Goel Sachin S, Zuck Vincent, Goldstein Jeffrey, Goswami Nilesh J
Structural Heart Interventions, Houston Methodist DeBakey Heart and Vascular Institute, Houston, Texas, USA.
Structural Heart Program, Prairie Heart Institute, St. John's Hospital, Springfield, Illinois, USA.
CJC Open. 2020 Feb 15;2(3):179-185. doi: 10.1016/j.cjco.2020.01.009. eCollection 2020 May.
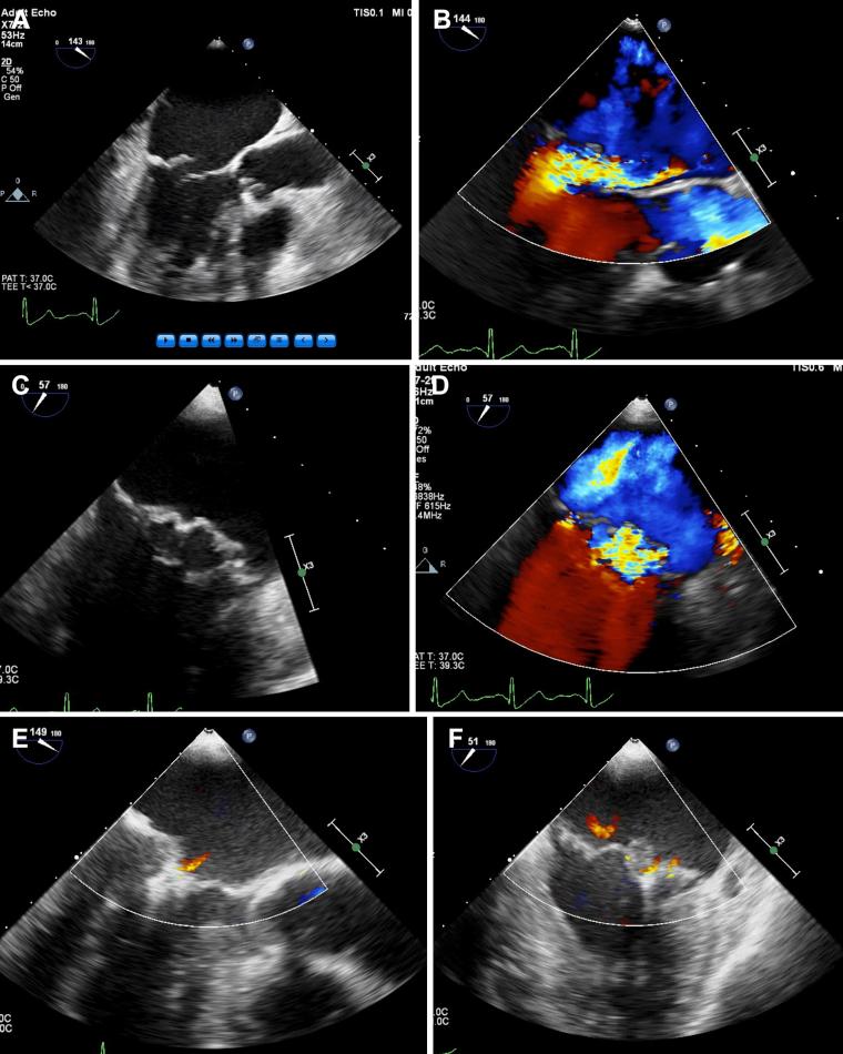
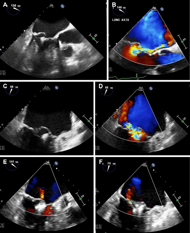
Transcatheter mitral valve repair using the MitraClip (Abbott Vascular, Santa Clara, CA) is a reasonable option for the treatment of patients with severe symptomatic degenerative mitral regurgitation (MR) who are at prohibitive surgical risk. The occurrence of recurrent severe MR after initial successful MitraClip repair is uncommon. Data are sparse on the management of recurrent severe MR after initial successful repair using the MitraClip. We describe a successful case of redo MitraClip repair for late recurrent severe MR secondary to progressive degenerative mitral valve disease after a successful initial MitraClip procedure and review the literature.
对于手术风险极高的有症状的重度退行性二尖瓣反流(MR)患者,使用MitraClip(雅培血管,加利福尼亚州圣克拉拉)进行经导管二尖瓣修复是一种合理的治疗选择。初次成功进行MitraClip修复后复发性重度MR并不常见。关于初次成功使用MitraClip修复后复发性重度MR的管理数据稀少。我们描述了一例在初次MitraClip手术成功后,因进行性退行性二尖瓣疾病继发晚期复发性重度MR而成功进行再次MitraClip修复的病例,并对文献进行了综述。