Suppr超能文献

大鼠“听神经核”中的突触终足。一项电子显微镜研究。

Synaptic endfeet in the 'acoustic nerve nucleus' of the rat. An electron microscopic study.

作者信息

Alvarez-Bolado G, Merchán J

机构信息

Departamento de Morfología, Universidad de Alicante, Spain.

出版信息

J Anat. 1988 Aug;159:19-28.

Abstract

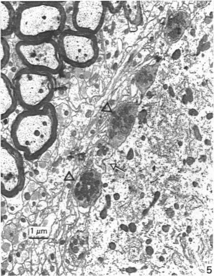
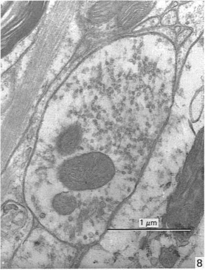
The medial portion of the cochlear nerve of the rat contains astrocytes, oligodendrocytes and neurons. These neurons form what has been called the 'acoustic nerve nucleus'. This nucleus has been studied here at the electron microscopic level. Its neurons are large and round, showing an eccentric nucleus, fibrillary bodies and rough endoplasmic reticulum which is not arranged in stacks. The somata and dendrites receive synaptic endfeet which can be classified into three groups according to vesicle size and shape. In general, the ultrastructural characteristics of these cells are similar to those of bushy cells as reported by other authors. The 'acoustic nerve nucleus' can be considered to be the most peripheral part of the anterior ventral cochlear nucleus.

摘要

大鼠耳蜗神经的内侧部分包含星形胶质细胞、少突胶质细胞和神经元。这些神经元形成了所谓的“听神经核”。在此对该核进行了电子显微镜水平的研究。其神经元大且呈圆形,有一个偏心核、纤维体和未堆叠排列的粗面内质网。胞体和树突接受突触终足,根据囊泡大小和形状可将其分为三组。一般来说,这些细胞的超微结构特征与其他作者报道的浓密细胞相似。“听神经核”可被认为是前腹侧耳蜗核的最外周部分。

https://cdn.ncbi.nlm.nih.gov/pmc/blobs/05a4/1262005/557419c60ad0/janat00173-0031-a.jpg

文献检索

告别复杂PubMed语法,用中文像聊天一样搜索,搜遍4000万医学文献。AI智能推荐,让科研检索更轻松。

立即免费搜索

文件翻译

保留排版,准确专业,支持PDF/Word/PPT等文件格式,支持 12+语言互译。

免费翻译文档

深度研究

AI帮你快速写综述,25分钟生成高质量综述,智能提取关键信息,辅助科研写作。

立即免费体验