Suppr超能文献

一例具有非典型影像学表现的原发性恶性心包间皮瘤病例报告:多模态影像学与组织病理学相关性分析

A case report of malignant primary pericardial mesothelioma with atypical imaging appearance: multimodality imaging with histopathological correlation.

作者信息

Banišauskaitė Audra, Jankauskas Antanas, Šarauskas Valdas, Aržanauskaitė Monika

机构信息

Department of Radiology, Lithuanian University of Health Sciences, Eivenių str. 2, Kaunas 50161, Lithuania.

Department of Pathology, Lithuanian University of Health Sciences, Eivenių str. 2, Kaunas 50161, Lithuania.

出版信息

Eur Heart J Case Rep. 2020 Feb 27;4(2):1-5. doi: 10.1093/ehjcr/ytaa034. eCollection 2020 Apr.

Abstract

BACKGROUND

Primary pericardial mesothelioma is a rare primary cardiac malignancy, with three main histopathological types, sarcomatoid histotype being the rarest. The imaging features were atypical due to concomitant extensive calcification, which resulted in aggravated differential diagnosis.

CASE SUMMARY

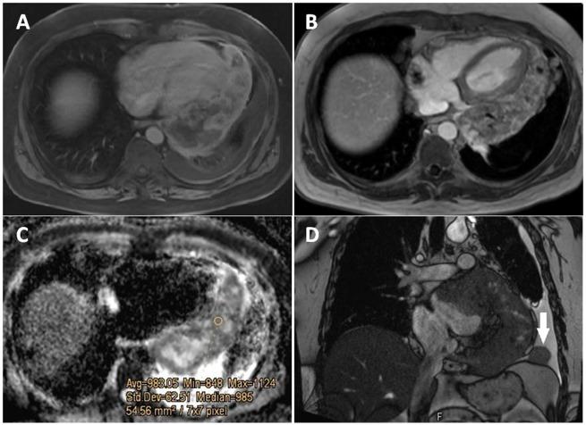
A 45-year-old man presented to our hospital with non-specific clinical symptoms. According to clinical history, a mediastinal tumour had been suspected with a previous unsuccessful attempt of transthoracic computed tomography-guided biopsy at an overseas hospital with limited data of performed imaging procedures. Multimodality imaging at our centre revealed extensively calcified solid masses in the pericardium, invading the left atrium. As the imaging features suggested an atypical primary pericardial malignancy, a diagnostic thoracoscopy was performed. Histopathological analysis of specimen revealed sarcomatoid type of pericardial mesothelioma with areas of necrosis and foci of osteogenic differentiation. Despite planned treatment, 2 weeks after histological diagnosis, the patient passed away due to perforated peptic ulcer-related sepsis.

DISCUSSION

The presence of extensive calcification in the lesion resulted in a challenging imaging workup and diagnosis. Initial differential diagnosis included primary or metastatic calcification-prone tumour, secondary calcification due to haemorrhage after previous interventional procedure and other pathologies, such as tuberculous pericarditis, calcified amorphous tumour, among others. Calcification may be part of the histological tumour characteristics; however, proper history taking is crucial as concomitant diseases, previous treatment, and interventional procedures may alter the imaging pattern.

摘要

背景

原发性心包间皮瘤是一种罕见的原发性心脏恶性肿瘤,主要有三种组织病理学类型,其中肉瘤样组织学类型最为罕见。由于伴有广泛钙化,其影像学特征不典型,导致鉴别诊断难度加大。

病例摘要

一名45岁男性因非特异性临床症状就诊于我院。根据临床病史,曾怀疑有纵隔肿瘤,此前在一家海外医院经胸计算机断层扫描引导下活检未成功,所行影像学检查数据有限。我院中心的多模态成像显示心包内有广泛钙化的实性肿块,侵犯左心房。由于影像学特征提示为非典型原发性心包恶性肿瘤,遂进行了诊断性胸腔镜检查。标本的组织病理学分析显示为肉瘤样型心包间皮瘤,伴有坏死区域和成骨分化灶。尽管进行了计划中的治疗,但在组织学诊断后2周,患者因消化性溃疡穿孔相关败血症死亡。

讨论

病变中广泛钙化的存在给影像学检查和诊断带来了挑战。最初的鉴别诊断包括原发性或转移性易钙化肿瘤、先前介入操作后出血导致的继发性钙化以及其他病理情况,如结核性心包炎、钙化性无定形肿瘤等。钙化可能是肿瘤组织学特征的一部分;然而,详细的病史采集至关重要,因为伴随疾病、先前治疗和介入操作可能会改变影像学表现。

https://cdn.ncbi.nlm.nih.gov/pmc/blobs/3cee/7180536/6a6cf43e5e7d/ytaa034f1.jpg

相似文献

2
Primary pericardial mesothelioma complicated by pericardial calcification.
BMC Cardiovasc Disord. 2023 Mar 8;23(1):125. doi: 10.1186/s12872-023-03142-w.
3
Primary cardiac mesothelioma presenting with fulminant recurrent pericarditis: a case report.
Eur Heart J Case Rep. 2023 Feb 24;7(3):ytad100. doi: 10.1093/ehjcr/ytad100. eCollection 2023 Mar.
4
Malignant primary pericardial mesothelioma presenting as effusive constrictive pericarditis: a case report study.
J Cardiothorac Surg. 2021 Oct 13;16(1):298. doi: 10.1186/s13019-021-01684-8.
5
Primary malignant sarcomatoid mesothelioma in the pericardium.
Intern Med. 2013;52(2):249-53. doi: 10.2169/internalmedicine.52.8853. Epub 2013 Jan 15.
6
A Rare Case of Primary Malignant Pericardial Mesothelioma Diagnosed with Pericardiotomy.
Heart Surg Forum. 2022 Dec 19;25(6):E840-E842. doi: 10.1532/hsf.5047.
9
Cardiac tamponade due to primary malignant pericardial mesothelioma diagnosed with surgical pericardial resection.
J Cardiol Cases. 2021 Apr 8;24(4):149-152. doi: 10.1016/j.jccase.2021.03.002. eCollection 2021 Oct.
10
Multiple pericardial hematomas: a case report and mini-review in multimodality imaging.
BMC Med Imaging. 2021 May 18;21(1):85. doi: 10.1186/s12880-021-00617-0.

引用本文的文献

1
Primary malignant pericardial mesothelioma presenting as constrictive pericarditis with an atypical imaging appearance: a case description.
Quant Imaging Med Surg. 2023 Mar 1;13(3):2013-2020. doi: 10.21037/qims-22-556. Epub 2023 Feb 9.
2
Primary pericardial mesothelioma complicated by pericardial calcification.
BMC Cardiovasc Disord. 2023 Mar 8;23(1):125. doi: 10.1186/s12872-023-03142-w.

本文引用的文献

2
Cardiac masses and tumours.
Heart. 2016 Aug 1;102(15):1230-45. doi: 10.1136/heartjnl-2014-306364. Epub 2016 Jun 8.
3
Primary pericardial tumors.
Radiographics. 2013 Oct;33(6):1613-30. doi: 10.1148/rg.336135512.
4
Primary pericardial mesothelioma: a rare entity.
Case Rep Oncol Med. 2013;2013:283601. doi: 10.1155/2013/283601. Epub 2013 Jun 13.
6
Pericardial disease--anatomy and function.
Br J Radiol. 2011 Dec;84 Spec No 3(Spec Iss 3):S324-37. doi: 10.1259/bjr/16168253.
7
Comprehensive characterization of constrictive pericarditis using multiparametric CMR.
JACC Cardiovasc Imaging. 2011 Aug;4(8):917-20. doi: 10.1016/j.jcmg.2011.01.023.

文献AI研究员

20分钟写一篇综述,助力文献阅读效率提升50倍。

立即体验

用中文搜PubMed

大模型驱动的PubMed中文搜索引擎

马上搜索

文档翻译

学术文献翻译模型,支持多种主流文档格式。

立即体验