Suppr超能文献

一个独特的相关变异在一个格鲁吉亚犹太家庭与可能的北卡罗来纳黄斑营养不良和一个独特的变异的可能贡献。

A unique -associated variant in a Georgian Jewish family with probable North Carolina macular dystrophy and the possible contribution of a unique variant.

机构信息

Department of Ophthalmology, Hadassah Medical Center, Faculty of Medicine, The Hebrew University Jerusalem, Jerusalem, Israel.

Neurobiology-Neurodegeneration & Repair Laboratory, National Eye Institute, National Institutes of Health, Bethesda, MD.

出版信息

Mol Vis. 2020 Apr 16;26:299-310. eCollection 2020.

Abstract

PURPOSE

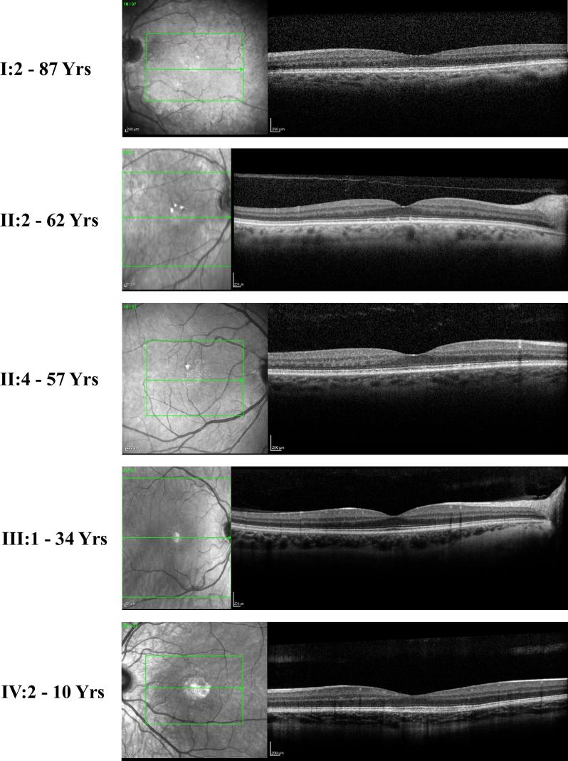
North Carolina macular dystrophy (NCMD) is an autosomal dominant maculopathy that is considered a non-progressive developmental disorder with variable expressivity. Our study aimed to clinically and genetically characterize macular dystrophy in a family (MOL1154) consisting of six affected subjects with a highly variable maculopathy phenotype in which no correlation between age and severity exists.

METHODS

Clinical characterization included visual acuity testing and electroretinography. Genetic analysis included Sanger sequencing and whole exome sequencing (WES).

RESULTS

WES analysis performed on DNA samples from two individuals revealed a heterozygous deletion of six nucleotides [c.2247_2252del; p.(Leu750_Lys751del)] in the gene. Co-segregation analysis revealed that five of the six NCMD affected subjects carried this deletion, while one individual who had a relatively mild phenotype compatible with dry age-related macular degeneration (AMD) did not carry it. We subsequently analyzed the upstream region of that has previously been reported to be associated with NCMD and identified a unique heterozygous transversion (chr6:100040974A>C) located within the previously described suspected control region in all six affected individuals. This transversion is likely to cause NCMD.

CONCLUSIONS

NCMD has a wide spectrum of clinical phenotypes that can overlap with AMD, making it challenging to correctly diagnose affected individuals and family members. The DNA sequence variant we found in the gene of some of the affected family members may suggest some role as a modifier gene. However, this variant still does not explain the huge phenotypic variability of NCMD and needs to be studied in other and larger populations.

摘要

目的

北卡罗来纳黄斑营养不良症(NCMD)是一种常染色体显性黄斑病变,被认为是一种具有可变表达性的非进行性发育障碍。我们的研究旨在对一个由六名受影响个体组成的家族(MOL1154)的黄斑营养不良症进行临床和遗传特征分析,该家族的黄斑病变表型高度可变,且年龄与严重程度之间不存在相关性。

方法

临床特征分析包括视力测试和视网膜电图检查。遗传分析包括 Sanger 测序和全外显子组测序(WES)。

结果

对来自两名个体的 DNA 样本进行的 WES 分析显示, 基因存在六个核苷酸的杂合缺失[c.2247_2252del;p.(Leu750_Lys751del)]。共分离分析显示,六名 NCMD 受影响个体中有五名携带该缺失,而一名表型相对较轻、符合干性年龄相关性黄斑变性(AMD)的个体则不携带该缺失。随后,我们分析了先前与 NCMD 相关的 基因上游区域,在所有六名受影响个体中均发现了一个独特的杂合转换(chr6:100040974A>C),该转换位于先前描述的可疑控制区域内。该转换可能导致 NCMD。

结论

NCMD 具有广泛的临床表型,可能与 AMD 重叠,因此难以正确诊断受影响个体及其家庭成员。我们在一些受影响家族成员的 基因中发现的 DNA 序列变异可能提示其作为修饰基因的一些作用。然而,该变异仍然不能解释 NCMD 的巨大表型变异性,需要在其他更大的人群中进行研究。

https://cdn.ncbi.nlm.nih.gov/pmc/blobs/f3d5/7245606/8ecd68bb04f7/mv-v26-299-f1.jpg

文献AI研究员

20分钟写一篇综述,助力文献阅读效率提升50倍。

立即体验

用中文搜PubMed

大模型驱动的PubMed中文搜索引擎

马上搜索

文档翻译

学术文献翻译模型,支持多种主流文档格式。

立即体验