• 文献检索
  • 文档翻译
  • 深度研究
  • 学术资讯
  • Suppr Zotero 插件Zotero 插件
  • 邀请有礼
  • 套餐&价格
  • 历史记录
应用&插件
Suppr Zotero 插件Zotero 插件浏览器插件Mac 客户端Windows 客户端微信小程序
定价
高级版会员购买积分包购买API积分包
服务
文献检索文档翻译深度研究API 文档MCP 服务
关于我们
关于 Suppr公司介绍联系我们用户协议隐私条款
关注我们

Suppr 超能文献

核心技术专利:CN118964589B侵权必究
粤ICP备2023148730 号-1Suppr @ 2026

文献检索

告别复杂PubMed语法,用中文像聊天一样搜索,搜遍4000万医学文献。AI智能推荐,让科研检索更轻松。

立即免费搜索

文件翻译

保留排版,准确专业,支持PDF/Word/PPT等文件格式,支持 12+语言互译。

免费翻译文档

深度研究

AI帮你快速写综述,25分钟生成高质量综述,智能提取关键信息,辅助科研写作。

立即免费体验

采用临床经颅 MRI 引导聚焦超声系统破坏血脑屏障并在大鼠模型中递送伊立替康。

Blood-brain barrier disruption and delivery of irinotecan in a rat model using a clinical transcranial MRI-guided focused ultrasound system.

机构信息

Department of Radiology, Brigham and Women's Hospital, Harvard Medical School, Boston, MA, USA.

Department of Medicine, Massachusetts General Hospital, Harvard Medical School, Boston, MA, USA.

出版信息

Sci Rep. 2020 May 29;10(1):8766. doi: 10.1038/s41598-020-65617-6.

DOI:10.1038/s41598-020-65617-6
PMID:32472017
原文链接:https://pmc.ncbi.nlm.nih.gov/articles/PMC7260193/
Abstract

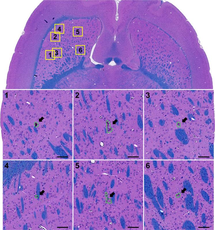
We investigated controlled blood-brain barrier (BBB) disruption using a low-frequency clinical transcranial MRI-guided focused ultrasound (TcMRgFUS) device and evaluated enhanced delivery of irinotecan chemotherapy to the brain and a rat glioma model. Animals received three weekly sessions of FUS, FUS and 10 mg/kg irinotecan, or irinotecan alone. In each session, four volumetric sonications targeted 36 locations in one hemisphere. With feedback control based on recordings of acoustic emissions, 98% of the sonication targets (1045/1071) reached a pre-defined level of acoustic emission, while the probability of wideband emission (a signature for inertial cavitation) was than 1%. BBB disruption, evaluated by mapping the R1 relaxation rate after administration of an MRI contrast agent, was significantly higher in the sonicated hemisphere (P < 0.01). Histological evaluation found minimal tissue effects. Irinotecan concentrations in the brain were significantly higher (P < 0.001) with BBB disruption, but SN-38 was only detected in <50% of the samples and only with an excessive irinotecan dose. Irinotecan with BBB disruption did not impede tumor growth or increase survival. Overall these results demonstrate safe and controlled BBB disruption with a low-frequency clinical TcMRgFUS device. While irinotecan delivery to the brain was not neurotoxic, it did not improve outcomes in the F98 glioma model.

摘要

我们使用低频临床经颅 MRI 引导聚焦超声(TcMRgFUS)设备研究了可控的血脑屏障(BBB)破坏,并评估了伊立替康化疗药物递送至大脑的效果和在大鼠脑胶质瘤模型中的效果。动物接受了每周三次的 FUS、FUS 和 10mg/kg 伊立替康或单独伊立替康治疗。在每次治疗中,四个容积式超声波靶向一个半球中的 36 个位置。通过基于声发射记录的反馈控制,98%的声发射目标(1045/1071)达到了预先定义的声发射水平,而宽带发射的概率(惯性空化的特征)大于 1%。通过给药 MRI 对比剂后测量 R1 弛豫率来评估 BBB 破坏,发现超声波治疗半球的 BBB 破坏明显更高(P<0.01)。组织学评估发现组织影响最小。BBB 破坏后,大脑中的伊立替康浓度显著升高(P<0.001),但仅在<50%的样本中检测到 SN-38,且仅在过量的伊立替康剂量下才检测到。伊立替康与 BBB 破坏并不会阻碍肿瘤生长或增加存活率。总的来说,这些结果表明低频临床 TcMRgFUS 设备可安全且可控地破坏 BBB。尽管伊立替康递送至大脑并未引起神经毒性,但它并未改善 F98 脑胶质瘤模型的结果。

https://cdn.ncbi.nlm.nih.gov/pmc/blobs/f509/7260193/e7d47d5cdecb/41598_2020_65617_Fig11_HTML.jpg
https://cdn.ncbi.nlm.nih.gov/pmc/blobs/f509/7260193/c077597d9504/41598_2020_65617_Fig1_HTML.jpg
https://cdn.ncbi.nlm.nih.gov/pmc/blobs/f509/7260193/90b10c3496a8/41598_2020_65617_Fig2_HTML.jpg
https://cdn.ncbi.nlm.nih.gov/pmc/blobs/f509/7260193/b479a19e125d/41598_2020_65617_Fig3_HTML.jpg
https://cdn.ncbi.nlm.nih.gov/pmc/blobs/f509/7260193/09d1fb971790/41598_2020_65617_Fig4_HTML.jpg
https://cdn.ncbi.nlm.nih.gov/pmc/blobs/f509/7260193/2efc1cb5e2b2/41598_2020_65617_Fig5_HTML.jpg
https://cdn.ncbi.nlm.nih.gov/pmc/blobs/f509/7260193/577e25565b73/41598_2020_65617_Fig6_HTML.jpg
https://cdn.ncbi.nlm.nih.gov/pmc/blobs/f509/7260193/c374342b30f0/41598_2020_65617_Fig7_HTML.jpg
https://cdn.ncbi.nlm.nih.gov/pmc/blobs/f509/7260193/a654717e8f76/41598_2020_65617_Fig8_HTML.jpg
https://cdn.ncbi.nlm.nih.gov/pmc/blobs/f509/7260193/abcc65008c8e/41598_2020_65617_Fig9_HTML.jpg
https://cdn.ncbi.nlm.nih.gov/pmc/blobs/f509/7260193/1270cdfef8a5/41598_2020_65617_Fig10_HTML.jpg
https://cdn.ncbi.nlm.nih.gov/pmc/blobs/f509/7260193/e7d47d5cdecb/41598_2020_65617_Fig11_HTML.jpg
https://cdn.ncbi.nlm.nih.gov/pmc/blobs/f509/7260193/c077597d9504/41598_2020_65617_Fig1_HTML.jpg
https://cdn.ncbi.nlm.nih.gov/pmc/blobs/f509/7260193/90b10c3496a8/41598_2020_65617_Fig2_HTML.jpg
https://cdn.ncbi.nlm.nih.gov/pmc/blobs/f509/7260193/b479a19e125d/41598_2020_65617_Fig3_HTML.jpg
https://cdn.ncbi.nlm.nih.gov/pmc/blobs/f509/7260193/09d1fb971790/41598_2020_65617_Fig4_HTML.jpg
https://cdn.ncbi.nlm.nih.gov/pmc/blobs/f509/7260193/2efc1cb5e2b2/41598_2020_65617_Fig5_HTML.jpg
https://cdn.ncbi.nlm.nih.gov/pmc/blobs/f509/7260193/577e25565b73/41598_2020_65617_Fig6_HTML.jpg
https://cdn.ncbi.nlm.nih.gov/pmc/blobs/f509/7260193/c374342b30f0/41598_2020_65617_Fig7_HTML.jpg
https://cdn.ncbi.nlm.nih.gov/pmc/blobs/f509/7260193/a654717e8f76/41598_2020_65617_Fig8_HTML.jpg
https://cdn.ncbi.nlm.nih.gov/pmc/blobs/f509/7260193/abcc65008c8e/41598_2020_65617_Fig9_HTML.jpg
https://cdn.ncbi.nlm.nih.gov/pmc/blobs/f509/7260193/1270cdfef8a5/41598_2020_65617_Fig10_HTML.jpg
https://cdn.ncbi.nlm.nih.gov/pmc/blobs/f509/7260193/e7d47d5cdecb/41598_2020_65617_Fig11_HTML.jpg

相似文献

1
Blood-brain barrier disruption and delivery of irinotecan in a rat model using a clinical transcranial MRI-guided focused ultrasound system.采用临床经颅 MRI 引导聚焦超声系统破坏血脑屏障并在大鼠模型中递送伊立替康。
Sci Rep. 2020 May 29;10(1):8766. doi: 10.1038/s41598-020-65617-6.
2
Acoustic feedback enables safe and reliable carboplatin delivery across the blood-brain barrier with a clinical focused ultrasound system and improves survival in a rat glioma model.声学反馈可通过临床聚焦超声系统实现卡铂安全可靠地穿过血脑屏障,并提高大鼠胶质瘤模型的生存率。
Theranostics. 2019 Aug 14;9(21):6284-6299. doi: 10.7150/thno.35892. eCollection 2019.
3
Multiple sessions of liposomal doxorubicin delivery via focused ultrasound mediated blood-brain barrier disruption: a safety study.通过聚焦超声介导的血脑屏障破坏进行多次脂质体阿霉素递送:一项安全性研究。
J Control Release. 2015 Apr 28;204:60-9. doi: 10.1016/j.jconrel.2015.02.033. Epub 2015 Feb 24.
4
Enhancement in blood-tumor barrier permeability and delivery of liposomal doxorubicin using focused ultrasound and microbubbles: evaluation during tumor progression in a rat glioma model.使用聚焦超声和微泡增强血肿瘤屏障通透性及脂质体阿霉素递送:大鼠胶质瘤模型肿瘤进展过程中的评估
Phys Med Biol. 2015 Mar 21;60(6):2511-27. doi: 10.1088/0031-9155/60/6/2511. Epub 2015 Mar 6.
5
Evaluation of permeability, doxorubicin delivery, and drug retention in a rat brain tumor model after ultrasound-induced blood-tumor barrier disruption.超声诱导血脑肿瘤屏障破坏后大鼠脑肿瘤模型中通透性、阿霉素递送及药物潴留的评估
J Control Release. 2017 Mar 28;250:77-85. doi: 10.1016/j.jconrel.2016.10.011. Epub 2016 Oct 11.
6
The kinetics of blood brain barrier permeability and targeted doxorubicin delivery into brain induced by focused ultrasound.超声聚焦诱导血脑屏障通透性变化及载药阿霉素向脑内的传递动力学
J Control Release. 2012 Aug 20;162(1):134-42. doi: 10.1016/j.jconrel.2012.06.012. Epub 2012 Jun 15.
7
Efficiency of drug delivery enhanced by acoustic pressure during blood-brain barrier disruption induced by focused ultrasound.超声聚焦破坏血脑屏障过程中声压增强药物递送效率。
Int J Nanomedicine. 2012;7:2573-82. doi: 10.2147/IJN.S31675. Epub 2012 May 23.
8
Cavitation monitoring, treatment strategy, and acoustic simulations of focused ultrasound blood-brain barrier disruption in patients with glioblastoma.聚焦超声血脑屏障破坏治疗脑胶质母细胞瘤的空化监测、治疗策略及声学模拟。
J Control Release. 2024 Aug;372:194-208. doi: 10.1016/j.jconrel.2024.06.036. Epub 2024 Jun 21.
9
Cavitation-enhanced nonthermal ablation in deep brain targets: feasibility in a large animal model.深部脑靶点的空化增强非热消融:大型动物模型中的可行性
J Neurosurg. 2016 May;124(5):1450-9. doi: 10.3171/2015.4.JNS142862. Epub 2015 Sep 18.
10
Submicron-bubble-enhanced focused ultrasound for blood-brain barrier disruption and improved CNS drug delivery.亚微米气泡增强聚焦超声用于破坏血脑屏障及改善中枢神经系统药物递送。
PLoS One. 2014 May 2;9(5):e96327. doi: 10.1371/journal.pone.0096327. eCollection 2014.

引用本文的文献

1
The future of phage therapy in the USA.美国噬菌体疗法的未来。
Trends Mol Med. 2025 Apr 22. doi: 10.1016/j.molmed.2025.03.013.
2
Identifying new therapeutics for focused ultrasound-enhanced drug delivery in the management of glioblastoma.确定用于胶质母细胞瘤治疗中聚焦超声增强药物递送的新疗法。
Front Oncol. 2025 Mar 13;15:1507940. doi: 10.3389/fonc.2025.1507940. eCollection 2025.
3
Innovative Approaches to Brain Cancer: The Use of Magnetic Resonance-guided Focused Ultrasound in Glioma Therapy.脑癌的创新治疗方法:磁共振引导聚焦超声在胶质瘤治疗中的应用。

本文引用的文献

1
Clostridium novyi-NT can cause regression of orthotopically implanted glioblastomas in rats.诺维氏梭菌NT型可使大鼠原位植入的胶质母细胞瘤发生消退。
Oncotarget. 2015 Mar 20;6(8):5536-46. doi: 10.18632/oncotarget.3627.
2
Human adipose tissue-derived mesenchymal stem cells: characteristics and therapeutic potential as cellular vehicles for prodrug gene therapy against brainstem gliomas.人脂肪组织来源的间充质干细胞:作为前药基因治疗脑桥神经胶质瘤的细胞载体的特征和治疗潜力。
Eur J Cancer. 2012 Jan;48(1):129-37. doi: 10.1016/j.ejca.2011.04.033. Epub 2011 Jun 12.
Cancers (Basel). 2024 Dec 19;16(24):4235. doi: 10.3390/cancers16244235.
4
Breaking Barriers in Huntington's Disease Therapy: Focused Ultrasound for Targeted Drug Delivery.突破亨廷顿病治疗的障碍:聚焦超声用于靶向给药。
Neurochem Res. 2025 Jan 3;50(1):68. doi: 10.1007/s11064-024-04302-w.
5
Investigation of Sonication Parameters for Large-Volume Focused Ultrasound-Mediated Blood-Brain Barrier Permeability Enhancement Using a Clinical-Prototype Hemispherical Phased Array.使用临床原型半球形相控阵研究大体积聚焦超声介导的血脑屏障通透性增强的超声参数
Pharmaceutics. 2024 Sep 30;16(10):1289. doi: 10.3390/pharmaceutics16101289.
6
In Vitro Sonodynamic Therapy Using a High Throughput 3D Glioblastoma Spheroid Model with 5-ALA and TMZ Sonosensitizers.使用5-氨基乙酰丙酸(5-ALA)和替莫唑胺(TMZ)声敏剂的高通量3D胶质母细胞瘤球体模型进行体外声动力治疗
Adv Healthc Mater. 2024 Dec;13(32):e2402877. doi: 10.1002/adhm.202402877. Epub 2024 Oct 21.
7
Multimodal evaluation of blood-brain barrier opening in mice in response to low-intensity ultrasound and a claudin-5 binder.多模态评价小鼠对低强度超声和紧密连接蛋白 5 结合物的血脑屏障开放反应
Nanotheranostics. 2024 Apr 23;8(4):427-441. doi: 10.7150/ntno.95146. eCollection 2024.
8
Current Progress in Magnetic Resonance-Guided Focused Ultrasound to Facilitate Drug Delivery across the Blood-Brain Barrier.磁共振引导聚焦超声促进药物透过血脑屏障的研究进展
Pharmaceutics. 2024 May 27;16(6):719. doi: 10.3390/pharmaceutics16060719.
9
Targeting diffuse midline gliomas: The promise of focused ultrasound-mediated blood-brain barrier opening.靶向弥漫性中线胶质瘤:聚焦超声介导的血脑屏障开放的前景。
J Control Release. 2024 Jan;365:412-421. doi: 10.1016/j.jconrel.2023.11.037. Epub 2023 Nov 30.
10
Advances in Focused Ultrasound for the Treatment of Brain Tumors.聚焦超声在脑肿瘤治疗中的进展。
Tomography. 2023 May 29;9(3):1094-1109. doi: 10.3390/tomography9030090.