• 文献检索
  • 文档翻译
  • 深度研究
  • 学术资讯
  • Suppr Zotero 插件Zotero 插件
  • 邀请有礼
  • 套餐&价格
  • 历史记录
应用&插件
Suppr Zotero 插件Zotero 插件浏览器插件Mac 客户端Windows 客户端微信小程序
定价
高级版会员购买积分包购买API积分包
服务
文献检索文档翻译深度研究API 文档MCP 服务
关于我们
关于 Suppr公司介绍联系我们用户协议隐私条款
关注我们

Suppr 超能文献

核心技术专利:CN118964589B侵权必究
粤ICP备2023148730 号-1Suppr @ 2026

文献检索

告别复杂PubMed语法,用中文像聊天一样搜索,搜遍4000万医学文献。AI智能推荐,让科研检索更轻松。

立即免费搜索

文件翻译

保留排版,准确专业,支持PDF/Word/PPT等文件格式,支持 12+语言互译。

免费翻译文档

深度研究

AI帮你快速写综述,25分钟生成高质量综述,智能提取关键信息,辅助科研写作。

立即免费体验

剖胸术后综合征的麻醉处理方法。

Anesthetic Approach to Postpneumonectomy Syndrome.

机构信息

University of North Carolina Hospitals, Chapel Hill, NC, USA.

出版信息

Semin Cardiothorac Vasc Anesth. 2020 Sep;24(3):205-210. doi: 10.1177/1089253220919289. Epub 2020 May 11.

DOI:10.1177/1089253220919289
PMID:32389098
原文链接:https://pmc.ncbi.nlm.nih.gov/articles/PMC7745610/
Abstract

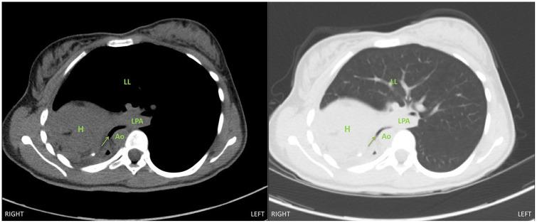
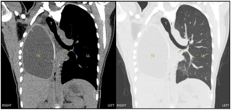
Postpneumonectomy syndrome is a rare complication in patients who have previously had a pneumonectomy. Over time, the mediastinum may rotate toward the vacant pleural space, which can cause extrinsic airway and esophageal compression. As such, these patients typically present with progressive dyspnea and dysphagia. There is a paucity of reports in the anesthesiology literature regarding the intraoperative anesthetic approach to such rare patients. We present a case of an 18-year-old female found to have postpneumonectomy syndrome requiring thoracotomy with insertion of tissue expanders. Our case report illustrates the complexities involved in the care of these patients with regards to airway management, ventilation concerns, and potential for hemodynamic compromise. This case report underscores the importance of extensive multidisciplinary planning.

摘要

肺切除术后综合征是既往行肺切除术患者的一种罕见并发症。随着时间的推移,纵隔可能向空的胸膜腔旋转,这可能导致气道和食管受压。因此,这些患者通常表现为进行性呼吸困难和吞咽困难。麻醉学文献中关于此类罕见患者的术中麻醉方法的报道很少。我们报告了一例 18 岁女性患者,发现患有肺切除术后综合征,需要行开胸手术并插入组织扩张器。我们的病例报告说明了在气道管理、通气问题以及潜在的血液动力学受损方面,对这些患者进行护理所涉及的复杂性。本病例报告强调了广泛的多学科规划的重要性。

https://cdn.ncbi.nlm.nih.gov/pmc/blobs/4124/7745610/dad5f3961012/10.1177_1089253220919289-fig6.jpg
https://cdn.ncbi.nlm.nih.gov/pmc/blobs/4124/7745610/7ac5bd957243/10.1177_1089253220919289-fig1.jpg
https://cdn.ncbi.nlm.nih.gov/pmc/blobs/4124/7745610/dbe0ee00db42/10.1177_1089253220919289-fig2.jpg
https://cdn.ncbi.nlm.nih.gov/pmc/blobs/4124/7745610/250179c5091b/10.1177_1089253220919289-fig3.jpg
https://cdn.ncbi.nlm.nih.gov/pmc/blobs/4124/7745610/06853eda62ce/10.1177_1089253220919289-fig4.jpg
https://cdn.ncbi.nlm.nih.gov/pmc/blobs/4124/7745610/5dad9e67fceb/10.1177_1089253220919289-fig5.jpg
https://cdn.ncbi.nlm.nih.gov/pmc/blobs/4124/7745610/dad5f3961012/10.1177_1089253220919289-fig6.jpg
https://cdn.ncbi.nlm.nih.gov/pmc/blobs/4124/7745610/7ac5bd957243/10.1177_1089253220919289-fig1.jpg
https://cdn.ncbi.nlm.nih.gov/pmc/blobs/4124/7745610/dbe0ee00db42/10.1177_1089253220919289-fig2.jpg
https://cdn.ncbi.nlm.nih.gov/pmc/blobs/4124/7745610/250179c5091b/10.1177_1089253220919289-fig3.jpg
https://cdn.ncbi.nlm.nih.gov/pmc/blobs/4124/7745610/06853eda62ce/10.1177_1089253220919289-fig4.jpg
https://cdn.ncbi.nlm.nih.gov/pmc/blobs/4124/7745610/5dad9e67fceb/10.1177_1089253220919289-fig5.jpg
https://cdn.ncbi.nlm.nih.gov/pmc/blobs/4124/7745610/dad5f3961012/10.1177_1089253220919289-fig6.jpg

相似文献

1
Anesthetic Approach to Postpneumonectomy Syndrome.剖胸术后综合征的麻醉处理方法。
Semin Cardiothorac Vasc Anesth. 2020 Sep;24(3):205-210. doi: 10.1177/1089253220919289. Epub 2020 May 11.
2
Postpneumonectomy syndrome: surgical management and long-term results.肺切除术后综合征:手术治疗及长期效果
J Thorac Cardiovasc Surg. 2008 Jun;135(6):1210-6; discussion 1216-9. doi: 10.1016/j.jtcvs.2007.11.022.
3
Postpneumonectomy syndrome after left pneumonectomy.左肺切除术后的肺切除术后综合征
Ann Thorac Surg. 2001 Feb;71(2):701-3. doi: 10.1016/s0003-4975(00)01664-7.
4
[Surgical repair of postpneumonectomy syndrome with vascular compromise].[伴有血管受压的肺切除术后综合征的外科修复]
Arch Bronconeumol. 2002 Jan;38(1):51-4. doi: 10.1016/s0300-2896(02)75147-8.
5
Postpneumonectomy syndrome: another twist.肺切除术后综合征:又一转折。
J Thorac Imaging. 1997 Jul;12(3):209-11. doi: 10.1097/00005382-199707000-00007.
6
Intrathoracic saline-filled prosthesis to treat postpneumonectomy syndrome.胸腔内填充生理盐水的假体治疗肺切除术后综合征。
Asian Cardiovasc Thorac Ann. 2015 Jan;23(1):78-81. doi: 10.1177/0218492313516115. Epub 2013 Dec 6.
7
Perioperative considerations for postpneumonectomy syndrome: A case report.肺切除术后综合征的围手术期注意事项:病例报告
SAGE Open Med Case Rep. 2023 Jul 21;11:2050313X231183865. doi: 10.1177/2050313X231183865. eCollection 2023.
8
Postpneumonectomy syndrome and pre-existing thoracic scoliosis.肺切除术后综合征与既往存在的胸椎侧弯。
Eur J Cardiothorac Surg. 2002 Jan;21(1):143-5. doi: 10.1016/s1010-7940(01)01030-2.
9
Correction of postpneumonectomy syndrome after bronchopleural fistula.支气管胸膜瘘后肺切除术后综合征的矫正。
J Cardiothorac Surg. 2019 Apr 8;14(1):67. doi: 10.1186/s13019-019-0897-8.
10
Management of postpneumonectomy syndrome with a bronchoscopically placed endobronchial stent.经支气管镜放置支气管内支架治疗肺切除术后综合征
South Med J. 1994 Nov;87(11):1156-9. doi: 10.1097/00007611-199411000-00022.

引用本文的文献

1
Anaesthetic and perioperative considerations for extrapleural pneumonectomy and extended pleurectomy/decortication: a scoping review protocol.剖胸去顶术和广泛胸膜切除术/剥脱术的麻醉和围手术期注意事项:范围综述方案。
BMJ Open. 2024 May 16;14(5):e078125. doi: 10.1136/bmjopen-2023-078125.
2
Perioperative considerations for postpneumonectomy syndrome: A case report.肺切除术后综合征的围手术期注意事项:病例报告
SAGE Open Med Case Rep. 2023 Jul 21;11:2050313X231183865. doi: 10.1177/2050313X231183865. eCollection 2023.
3
An Uncommon Cause of Dysphagia: Postpneumonectomy Syndrome.

本文引用的文献

1
Ultrasound-guided preoperative single-dose erector spinae plane block provides comparable analgesia to thoracic paravertebral block following thoracotomy: a single center randomized controlled double-blind study.超声引导下术前单剂量竖脊肌平面阻滞与开胸术后胸椎旁神经阻滞镇痛效果相当:一项单中心随机对照双盲研究。
Ann Transl Med. 2019 Apr;7(8):174. doi: 10.21037/atm.2019.03.53.
2
Protective ventilation during anaesthesia reduces major postoperative complications after lung cancer surgery: A double-blind randomised controlled trial.麻醉期间的保护性通气可降低肺癌手术后的主要术后并发症:一项双盲随机对照试验。
Eur J Anaesthesiol. 2018 Oct;35(10):727-735. doi: 10.1097/EJA.0000000000000804.
3
吞咽困难的罕见病因:肺切除术后综合征。
Case Rep Otolaryngol. 2021 Mar 8;2021:6658690. doi: 10.1155/2021/6658690. eCollection 2021.
Management of post-pneumonectomy syndrome using tissue expanders.
应用组织扩张器治疗剖胸术后综合征。
Thorac Cancer. 2016 Jan;7(1):88-93. doi: 10.1111/1759-7714.12282. Epub 2015 Jun 5.
4
Postpneumonectomy syndrome: a case of shifting priorities.肺切除术后综合征:一个优先事项转移的病例。
Anesthesiology. 2014 Dec;121(6):1334. doi: 10.1097/01.anes.0000435638.00429.ac.
5
Thoracic epidural analgesia and acute pain management.胸段硬膜外镇痛与急性疼痛管理
Anesthesiology. 2011 Jul;115(1):181-8. doi: 10.1097/ALN.0b013e318220847c.
6
A prospective, multicentre, observational cohort study of analgesia and outcome after pneumonectomy.肺切除术术后镇痛效果和结局的前瞻性、多中心、观察性队列研究。
Br J Anaesth. 2011 Mar;106(3):364-70. doi: 10.1093/bja/aeq379. Epub 2011 Feb 2.
7
The postpneumonectomy syndrome: clinical presentation and treatment.肺切除术后综合征:临床表现与治疗
Eur J Cardiothorac Surg. 2009 Feb;35(2):319-24. doi: 10.1016/j.ejcts.2008.07.070. Epub 2008 Nov 21.
8
Postpneumonectomy syndrome: surgical management and long-term results.肺切除术后综合征:手术治疗及长期效果
J Thorac Cardiovasc Surg. 2008 Jun;135(6):1210-6; discussion 1216-9. doi: 10.1016/j.jtcvs.2007.11.022.
9
Airway stabilization with silicone stents for treating adult tracheobronchomalacia: a prospective observational study.使用硅胶支架稳定气道治疗成人气管支气管软化症:一项前瞻性观察研究。
Chest. 2007 Aug;132(2):609-16. doi: 10.1378/chest.06-2708.
10
Cardiac function and position more than 5 years after pneumonectomy.肺切除术后5年以上的心脏功能和位置
Ann Thorac Surg. 2007 Jun;83(6):1986-92. doi: 10.1016/j.athoracsur.2007.01.036.