Suppr超能文献

复杂染色体重排:一例报告以强调父母染色体核型分析和遗传咨询的必要性

Complex Chromosomal Rearrangement: A Case Report to Emphasize the Need for Parental Karyotyping and Genetic Counseling.

作者信息

Sinkar Prachi, Devi Sneha Ramesh

机构信息

Department of Genetics, Thyrocare Technologies Limited, Navi Mumbai, Maharashtra, India.

出版信息

J Hum Reprod Sci. 2020 Jan-Mar;13(1):68-70. doi: 10.4103/jhrs.JHRS_145_19. Epub 2020 Apr 7.

Abstract

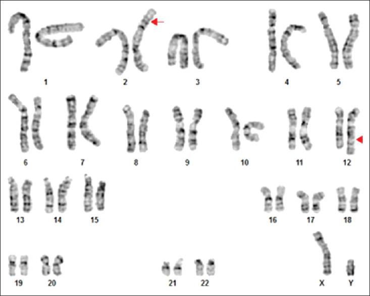
Complex chromosomal rearrangements (CCRs) are rare structural rearrangements which involve at least three or more chromosomal breaks. The present report emphasizes the significance of parental karyotyping and the need of genetic counseling for couples with bad obstetric history (repeated abortions/miscarriages). The report includes the cytogenetic assessment of the proband and the mother, carried out at our accredited laboratory. The karyotype analysis of the proband revealed an apparently balanced translocation, identified to have been familially inherited from the mother having CCRs with double two-way translocations involving four chromosomes.

摘要

复杂染色体重排(CCRs)是罕见的结构重排,涉及至少三个或更多的染色体断裂。本报告强调了亲代核型分析的重要性以及对有不良产科史(反复流产/胎停育)夫妇进行遗传咨询的必要性。该报告包括在我们认可的实验室对先证者及其母亲进行的细胞遗传学评估。先证者的核型分析显示出一种明显平衡的易位,经鉴定是从患有涉及四条染色体的双双向易位的CCRs的母亲家族遗传而来。

https://cdn.ncbi.nlm.nih.gov/pmc/blobs/53bd/7295250/fe5e186cb8c8/JHRS-13-68-g001.jpg

文献AI研究员

20分钟写一篇综述,助力文献阅读效率提升50倍。

立即体验

用中文搜PubMed

大模型驱动的PubMed中文搜索引擎

马上搜索

文档翻译

学术文献翻译模型,支持多种主流文档格式。

立即体验