Suppr超能文献

[后期:并非所有痴呆症都是阿尔茨海默病——基于一个病例实例对一种新疾病实体的讨论:边缘叶为主的年龄相关性TDP-43脑病(LATE)的现状]

[LATE: not every dementia is Alzheimer's disease-Discussion of a new disease entity based on a case example : Current status of limbic-predominant age-related TDP-43 encephalopathy (LATE)].

作者信息

Görß Doreen, Kilimann Ingo, Dyrba Martin, Nitsch Sascha, Krause Bernd, Teipel Stefan

机构信息

Sektion Gerontopsychosomatik und demenzielle Erkrankungen, Universitätsmedizin Rostock, Gehlsheimer Str. 20, 18147, Rostock, Deutschland.

Deutsches Zentrum für Neurodegenerative Erkrankungen (DZNE), Standort Rostock/Greifswald, Rostock, Deutschland.

出版信息

Nervenarzt. 2021 Jan;92(1):18-26. doi: 10.1007/s00115-020-00922-z.

Abstract

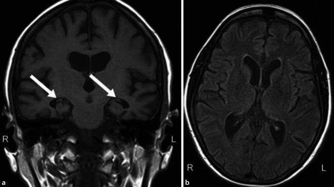
Limbic-predominant age-related TDP-43 (Transactivation response(TAR)-DNA-binding protein 43 kDa) encephalopathy (LATE) has recently been characterized as a distinct neuropathological entity within the spectrum of dementia. Neuropathological alterations in the sense of LATE were already previously described as a comorbidity to Alzheimer's disease (AD) and it has been diagnosed independently from AD pathology in autopsy studies since 2008. The framework of LATE would account for the pathogenetic impact of limbic TDP-43 proteinopathy as a driver of amnestic dementia, either together with comorbid typical AD changes or as a distinct feature. The LATE possibly explains divergent clinical observations and biomarker results in patients suffering from severe amnestic impairment without biomarker evidence of AD-related amyloid and tau alterations. Whether LATE represents a distinct neuropathological entity or is part of the spectrum of neurodegenerative diseases associated with TDP-43 is currently a matter of debate. Further studies on the role of TDP-43 in the development of amnestic dementia are urgently needed. Thus, the enrichment of an amnestic phenotype in amyloid-centered therapeutic drug studies bears the risk of higher rates of patients with TDP-43 comorbidity, which could hinder the proof of efficacy in such trials. This article presents the current state of the discussion on LATE and illustrates the concept and the clinical considerations with a case study.

摘要

边缘叶为主的年龄相关性TDP-43(反式激活应答(TAR)-DNA结合蛋白43 kDa)脑病(LATE)最近被确定为痴呆症谱系中的一种独特神经病理学实体。LATE意义上的神经病理学改变先前已被描述为阿尔茨海默病(AD)的一种合并症,自2008年以来在尸检研究中已独立于AD病理学进行诊断。LATE的框架将解释边缘叶TDP-43蛋白病作为遗忘性痴呆驱动因素的致病影响,无论是与典型的AD合并改变一起,还是作为一种独特特征。LATE可能解释了患有严重遗忘性损害但无AD相关淀粉样蛋白和tau改变生物标志物证据的患者的不同临床观察结果和生物标志物结果。LATE是一种独特的神经病理学实体还是与TDP-43相关的神经退行性疾病谱系的一部分,目前仍存在争议。迫切需要进一步研究TDP-43在遗忘性痴呆发展中的作用。因此,以淀粉样蛋白为中心的治疗药物研究中遗忘性表型的富集存在TDP-43合并症患者比例更高的风险,这可能会阻碍此类试验中疗效的证明。本文介绍了关于LATE的当前讨论状态,并通过一个案例研究说明了该概念和临床考虑因素。

https://cdn.ncbi.nlm.nih.gov/pmc/blobs/6f5a/7809002/79cca158d6bf/115_2020_922_Fig1_HTML.jpg

文献检索

告别复杂PubMed语法,用中文像聊天一样搜索,搜遍4000万医学文献。AI智能推荐,让科研检索更轻松。

立即免费搜索

文件翻译

保留排版,准确专业,支持PDF/Word/PPT等文件格式,支持 12+语言互译。

免费翻译文档

深度研究

AI帮你快速写综述,25分钟生成高质量综述,智能提取关键信息,辅助科研写作。

立即免费体验