• 文献检索
  • 文档翻译
  • 深度研究
  • 学术资讯
  • Suppr Zotero 插件Zotero 插件
  • 邀请有礼
  • 套餐&价格
  • 历史记录
应用&插件
Suppr Zotero 插件Zotero 插件浏览器插件Mac 客户端Windows 客户端微信小程序
定价
高级版会员购买积分包购买API积分包
服务
文献检索文档翻译深度研究API 文档MCP 服务
关于我们
关于 Suppr公司介绍联系我们用户协议隐私条款
关注我们

Suppr 超能文献

核心技术专利:CN118964589B侵权必究
粤ICP备2023148730 号-1Suppr @ 2026

文献检索

告别复杂PubMed语法,用中文像聊天一样搜索,搜遍4000万医学文献。AI智能推荐,让科研检索更轻松。

立即免费搜索

文件翻译

保留排版,准确专业,支持PDF/Word/PPT等文件格式,支持 12+语言互译。

免费翻译文档

深度研究

AI帮你快速写综述,25分钟生成高质量综述,智能提取关键信息,辅助科研写作。

立即免费体验

表皮生长因子受体和足细胞样蛋白表达在胰腺和胰周腺癌中的附加临床影响。

Additive clinical impact of epidermal growth factor receptor and podocalyxin-like protein expression in pancreatic and periampullary adenocarcinomas.

机构信息

Department of Clinical Sciences Lund, Division of Oncology and Pathology, Lund University, Skåne University Hospital, 22185, Lund, Sweden.

Department of Surgery, University of Helsinki and Helsinki University Hospital, P.O. Box 440, FIN-00029 HUS, Helsinki, Finland.

出版信息

Sci Rep. 2020 Jun 25;10(1):10373. doi: 10.1038/s41598-020-67187-z.

DOI:10.1038/s41598-020-67187-z
PMID:32587323
原文链接:https://pmc.ncbi.nlm.nih.gov/articles/PMC7316735/
Abstract

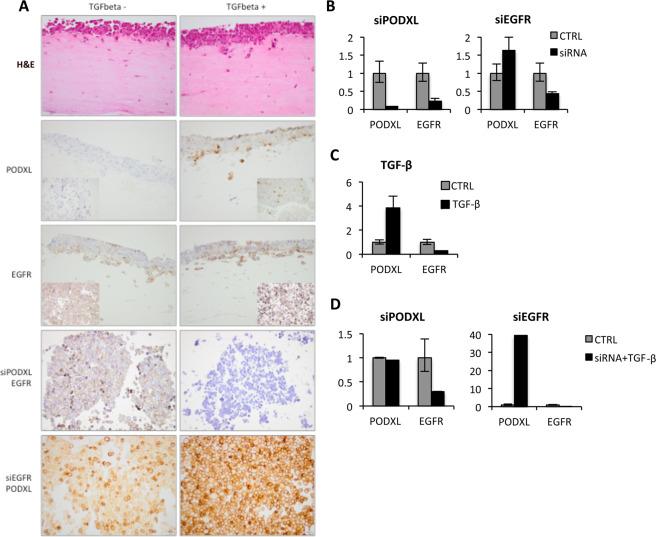
The outcome of periampullary adenocarcinomas remains poor with few treatment options. Podocalyxin-like protein (PODXL) is an anti-adhesive protein, the high expression of which has been shown to confer a poor prognosis in numerous malignancies. A correlation and adverse prognostic synergy between PODXL and the epidermal growth factor receptor (EGFR) has been observed in colorectal cancer. Here, we investigated whether this also applies to periampullary adenocarcinomas. We analyzed the immunohistochemical expression of PODXL and EGFR in tissue microarrays with tumors from two patient cohorts; (Cohort 1, n = 175) and (Cohort 2, n = 189). The effect of TGF-β-induced expression and siRNA-mediated knockdown of PODXL and EGFR, were investigated in pancreatic cancer cells (PANC-1) in vitro. We found a correlation between PODXL and EGFR in these cancers, and a synergistic adverse effect on survival. Furthermore, silencing PODXL in pancreatic cancer cells resulted in the down-regulation of EGFR, but not vice versa. Consequently, these findings suggest a functional link between PODXL and EGFR, and the potential combined utility as biomarkers possibly improving patient stratification. Further studies examining the mechanistic basis underlying these observations may open new avenues of targeted treatment options for subsets of patients affected by these particularly aggressive cancers.

摘要

壶腹周围腺癌的预后仍然很差,治疗选择有限。足细胞蛋白样蛋白(PODXL)是一种抗黏附蛋白,其高表达已被证明在许多恶性肿瘤中预示着不良预后。在结直肠癌中,已经观察到 PODXL 与表皮生长因子受体(EGFR)之间存在相关性和不良预后协同作用。在这里,我们研究了这是否也适用于壶腹周围腺癌。我们分析了来自两个患者队列的组织微阵列中 PODXL 和 EGFR 的免疫组织化学表达;(队列 1,n = 175)和(队列 2,n = 189)。在体外研究了 TGF-β诱导的 PODXL 和 EGFR 的表达以及 siRNA 介导的敲低对胰腺癌细胞(PANC-1)的影响。我们发现这些癌症中 PODXL 与 EGFR 之间存在相关性,并且对生存有协同的不良影响。此外,沉默胰腺癌细胞中的 PODXL 导致 EGFR 的下调,但反之则不然。因此,这些发现表明 PODXL 和 EGFR 之间存在功能联系,并且作为生物标志物具有潜在的联合应用价值,可能改善患者分层。进一步研究检查这些观察结果背后的机制基础可能为受这些特别侵袭性癌症影响的患者亚组开辟新的靶向治疗选择途径。

https://cdn.ncbi.nlm.nih.gov/pmc/blobs/54db/7316735/35dff99d2a3d/41598_2020_67187_Fig4_HTML.jpg
https://cdn.ncbi.nlm.nih.gov/pmc/blobs/54db/7316735/1b51de70faba/41598_2020_67187_Fig1_HTML.jpg
https://cdn.ncbi.nlm.nih.gov/pmc/blobs/54db/7316735/6bbe83a0ce87/41598_2020_67187_Fig2_HTML.jpg
https://cdn.ncbi.nlm.nih.gov/pmc/blobs/54db/7316735/9e0fee9df853/41598_2020_67187_Fig3_HTML.jpg
https://cdn.ncbi.nlm.nih.gov/pmc/blobs/54db/7316735/35dff99d2a3d/41598_2020_67187_Fig4_HTML.jpg
https://cdn.ncbi.nlm.nih.gov/pmc/blobs/54db/7316735/1b51de70faba/41598_2020_67187_Fig1_HTML.jpg
https://cdn.ncbi.nlm.nih.gov/pmc/blobs/54db/7316735/6bbe83a0ce87/41598_2020_67187_Fig2_HTML.jpg
https://cdn.ncbi.nlm.nih.gov/pmc/blobs/54db/7316735/9e0fee9df853/41598_2020_67187_Fig3_HTML.jpg
https://cdn.ncbi.nlm.nih.gov/pmc/blobs/54db/7316735/35dff99d2a3d/41598_2020_67187_Fig4_HTML.jpg

相似文献

1
Additive clinical impact of epidermal growth factor receptor and podocalyxin-like protein expression in pancreatic and periampullary adenocarcinomas.表皮生长因子受体和足细胞样蛋白表达在胰腺和胰周腺癌中的附加临床影响。
Sci Rep. 2020 Jun 25;10(1):10373. doi: 10.1038/s41598-020-67187-z.
2
Significant association and synergistic adverse prognostic effect of podocalyxin-like protein and epidermal growth factor receptor expression in colorectal cancer.足突细胞钙黏蛋白样蛋白与表皮生长因子受体表达在结直肠癌中的显著相关性及协同不良预后作用
J Transl Med. 2016 May 10;14(1):128. doi: 10.1186/s12967-016-0882-0.
3
Prognostic effect of hENT1, dCK and HuR expression by morphological type in periampullary adenocarcinoma, including pancreatic cancer.hENT1、dCK和HuR表达对包括胰腺癌在内的壶腹周围腺癌形态学类型的预后影响。
Acta Oncol. 2016;55(3):286-96. doi: 10.3109/0284186X.2015.1075663. Epub 2015 Sep 11.
4
Prognostic and predictive significance of podocalyxin-like protein expression in pancreatic and periampullary adenocarcinoma.足突融合蛋白样蛋白表达在胰腺和壶腹周围腺癌中的预后及预测意义
BMC Clin Pathol. 2015 May 30;15:10. doi: 10.1186/s12907-015-0009-1. eCollection 2015.
5
Cytokeratin-positive cells in the bone marrow from patients with pancreatic, periampullary malignancy and benign pancreatic disease show no prognostic information.骨髓中细胞角蛋白阳性的细胞来自胰腺、壶腹周围恶性肿瘤和良性胰腺疾病患者,但不能提供预后信息。
BMC Cancer. 2020 Nov 16;20(1):1107. doi: 10.1186/s12885-020-07510-z.
6
Podocalyxin-like protein, linked to poor prognosis of pancreatic cancers, promotes cell invasion by binding to gelsolin.足突细胞钙黏蛋白样蛋白与胰腺癌的不良预后相关,它通过与凝溶胶蛋白结合来促进细胞侵袭。
Cancer Sci. 2016 Oct;107(10):1430-1442. doi: 10.1111/cas.13018. Epub 2016 Sep 2.
7
Podocalyxin is a marker of poor prognosis in colorectal cancer.足细胞毒素是结直肠癌预后不良的一个标志物。
BMC Cancer. 2014 Jul 8;14:493. doi: 10.1186/1471-2407-14-493.
8
Predictors of long-term survival after pancreaticoduodenectomy for peri-ampullary adenocarcinoma: A retrospective study of 5-year survivors.胰十二指肠切除术治疗壶腹周围腺癌的长期生存预测因素:5 年生存者的回顾性研究。
Hepatobiliary Pancreat Dis Int. 2018 Oct;17(5):443-449. doi: 10.1016/j.hbpd.2018.08.004. Epub 2018 Aug 7.
9
Overexpression of podocalyxin-like protein is an independent factor of poor prognosis in colorectal cancer.足细胞蛋白样蛋白过表达是结直肠癌不良预后的独立因素。
Br J Cancer. 2011 Aug 23;105(5):666-72. doi: 10.1038/bjc.2011.295. Epub 2011 Aug 9.
10
Gene expression profiling identifies markers of ampullary adenocarcinoma.基因表达谱分析可确定壶腹腺癌的标志物。
Cancer Biol Ther. 2004 Jul;3(7):651-6. doi: 10.4161/cbt.3.7.919. Epub 2004 Jul 9.

引用本文的文献

1
Radiation-Induced Overexpression of TGFβ and PODXL Contributes to Colorectal Cancer Cell Radioresistance through Enhanced Motility.辐射诱导的 TGFβ 和 PODXL 过表达通过增强运动性促进结直肠癌细胞放射抵抗。
Cells. 2021 Aug 13;10(8):2087. doi: 10.3390/cells10082087.

本文引用的文献

1
Epithelial-Mesenchymal Transition Induces Podocalyxin to Promote Extravasation via Ezrin Signaling.上皮-间充质转化诱导足细胞 podocalyxin 通过 ezrin 信号促进渗出。
Cell Rep. 2018 Jul 24;24(4):962-972. doi: 10.1016/j.celrep.2018.06.092.
2
Translational study reveals a two-faced role of RBM3 in pancreatic cancer and suggests its potential value as a biomarker for improved patient stratification.转化研究揭示了RBM3在胰腺癌中的双重作用,并表明其作为改善患者分层生物标志物的潜在价值。
Oncotarget. 2017 Dec 15;9(5):6188-6200. doi: 10.18632/oncotarget.23486. eCollection 2018 Jan 19.
3
PROX1 and β-catenin are prognostic markers in pancreatic ductal adenocarcinoma.
PROX1和β-连环蛋白是胰腺导管腺癌的预后标志物。
BMC Cancer. 2016 Jul 13;16:472. doi: 10.1186/s12885-016-2497-5.
4
Significant association and synergistic adverse prognostic effect of podocalyxin-like protein and epidermal growth factor receptor expression in colorectal cancer.足突细胞钙黏蛋白样蛋白与表皮生长因子受体表达在结直肠癌中的显著相关性及协同不良预后作用
J Transl Med. 2016 May 10;14(1):128. doi: 10.1186/s12967-016-0882-0.
5
Expression and Prognostic Significance of Human Epidermal Growth Factor Receptors 1, 2 and 3 in Periampullary Adenocarcinoma.人表皮生长因子受体1、2和3在壶腹周围腺癌中的表达及预后意义
PLoS One. 2016 Apr 12;11(4):e0153533. doi: 10.1371/journal.pone.0153533. eCollection 2016.
6
Podocalyxin Is a Marker of Poor Prognosis in Pancreatic Ductal Adenocarcinoma.足细胞毒素是胰腺导管腺癌预后不良的标志物。
PLoS One. 2015 Jun 8;10(6):e0129012. doi: 10.1371/journal.pone.0129012. eCollection 2015.
7
Prognostic and predictive significance of podocalyxin-like protein expression in pancreatic and periampullary adenocarcinoma.足突融合蛋白样蛋白表达在胰腺和壶腹周围腺癌中的预后及预测意义
BMC Clin Pathol. 2015 May 30;15:10. doi: 10.1186/s12907-015-0009-1. eCollection 2015.
8
Reduced expression of the polymeric immunoglobulin receptor in pancreatic and periampullary adenocarcinoma signifies tumour progression and poor prognosis.胰腺和壶腹周围腺癌中聚合免疫球蛋白受体表达降低预示肿瘤进展及预后不良。
PLoS One. 2014 Nov 14;9(11):e112728. doi: 10.1371/journal.pone.0112728. eCollection 2014.
9
Prognostic and treatment predictive significance of SATB1 and SATB2 expression in pancreatic and periampullary adenocarcinoma.SATB1和SATB2表达在胰腺和壶腹周围腺癌中的预后及治疗预测意义
J Transl Med. 2014 Oct 17;12:289. doi: 10.1186/s12967-014-0289-8.
10
Podocalyxin is a marker of poor prognosis in colorectal cancer.足细胞毒素是结直肠癌预后不良的一个标志物。
BMC Cancer. 2014 Jul 8;14:493. doi: 10.1186/1471-2407-14-493.