Suppr超能文献

伪装成前臂屈肌间隙复发性脂肪瘤的高分化脂肪肉瘤:一例报告

Well-differentiated liposarcoma disguised as a recurrent lipoma of the forearm flexor compartment: A case report.

作者信息

Widodo Wahyu, Latief Wildan, Aprilya Dina

机构信息

Department of Orthopaedic and Traumatology, Faculty of Medicine Universitas Indonesia, Cipto Mangunkusumo Hospital, Indonesia.

Department of Orthopaedic and Traumatology, Faculty of Medicine Universitas Indonesia, Cipto Mangunkusumo Hospital, Indonesia.

出版信息

Int J Surg Case Rep. 2020;72:91-95. doi: 10.1016/j.ijscr.2020.05.063. Epub 2020 May 30.

Abstract

INTRODUCTION

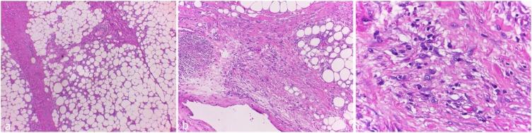
Lipomas are common benign mesenchymal tumor that arise from the adipose tissue. Differential diagnosis between the benign and malignant form (liposarcoma) must be made to prevent complication and recurrence.

PRESENTATION OF CASE

We reported a 63-year-old man who presented with recurrent large-sized mass on the right forearm with the first presentation approximately 28 years before being treated in our center. Main complaints were discomfort, social embracement, and difficulty in dressing. There were no compression symptoms observed. We performed marginal excision and sent the sample for histopathological examination. The work has been reported in line with the Surgical Case Report (SCARE) criteria.

DISCUSSION

During one year of post-operative period, no recurrence was detected and a complete relief of symptoms was as expected.

CONCLUSION

Diagnostic challenge in such a large-sized (giant) lipoma is in differentiating it with the malignant form. Surgical excision is the choice of treatment. However, long-term follow up is needed due to the risk of recurrence.

摘要

引言

脂肪瘤是一种常见的起源于脂肪组织的良性间叶组织肿瘤。必须对其良性和恶性形式(脂肪肉瘤)进行鉴别诊断,以预防并发症和复发。

病例介绍

我们报告了一名63岁男性,其右前臂出现复发性大肿块,首次出现约在28年前,随后在我们中心接受治疗。主要症状为不适、社交困扰和穿衣困难。未观察到压迫症状。我们进行了边缘切除,并将样本送去做组织病理学检查。本病例报告已按照外科病例报告(SCARE)标准撰写。

讨论

术后一年未发现复发,症状如预期完全缓解。

结论

如此大尺寸(巨大型)脂肪瘤的诊断挑战在于将其与恶性形式相鉴别。手术切除是治疗选择。然而,由于存在复发风险,需要进行长期随访。

https://cdn.ncbi.nlm.nih.gov/pmc/blobs/6436/7289738/6fe2a44933d7/gr1.jpg

文献AI研究员

20分钟写一篇综述,助力文献阅读效率提升50倍。

立即体验

用中文搜PubMed

大模型驱动的PubMed中文搜索引擎

马上搜索

文档翻译

学术文献翻译模型,支持多种主流文档格式。

立即体验