Wilson Abralena, Hanandeh Adel, Shamia Ahmed A, Louie Kevin, Donaldson Brian
Surgery, Columbia University College of Physicians and Surgeons at Harlem Hospital Center, New York, USA.
General Surgery, Columbia University College of Physicians and Surgeons at Harlem Hospital Center, New York, USA.
Cureus. 2020 Mar 29;12(3):e7455. doi: 10.7759/cureus.7455.
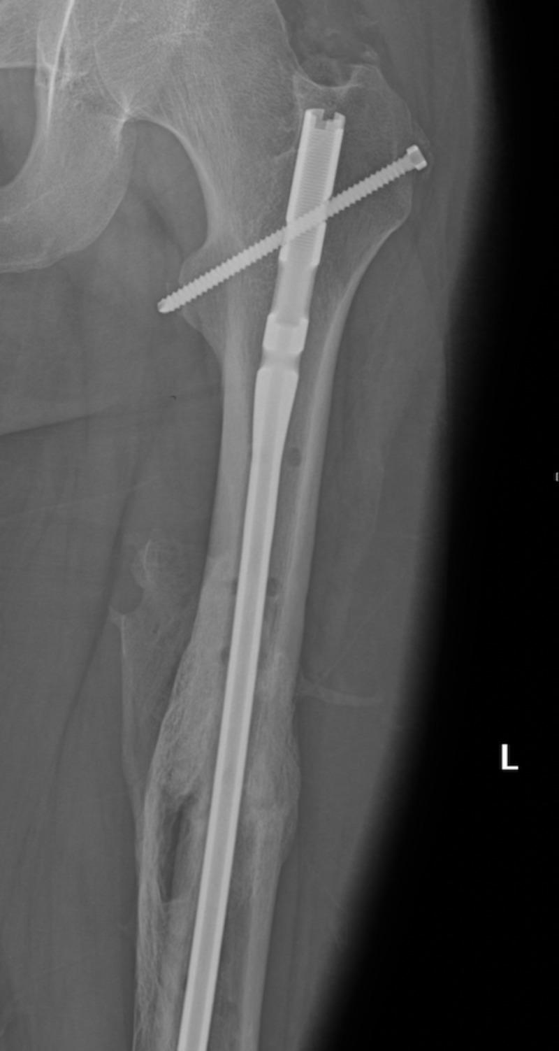
Fat embolism syndrome (FES) is a rare event following a traumatic injury, and its pathophysiologic mechanism continues to be elusive. Fat embolism syndrome generally occurs when a bone marrow fat enters the bloodstream resulting in a cascade of inflammatory response, hyper-coagulation, and an array of symptoms that generally begin within 24-48 hours. FES early symptoms include petechial rash, shortness of breath, altered mental status, seizures, fever, and may result in decreased urine output. The common etiologies of a fat embolism include long bone fractures, mainly femoral and pelvic fractures. There are multiple management methods described in the literature to help prevent FES and other long bone fracture complications from occurring. Although not universally adopted, the damage control orthopedics (DCO) has been the major management option for patients with a long bone fracture. DCO is entertained by provisional immobilization of patients with long bone fractures and those who are considered severely traumatized patients (STP). Thus, immobilization can help minimize the traumatic effect and the subsequent second hit by performing non-life saving surgical procedures. In this case, a patient with a transverse femur fracture suffered disconcerting symptoms of fat embolism prior to definitive femur repair. Hence, damage control orthopedics was entertained with a postponement of his femur repair to facilitate stabilization. The use of damage control orthopedics was successful in this patient with no long term complications.
脂肪栓塞综合征(FES)是创伤性损伤后罕见的事件,其病理生理机制仍不清楚。脂肪栓塞综合征通常在骨髓脂肪进入血流时发生,导致一系列炎症反应、高凝状态以及一系列通常在24至48小时内开始出现的症状。FES的早期症状包括瘀点皮疹、呼吸急促、精神状态改变、癫痫发作、发热,并可能导致尿量减少。脂肪栓塞的常见病因包括长骨骨折,主要是股骨和骨盆骨折。文献中描述了多种管理方法,以帮助预防FES和其他长骨骨折并发症的发生。尽管并非普遍采用,但损伤控制骨科(DCO)一直是长骨骨折患者的主要管理选择。DCO适用于长骨骨折患者以及那些被认为是严重创伤患者(STP)的临时固定。因此,固定可以通过进行非挽救生命的外科手术来帮助最小化创伤影响和随后的二次打击。在这种情况下,一名股骨横断骨折患者在进行确定性股骨修复之前出现了令人不安的脂肪栓塞症状。因此,考虑采用损伤控制骨科,推迟他的股骨修复以促进稳定。损伤控制骨科在该患者中的使用取得了成功,没有长期并发症。