Suppr超能文献

Giant Cell Hepatitis - A Rare Association with Connective Tissue Disease.

作者信息

Rauf Maria, Sen Sambit, Levene Adam, Nisar Muhammad K

机构信息

Histopathology Department, Luton & Dunstable University Hospital, Luton, United Kingdom.

Hepatology Department, Luton & Dunstable University Hospital, Luton, United Kingdom.

出版信息

Mediterr J Rheumatol. 2020 Mar 31;30(4):224-227. doi: 10.31138/mjr.30.4.224. eCollection 2019 Dec.

Abstract

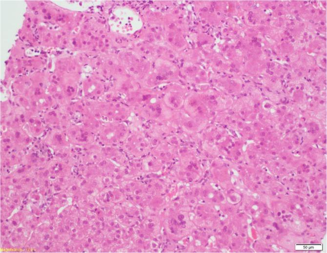
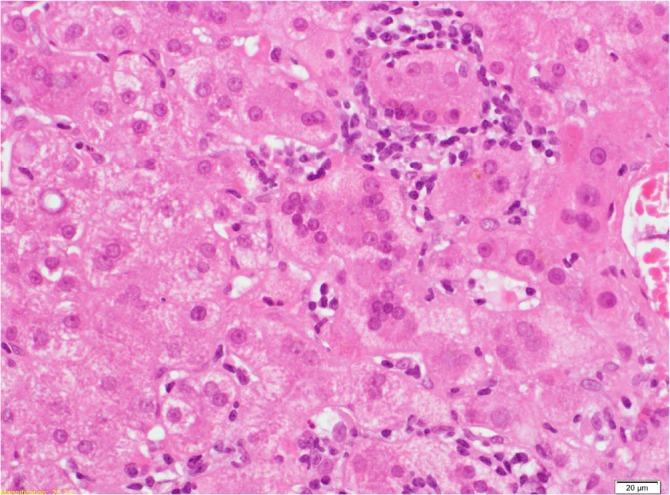
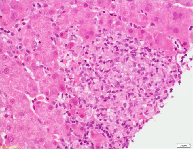
A 68-year-old gentleman presented to hepatology department with asymptomatic year-long history of stably deranged liver function tests. His peak alkaline phosphatase (ALP), was 828 with alanine transaminase (ALT) of 141. Full liver workup was negative; hence, a liver biopsy was organised, which confirmed giant cell hepatitis (GCH). A computed tomography (CT) scan revealed non-specific interstitial pneumonitis (NSIP) pattern interstitial lung disease supported by lung function tests. Antibody testing showed strongly positive antinuclear antibody (ANA) with anti-polymyositis/scleroderma (anti-PM-SCL) antibody. Clinical picture was in keeping with likely undifferentiated connective tissue disease (UCTD) with polyarthralgia, early morning stiffness, Raynaud's and nailfold infarcts with capillaritis on nail bed examination. Further testing confirmed triple-positive antiphospholipid antibodies twice 12 weeks apart (immunoglobulin M [IgM] anti beta-2 glycoprotein antibodies, lupus anticoagulant and IgM anticardiolipin antibody). He was treated with mycophenolate and hydroxychloroquine with resolution of symptoms. Giant cell hepatitis is uncommon, with only 100 cases reported worldwide. To our knowledge, this is the only report of GCH in the context of UCTD, highlighting the significance of careful evaluation of liver disease overlap and the successful role of mycophenolate mofetil (MMF) in this setting.

摘要
https://cdn.ncbi.nlm.nih.gov/pmc/blobs/776d/7241662/b8fafbb99921/MJR-30-4-224-g001a.jpg

文献AI研究员

20分钟写一篇综述,助力文献阅读效率提升50倍。

立即体验

用中文搜PubMed

大模型驱动的PubMed中文搜索引擎

马上搜索

文档翻译

学术文献翻译模型,支持多种主流文档格式。

立即体验