;12(2):52-56. doi: 10.1016/j.jccase.2015.04.007. eCollection 2015 Aug.
2
3
Uterine artery pseudoaneurysm bleeding one decade after caesarean section: A case report.
J Obstet Gynaecol Res. 2017 May;43(5):939-942. doi: 10.1111/jog.13301. Epub 2017 Apr 24.
4
Uterine artery pseudoaneurysm: its occurrence after non-traumatic events, and possibility of "without embolization" strategy.
Eur J Obstet Gynecol Reprod Biol. 2016 Oct;205:72-8. doi: 10.1016/j.ejogrb.2016.08.005. Epub 2016 Aug 10.
5
Postpartum hemorrhage resulting from pelvic pseudoaneurysm: a retrospective analysis of 588 consecutive cases treated by arterial embolization.
Cardiovasc Intervent Radiol. 2013 Oct;36(5):1247-55. doi: 10.1007/s00270-013-0668-1. Epub 2013 Jun 12.
7
Secondary postpartum hemorrhage due to uterine artery pseudoaneurysm rupture in von Willebrand disease.
J Obstet Gynaecol Res. 2011 Dec;37(12):1887-90. doi: 10.1111/j.1447-0756.2011.01674.x. Epub 2011 Oct 14.
8
Uterine artery pseudoaneurysm after cesarean section: case report and literature review.
J Minim Invasive Gynecol. 2010 Nov-Dec;17(6):687-91. doi: 10.1016/j.jmig.2010.06.004. Epub 2010 Jul 24.
9
Asymptomatic uterine artery pseudoaneurysm after cesarean section.
J Obstet Gynaecol Res. 2010 Apr;36(2):405-10. doi: 10.1111/j.1447-0756.2009.01134.x.
10
Post-traumatic pelvic pseudoaneurysm and arterio-venous fistula: combined endovascular and surgical approach.
Eur J Vasc Endovasc Surg. 2008 Aug;36(2):164-166. doi: 10.1016/j.ejvs.2008.03.011. Epub 2008 Jun 3.

文献AI研究员

20分钟写一篇综述,助力文献阅读效率提升50倍。

立即体验

用中文搜PubMed

大模型驱动的PubMed中文搜索引擎

马上搜索

文档翻译

学术文献翻译模型,支持多种主流文档格式。

立即体验