Suppr超能文献

Vav1通过内皮细胞中溶酶体VEGFR1介导的降解机制对HIF-1α激活至关重要。

Vav1 is Essential for HIF-1α Activation via a Lysosomal VEGFR1-Mediated Degradation Mechanism in Endothelial Cells.

作者信息

Hong Jaewoo, Min Yongfen, Wuest Todd, Lin P Charles

机构信息

Center for Cancer Research, National Cancer Institute, National Institutes of Health, Frederick, MD 21704, USA.

出版信息

Cancers (Basel). 2020 May 27;12(6):1374. doi: 10.3390/cancers12061374.

Abstract

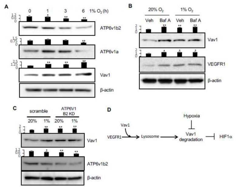
The vascular response to hypoxia and ischemia is essential for maintaining homeostasis during stressful conditions and is particularly critical for vital organs such as the heart. Hypoxia-inducible factor-1 (HIF-1) is a central regulator of the response to hypoxia by activating transcription of numerous target genes, including vascular endothelial growth factor (VEGF). Here we identify the guanine nucleotide exchange factor (GEF) Vav1, a regulator of the small Rho-GTPase and cell signaling in endothelial cells, as a key vascular regulator of hypoxia. We show that Vav1 is present in the vascular endothelium and is essential for HIF-1 activation under hypoxia. So, we hypothesized that Vav1 could be a key regulator of HIF-1 signaling. In our findings, Vav1 regulates HIF-1α stabilization through the p38/Siah2/PHD3 pathway. In normoxia, Vav1 binds to vascular endothelial growth factor receptor 1 (VEGFR1), which directs Vav1 to lysosomes for degradation. In contrast, hypoxia upregulates Vav1 protein levels by inhibiting lysosomal degradation, which is analogous to HIF-1α regulation by hypoxia: both proteins are constitutively produced and degraded in normoxia allowing for a rapid response when stress occurs. Consequently, hypoxia rapidly stabilizes Vav1, which is required for HIF-1α accumulation. This shows that Vav1 is the key mediator controlling the stabilization of HIF1α in hypoxic conditions. With this finding, we report a novel pathway to stabilize HIF-1, which shows a possible reason why clinical trials targeting HIF-1 has not been effective. Targeting Vav1 can be the new approach to overcome hypoxic tumors.

摘要

血管对缺氧和缺血的反应对于在应激条件下维持体内平衡至关重要,对心脏等重要器官尤为关键。缺氧诱导因子-1(HIF-1)是通过激活众多靶基因(包括血管内皮生长因子(VEGF))的转录来调节缺氧反应的核心因子。在此,我们确定鸟嘌呤核苷酸交换因子(GEF)Vav1是内皮细胞中小Rho-GTP酶和细胞信号传导的调节因子,是缺氧的关键血管调节因子。我们发现Vav1存在于血管内皮中,是缺氧条件下HIF-1激活所必需的。因此,我们推测Vav1可能是HIF-1信号传导的关键调节因子。在我们的研究结果中,Vav1通过p38/Siah2/PHD3途径调节HIF-1α的稳定性。在常氧条件下,Vav1与血管内皮生长因子受体1(VEGFR1)结合,引导Vav1至溶酶体进行降解。相反,缺氧通过抑制溶酶体降解上调Vav1蛋白水平,这与缺氧对HIF-1α的调节类似:两种蛋白在常氧条件下均持续产生并降解,以便在应激发生时能快速反应。因此,缺氧迅速使Vav1稳定,这是HIF-1α积累所必需的。这表明Vav1是缺氧条件下控制HIF1α稳定性的关键介质。基于这一发现,我们报道了一种稳定HIF-1的新途径,这揭示了针对HIF-1的临床试验未取得成效的一个可能原因。靶向Vav1可能是克服缺氧肿瘤的新方法。

https://cdn.ncbi.nlm.nih.gov/pmc/blobs/8e6c/7352305/ed7d760f9332/cancers-12-01374-g001.jpg

文献AI研究员

20分钟写一篇综述,助力文献阅读效率提升50倍。

立即体验

用中文搜PubMed

大模型驱动的PubMed中文搜索引擎

马上搜索

文档翻译

学术文献翻译模型,支持多种主流文档格式。

立即体验