• 文献检索
  • 文档翻译
  • 深度研究
  • 学术资讯
  • Suppr Zotero 插件Zotero 插件
  • 邀请有礼
  • 套餐&价格
  • 历史记录
应用&插件
Suppr Zotero 插件Zotero 插件浏览器插件Mac 客户端Windows 客户端微信小程序
定价
高级版会员购买积分包购买API积分包
服务
文献检索文档翻译深度研究API 文档MCP 服务
关于我们
关于 Suppr公司介绍联系我们用户协议隐私条款
关注我们

Suppr 超能文献

核心技术专利:CN118964589B侵权必究
粤ICP备2023148730 号-1Suppr @ 2026

文献检索

告别复杂PubMed语法,用中文像聊天一样搜索,搜遍4000万医学文献。AI智能推荐,让科研检索更轻松。

立即免费搜索

文件翻译

保留排版,准确专业,支持PDF/Word/PPT等文件格式,支持 12+语言互译。

免费翻译文档

深度研究

AI帮你快速写综述,25分钟生成高质量综述,智能提取关键信息,辅助科研写作。

立即免费体验

肝细胞核因子-1在鼠肝中对 Angptl8 基因的转录调控。

Transcriptional Regulation of the Angptl8 Gene by Hepatocyte Nuclear Factor-1 in the Murine Liver.

机构信息

Department of Internal Medicine, Division of Endocrinology and Metabolism, Gunma University Graduate School of Medicine, 3-39-15 Showa-machi, Maebashi, 371-8511, Japan.

出版信息

Sci Rep. 2020 Jun 19;10(1):9999. doi: 10.1038/s41598-020-66570-0.

DOI:10.1038/s41598-020-66570-0
PMID:32561878
原文链接:https://pmc.ncbi.nlm.nih.gov/articles/PMC7305314/
Abstract

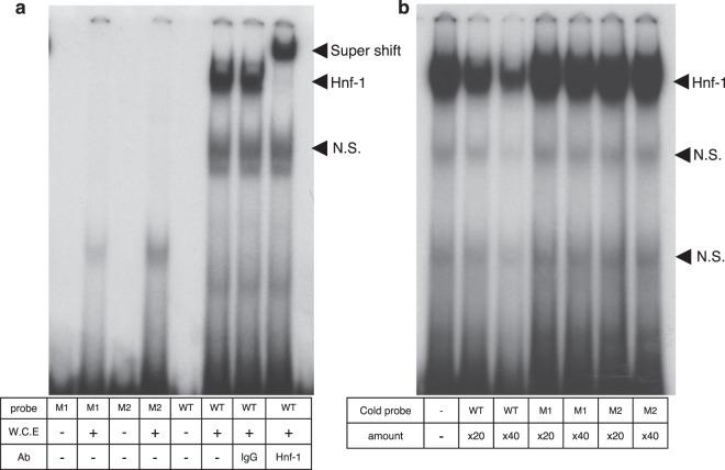
Brief refeeding times (~60 min) enhanced hepatic Angptl8 expression in fasted mice. We cloned the mouse Angptl8 promoter region to characterise this rapid refeeding-induced increase in hepatic Angptl8 expression. Deletion of the -309/-60 promoter region significantly attenuated basal promoter activity in hepatocytes. A computational motif search revealed a potential binding motif for hepatocyte nuclear factor 1α/1β (HNF-1α/β) at -84/-68 bp of the promoter. Mutation of the HNF-1 binding site significantly decreased the promoter activity in hepatocytes, and the promoter carrying the mutated HNF-1 site was not transactivated by co-transfection of HNF-1 in a non-hepatic cell line. Silencing Hnf-1 in hepatoma cells and mouse primary hepatocytes reduced Angptl8 protein levels. Electrophoretic mobility-shift assays confirmed direct binding of Hnf-1 to its Angptl8 promoter binding motif. Hnf-1α expression levels increased after short-term refeeding, paralleling the enhanced in vivo expression of the Angptl8 protein. Chromatin immunoprecipitation (ChIP) confirmed the recruitment of endogenous Hnf-1 to the Angptl8 promoter region. Insulin-treated primary hepatocytes showed increased expression of Angptl8 protein, but knockdown of Hnf-1 completely abolished this enhancement. HNF-1 appears to play essential roles in the rapid refeeding-induced increases in Angptl8 expression. HNF-1α may therefore represent a primary medical target for ANGPTL8-related metabolic abnormalities. The study revealed the transcriptional regulation of the mouse hepatic Angptl8 gene by HNF-1.

摘要

短暂的再喂养时间(~60 分钟)增强了饥饿小鼠肝脏中的 Angptl8 表达。我们克隆了小鼠 Angptl8 启动子区域,以研究这种快速再喂养诱导的肝脏 Angptl8 表达增加。-309/-60 启动子区域的缺失显著减弱了肝细胞中的基础启动子活性。计算基序搜索显示,启动子的-84/-68 bp 处存在潜在的肝细胞核因子 1α/1β(HNF-1α/β)结合基序。HNF-1 结合位点的突变显著降低了肝细胞中的启动子活性,并且携带突变 HNF-1 位点的启动子在非肝细胞系中不能被 HNF-1 的共转染转录激活。在肝癌细胞和小鼠原代肝细胞中沉默 Hnf-1 降低了 Angptl8 蛋白水平。电泳迁移率变动分析证实了 Hnf-1 与 Angptl8 启动子结合基序的直接结合。短期再喂养后 Hnf-1α 表达水平增加,与 Angptl8 蛋白的体内表达增强相平行。染色质免疫沉淀(ChIP)证实了内源性 Hnf-1 募集到 Angptl8 启动子区域。胰岛素处理的原代肝细胞显示 Angptl8 蛋白表达增加,但 Hnf-1 的敲低完全消除了这种增强。HNF-1 在快速再喂养诱导的 Angptl8 表达增加中起着至关重要的作用。因此,HNF-1α 可能是与 ANGPTL8 相关代谢异常的主要医学靶点。该研究揭示了 HNF-1 对小鼠肝脏 Angptl8 基因的转录调控。

https://cdn.ncbi.nlm.nih.gov/pmc/blobs/ae9f/7305314/75e25f8fca5d/41598_2020_66570_Fig8_HTML.jpg
https://cdn.ncbi.nlm.nih.gov/pmc/blobs/ae9f/7305314/1d2524175646/41598_2020_66570_Fig1_HTML.jpg
https://cdn.ncbi.nlm.nih.gov/pmc/blobs/ae9f/7305314/ab51a3c91fd5/41598_2020_66570_Fig2_HTML.jpg
https://cdn.ncbi.nlm.nih.gov/pmc/blobs/ae9f/7305314/11c4fe492832/41598_2020_66570_Fig3_HTML.jpg
https://cdn.ncbi.nlm.nih.gov/pmc/blobs/ae9f/7305314/aedcac0a5bbf/41598_2020_66570_Fig4_HTML.jpg
https://cdn.ncbi.nlm.nih.gov/pmc/blobs/ae9f/7305314/b41e975a7459/41598_2020_66570_Fig5_HTML.jpg
https://cdn.ncbi.nlm.nih.gov/pmc/blobs/ae9f/7305314/187f7384e4c7/41598_2020_66570_Fig6_HTML.jpg
https://cdn.ncbi.nlm.nih.gov/pmc/blobs/ae9f/7305314/7d81e09b1dd5/41598_2020_66570_Fig7_HTML.jpg
https://cdn.ncbi.nlm.nih.gov/pmc/blobs/ae9f/7305314/75e25f8fca5d/41598_2020_66570_Fig8_HTML.jpg
https://cdn.ncbi.nlm.nih.gov/pmc/blobs/ae9f/7305314/1d2524175646/41598_2020_66570_Fig1_HTML.jpg
https://cdn.ncbi.nlm.nih.gov/pmc/blobs/ae9f/7305314/ab51a3c91fd5/41598_2020_66570_Fig2_HTML.jpg
https://cdn.ncbi.nlm.nih.gov/pmc/blobs/ae9f/7305314/11c4fe492832/41598_2020_66570_Fig3_HTML.jpg
https://cdn.ncbi.nlm.nih.gov/pmc/blobs/ae9f/7305314/aedcac0a5bbf/41598_2020_66570_Fig4_HTML.jpg
https://cdn.ncbi.nlm.nih.gov/pmc/blobs/ae9f/7305314/b41e975a7459/41598_2020_66570_Fig5_HTML.jpg
https://cdn.ncbi.nlm.nih.gov/pmc/blobs/ae9f/7305314/187f7384e4c7/41598_2020_66570_Fig6_HTML.jpg
https://cdn.ncbi.nlm.nih.gov/pmc/blobs/ae9f/7305314/7d81e09b1dd5/41598_2020_66570_Fig7_HTML.jpg
https://cdn.ncbi.nlm.nih.gov/pmc/blobs/ae9f/7305314/75e25f8fca5d/41598_2020_66570_Fig8_HTML.jpg

相似文献

1
Transcriptional Regulation of the Angptl8 Gene by Hepatocyte Nuclear Factor-1 in the Murine Liver.肝细胞核因子-1在鼠肝中对 Angptl8 基因的转录调控。
Sci Rep. 2020 Jun 19;10(1):9999. doi: 10.1038/s41598-020-66570-0.
2
Regulation of Cyp2a5 transcription in mouse primary hepatocytes: roles of hepatocyte nuclear factor 4 and nuclear factor I.小鼠原代肝细胞中Cyp2a5转录的调控:肝细胞核因子4和核因子I的作用
Biochem J. 2004 Aug 1;381(Pt 3):887-94. doi: 10.1042/BJ20040387.
3
Cloning and characterization of the human beta2-glycoprotein I (beta2-GPI) gene promoter: roles of the atypical TATA box and hepatic nuclear factor-1alpha in regulating beta2-GPI promoter activity.人β2-糖蛋白I(β2-GPI)基因启动子的克隆与特性分析:非典型TATA盒和肝细胞核因子-1α在调节β2-GPI启动子活性中的作用
Biochem J. 2004 Jun 1;380(Pt 2):455-63. doi: 10.1042/BJ20031610.
4
Transcriptional coactivators CBP and p300 cooperatively enhance HNF-1alpha-mediated expression of the albumin gene in hepatocytes.转录共激活因子CBP和p300协同增强肝细胞中HNF-1α介导的白蛋白基因表达。
J Biochem. 2004 Sep;136(3):313-9. doi: 10.1093/jb/mvh123.
5
Regulation of human insulin, IGF-I, and multidrug resistance protein 2 promoter activity by hepatocyte nuclear factor (HNF)-1beta and HNF-1alpha and the abnormality of HNF-1beta mutants.肝细胞核因子(HNF)-1β和HNF-1α对人胰岛素、胰岛素样生长因子-I及多药耐药蛋白2启动子活性的调控以及HNF-1β突变体的异常
J Endocrinol. 2007 Jan;192(1):141-7. doi: 10.1677/joe.1.07003.
6
Positive regulation of connexin32 transcription by hepatocyte nuclear factor-1alpha.
Arch Biochem Biophys. 2002 Nov 15;407(2):160-7. doi: 10.1016/s0003-9861(02)00488-5.
7
Hepatocyte nuclear factor-4alpha contributes to carbohydrate-induced transcriptional activation of hepatic fatty acid synthase.肝细胞核因子-4α 有助于碳水化合物诱导的肝脏脂肪酸合酶转录激活。
Biochem J. 2006 Oct 15;399(2):285-95. doi: 10.1042/BJ20060659.
8
Liver-enriched transcription factors, HNF-1, HNF-3, and C/EBP, are major contributors to the strong activity of the chicken CYP2H1 promoter in chick embryo hepatocytes.肝脏富集转录因子HNF-1、HNF-3和C/EBP是鸡CYP2H1启动子在鸡胚肝细胞中具有强活性的主要促成因素。
DNA Cell Biol. 1997 Dec;16(12):1407-18. doi: 10.1089/dna.1997.16.1407.
9
Regulation of glucose-6-phosphatase gene expression in cultured hepatocytes and H4IIE cells by short-chain fatty acids: role of hepatic nuclear factor-4alpha.短链脂肪酸对培养的肝细胞和H4IIE细胞中葡萄糖-6-磷酸酶基因表达的调控:肝细胞核因子-4α的作用
J Biol Chem. 2003 Oct 17;278(42):40694-701. doi: 10.1074/jbc.M303182200. Epub 2003 Aug 11.
10
435-bp liver regulatory sequence in the liver fatty acid binding protein (L-FABP) gene is sufficient to modulate liver regional expression in transgenic zebrafish.
Dev Dyn. 2003 Jul;227(3):347-56. doi: 10.1002/dvdy.10324.

引用本文的文献

1
Calorie Restriction Using High-Fat/Low-Carbohydrate Diet Suppresses Liver Fat Accumulation and Pancreatic Beta-Cell Dedifferentiation in Obese Diabetic Mice.高脂肪/低碳水化合物饮食限制卡路里摄入可抑制肥胖糖尿病小鼠肝脏脂肪积累和胰腺β细胞去分化。
Nutrients. 2024 Mar 28;16(7):995. doi: 10.3390/nu16070995.
2
Sortilin-induced lipid accumulation and atherogenesis are suppressed by HNF1b SUMOylation promoted by flavone of .Sortilin 诱导的脂质积累和动脉粥样硬化形成受. 的类黄酮促进的 HNF1b SUMOylation 抑制。
J Zhejiang Univ Sci B. 2023 Nov 15;24(11):998-1013. doi: 10.1631/jzus.B2200682.
3
Transcriptional control by HNF-1: Emerging evidence showing its role in lipid metabolism and lipid metabolism disorders.

本文引用的文献

1
CRISPR/Cas9-mediated knockout suppresses plasma triglyceride concentrations and adiposity in rats.CRISPR/Cas9 介导的基因敲除可降低大鼠的血浆甘油三酯浓度和肥胖程度。
J Lipid Res. 2018 Sep;59(9):1575-1585. doi: 10.1194/jlr.M082099. Epub 2018 Jul 24.
2
ANGPTL8 negatively regulates NF-κB activation by facilitating selective autophagic degradation of IKKγ.ANGPTL8 通过促进 IKKγ 的选择性自噬降解来负调控 NF-κB 的激活。
Nat Commun. 2017 Dec 18;8(1):2164. doi: 10.1038/s41467-017-02355-w.
3
Fasting and Feeding Signals Control the Oscillatory Expression of Angptl8 to Modulate Lipid Metabolism.
肝细胞核因子-1的转录调控:新证据表明其在脂质代谢及脂质代谢紊乱中的作用
Genes Dis. 2021 Jul 19;9(5):1248-1257. doi: 10.1016/j.gendis.2021.06.010. eCollection 2022 Sep.
4
An updated ANGPTL3-4-8 model as a mechanism of triglyceride partitioning between fat and oxidative tissues.一个更新的 ANGPTL3-4-8 模型作为脂肪和氧化组织之间甘油三酯分配的机制。
Prog Lipid Res. 2022 Jan;85:101140. doi: 10.1016/j.plipres.2021.101140. Epub 2021 Nov 16.
5
ANGPTL8 in metabolic homeostasis: more friend than foe?ANGPTL8 在代谢稳态中的作用:是敌是友?
Open Biol. 2021 Sep;11(9):210106. doi: 10.1098/rsob.210106. Epub 2021 Sep 29.
6
Genetic and Metabolic Determinants of Plasma Levels of ANGPTL8.ANGPTL8 血浆水平的遗传和代谢决定因素。
J Clin Endocrinol Metab. 2021 May 13;106(6):1649-1667. doi: 10.1210/clinem/dgab120.
禁食和进食信号控制 Angptl8 的振荡表达,从而调节脂代谢。
Sci Rep. 2016 Nov 15;6:36926. doi: 10.1038/srep36926.
4
Association between betatrophin/ANGPTL8 and non-alcoholic fatty liver disease: animal and human studies.β-促胰岛素分泌素/血管生成素样蛋白8与非酒精性脂肪性肝病的关联:动物和人体研究
Sci Rep. 2016 Apr 5;6:24013. doi: 10.1038/srep24013.
5
Angiopoietin-like protein 8 (ANGPTL8)/betatrophin overexpression does not increase beta cell proliferation in mice.血管生成素样蛋白8(ANGPTL8)/β-促胰岛素分泌素过表达不会增加小鼠的β细胞增殖。
Diabetologia. 2015 Jul;58(7):1523-31. doi: 10.1007/s00125-015-3590-z. Epub 2015 Apr 28.
6
ANGPTL8/betatrophin does not control pancreatic beta cell expansion.血管生成素样蛋白8/β-促胰岛素分泌素并不调控胰腺β细胞增殖。
Cell. 2014 Oct 23;159(3):691-6. doi: 10.1016/j.cell.2014.09.027.
7
Increased circulating levels of betatrophin in newly diagnosed type 2 diabetic patients.新诊断的 2 型糖尿病患者循环中 betatrophin 水平升高。
Diabetes Care. 2014 Oct;37(10):2718-22. doi: 10.2337/dc14-0602. Epub 2014 Jul 14.
8
Protection against high-fat diet-induced obesity in Helz2-deficient male mice due to enhanced expression of hepatic leptin receptor.由于肝脏瘦素受体表达增强,Helz2基因缺陷型雄性小鼠对高脂饮食诱导的肥胖具有抵抗力。
Endocrinology. 2014 Sep;155(9):3459-72. doi: 10.1210/en.2013-2160. Epub 2014 Jul 8.
9
Increased circulating betatrophin concentrations in patients with type 2 diabetes.2 型糖尿病患者循环中 betatrophin 浓度升高。
Int J Endocrinol. 2014;2014:323407. doi: 10.1155/2014/323407. Epub 2014 May 22.
10
Elevated circulating lipasin/betatrophin in human type 2 diabetes and obesity.人类2型糖尿病和肥胖症患者循环中脂联素/β-促胰岛素分泌素水平升高。
Sci Rep. 2014 May 23;4:5013. doi: 10.1038/srep05013.