• 文献检索
  • 文档翻译
  • 深度研究
  • 学术资讯
  • Suppr Zotero 插件Zotero 插件
  • 邀请有礼
  • 套餐&价格
  • 历史记录
应用&插件
Suppr Zotero 插件Zotero 插件浏览器插件Mac 客户端Windows 客户端微信小程序
定价
高级版会员购买积分包购买API积分包
服务
文献检索文档翻译深度研究API 文档MCP 服务
关于我们
关于 Suppr公司介绍联系我们用户协议隐私条款
关注我们

Suppr 超能文献

核心技术专利:CN118964589B侵权必究
粤ICP备2023148730 号-1Suppr @ 2026

文献检索

告别复杂PubMed语法,用中文像聊天一样搜索,搜遍4000万医学文献。AI智能推荐,让科研检索更轻松。

立即免费搜索

文件翻译

保留排版,准确专业,支持PDF/Word/PPT等文件格式,支持 12+语言互译。

免费翻译文档

深度研究

AI帮你快速写综述,25分钟生成高质量综述,智能提取关键信息,辅助科研写作。

立即免费体验

两例免疫功能低下患者并发弥漫性肺泡出血,为严重新型冠状病毒病 2019 的并发症。

Two Immunocompromised Patients With Diffuse Alveolar Hemorrhage as a Complication of Severe Coronavirus Disease 2019.

机构信息

Department of Internal Medicine, Rheumatology and Immunology, medius Klinik Kirchheim, Academic Teaching Hospital University of Tübingen, Kirchheim unter Teck, Germany.

Department of Internal Medicine, Rheumatology and Immunology, medius Klinik Kirchheim, Academic Teaching Hospital University of Tübingen, Kirchheim unter Teck, Germany.

出版信息

Chest. 2020 Nov;158(5):e215-e219. doi: 10.1016/j.chest.2020.06.051. Epub 2020 Jul 2.

DOI:10.1016/j.chest.2020.06.051
PMID:32622819
原文链接:https://pmc.ncbi.nlm.nih.gov/articles/PMC7331533/
Abstract

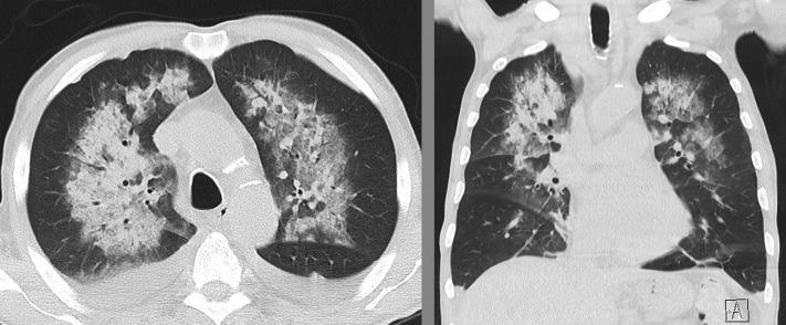
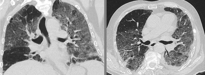
Diffuse alveolar hemorrhage (DAH) is a severe and potentially life-threatening disease manifestation. In addition to autoimmune diseases such as antineutrophil cytoplasmic antibody-associated vasculitis and anti-glomerular basement membrane syndrome, pulmonary viral infections are known to be culprits of DAH. Health-care providers worldwide in the coronavirus disease 2019 pandemic have been confronted with an unprecedented number of viral lung infections, with great variance in symptoms and severity. Hemoptysis, the key symptom of DAH, is a rare complication. We present two cases of immunocompromised patients with rapidly developing hypoxemic respiratory failure and evidence of DAH in the context of severe acute respiratory syndrome coronavirus 2 infection.

摘要

弥漫性肺泡出血 (DAH) 是一种严重且可能危及生命的疾病表现。除了抗中性粒细胞胞质抗体相关性血管炎和抗肾小球基底膜综合征等自身免疫性疾病外,肺病毒感染也已知是 DAH 的罪魁祸首。在 2019 年冠状病毒病大流行期间,全球的医疗保健提供者面临着数量空前的病毒性肺部感染,症状和严重程度差异很大。咯血是 DAH 的关键症状,但较为罕见。我们报告了两例免疫功能低下患者的病例,他们在严重急性呼吸综合征冠状病毒 2 感染的背景下迅速出现低氧血症性呼吸衰竭和 DAH 的证据。

https://cdn.ncbi.nlm.nih.gov/pmc/blobs/5096/7331533/31a6891d3f6e/gr2_lrg.jpg
https://cdn.ncbi.nlm.nih.gov/pmc/blobs/5096/7331533/18d80f5559ea/gr1_lrg.jpg
https://cdn.ncbi.nlm.nih.gov/pmc/blobs/5096/7331533/31a6891d3f6e/gr2_lrg.jpg
https://cdn.ncbi.nlm.nih.gov/pmc/blobs/5096/7331533/18d80f5559ea/gr1_lrg.jpg
https://cdn.ncbi.nlm.nih.gov/pmc/blobs/5096/7331533/31a6891d3f6e/gr2_lrg.jpg

相似文献

1
Two Immunocompromised Patients With Diffuse Alveolar Hemorrhage as a Complication of Severe Coronavirus Disease 2019.两例免疫功能低下患者并发弥漫性肺泡出血,为严重新型冠状病毒病 2019 的并发症。
Chest. 2020 Nov;158(5):e215-e219. doi: 10.1016/j.chest.2020.06.051. Epub 2020 Jul 2.
2
Hypercoagulability and coronavirus disease 2019-associated hypoxemic respiratory failure: Mechanisms and emerging management paradigms.高凝状态与2019冠状病毒病相关的低氧性呼吸衰竭:机制与新出现的管理模式
J Trauma Acute Care Surg. 2020 Dec;89(6):e177-e181. doi: 10.1097/TA.0000000000002938.
3
COVID-19 associated viral myocarditis: does it exist?新型冠状病毒肺炎相关的病毒性心肌炎:它存在吗?
Monaldi Arch Chest Dis. 2020 Sep 9;90(4). doi: 10.4081/monaldi.2020.1382.
4
Autopsy findings from the first known death from Severe Acute Respiratory Syndrome SARS-CoV-2 in Spain.西班牙首例已知的严重急性呼吸综合征冠状病毒2型(SARS-CoV-2)死亡病例的尸检结果。
Rev Esp Patol. 2020 Jul-Sep;53(3):188-192. doi: 10.1016/j.patol.2020.04.002. Epub 2020 May 11.
5
Computing the Effects of SARS-CoV-2 on Respiration Regulatory Mechanisms in COVID-19.计算 SARS-CoV-2 对 COVID-19 中呼吸调节机制的影响。
ACS Chem Neurosci. 2020 Aug 19;11(16):2416-2421. doi: 10.1021/acschemneuro.0c00349. Epub 2020 Aug 11.
6
Clinical characteristics of four cancer patients with SARS-CoV-2 infection in Wuhan, China.中国武汉 4 例新型冠状病毒感染的癌症患者的临床特征。
Infect Dis Poverty. 2020 Jul 2;9(1):82. doi: 10.1186/s40249-020-00707-1.
7
A Patient with Cryoglobulinemic Membranoproliferative GN (MPGN) Who Survived COVID-19 Disease: Case Presentation and Current Data of COVID-19 Infection in Dialysis and Transplanted Patients in Greece.一位患有冷球蛋白血症性膜增生性肾小球肾炎(MPGN)的 COVID-19 幸存者:病例报告及希腊透析和移植患者 COVID-19 感染的现有数据。
Medicina (Kaunas). 2020 Jul 17;56(7):355. doi: 10.3390/medicina56070355.
8
Implications of COVID-19 Outbreak on Immune Therapies in Multiple Sclerosis Patients-Lessons Learned From SARS and MERS.COVID-19 疫情对多发性硬化症患者免疫治疗的影响——从 SARS 和 MERS 中吸取的教训。
Front Immunol. 2020 May 12;11:1059. doi: 10.3389/fimmu.2020.01059. eCollection 2020.
9
SARS-CoV-2 infection in immunocompromised patients: humoral versus cell-mediated immunity.SARS-CoV-2 感染免疫功能低下患者:体液免疫与细胞免疫。
J Immunother Cancer. 2020 Jul;8(2). doi: 10.1136/jitc-2020-000862.
10
A COVID-19 Patient with Repeatedly Undetectable SARS-CoV-2 Antibodies.一名严重急性呼吸综合征冠状病毒2(SARS-CoV-2)抗体多次检测不到的新型冠状病毒肺炎(COVID-19)患者。
J Appl Lab Med. 2020 Nov 1;5(6):1401-1405. doi: 10.1093/jalm/jfaa137.

引用本文的文献

1
Unvaccinated and Unprepared: A COVID-19 Saga of Diffuse Alveolar Hemorrhage.未接种疫苗且毫无准备:一段新冠病毒引发弥漫性肺泡出血的故事
Cureus. 2025 Jan 6;17(1):e77036. doi: 10.7759/cureus.77036. eCollection 2025 Jan.
2
Unveiling the Pathological Mechanisms of Death Induced by SARS-CoV-2 Viral Pneumonia.揭示严重急性呼吸综合征冠状病毒2型病毒性肺炎所致死亡的病理机制
Microorganisms. 2024 Feb 24;12(3):459. doi: 10.3390/microorganisms12030459.
3
Diffuse Alveolar Hemorrhage Associated With Severe Acute Respiratory Syndrome Coronavirus 2.与严重急性呼吸综合征冠状病毒2相关的弥漫性肺泡出血

本文引用的文献

1
Pulmonary Vascular Endothelialitis, Thrombosis, and Angiogenesis in Covid-19.新型冠状病毒肺炎的肺血管内皮细胞炎症、血栓形成和血管生成。
N Engl J Med. 2020 Jul 9;383(2):120-128. doi: 10.1056/NEJMoa2015432. Epub 2020 May 21.
2
Coronavirus Disease 2019 (COVID-19): Role of Chest CT in Diagnosis and Management.新型冠状病毒病 2019(COVID-19):胸部 CT 在诊断和管理中的作用。
AJR Am J Roentgenol. 2020 Jun;214(6):1280-1286. doi: 10.2214/AJR.20.22954. Epub 2020 Mar 4.
3
Imaging changes in severe COVID-19 pneumonia.重症新型冠状病毒肺炎的影像学改变
Cureus. 2021 Dec 5;13(12):e20171. doi: 10.7759/cureus.20171. eCollection 2021 Dec.
4
Long-term stability and protection efficacy of the RBD-targeting COVID-19 mRNA vaccine in nonhuman primates.靶向 RBD 的 COVID-19 mRNA 疫苗在非人灵长类动物中的长期稳定性和保护效力。
Signal Transduct Target Ther. 2021 Dec 24;6(1):438. doi: 10.1038/s41392-021-00861-4.
5
New Onset of Autoimmune Diseases Following COVID-19 Diagnosis.新冠病毒感染后自身免疫性疾病的新发病例。
Cells. 2021 Dec 20;10(12):3592. doi: 10.3390/cells10123592.
6
Management of therapeutic unfractionated heparin in COVID-19 patients: A retrospective cohort study.COVID-19患者中普通肝素治疗的管理:一项回顾性队列研究。
Res Pract Thromb Haemost. 2021 May 7;5(4):e12521. doi: 10.1002/rth2.12521. eCollection 2021 May.
7
Cytopathology of bronchoalveolar lavages in COVID___19 pneumonia: A pilot study.COVID-19 肺炎支气管肺泡灌洗液的细胞病理学:一项初步研究。
Cancer Cytopathol. 2021 Aug;129(8):632-641. doi: 10.1002/cncy.22422. Epub 2021 Mar 10.
Intensive Care Med. 2020 Apr;46(4):583-585. doi: 10.1007/s00134-020-05976-w. Epub 2020 Mar 3.
4
Clinical Characteristics of Coronavirus Disease 2019 in China.《中国 2019 年冠状病毒病临床特征》
N Engl J Med. 2020 Apr 30;382(18):1708-1720. doi: 10.1056/NEJMoa2002032. Epub 2020 Feb 28.
5
Radiological findings from 81 patients with COVID-19 pneumonia in Wuhan, China: a descriptive study.中国武汉 81 例新冠肺炎患者的放射学特征:一项描述性研究。
Lancet Infect Dis. 2020 Apr;20(4):425-434. doi: 10.1016/S1473-3099(20)30086-4. Epub 2020 Feb 24.
6
Characteristics of and Important Lessons From the Coronavirus Disease 2019 (COVID-19) Outbreak in China: Summary of a Report of 72 314 Cases From the Chinese Center for Disease Control and Prevention.中国2019年冠状病毒病(COVID-19)疫情的特征及重要经验教训:来自中国疾病预防控制中心72314例病例报告的总结
JAMA. 2020 Apr 7;323(13):1239-1242. doi: 10.1001/jama.2020.2648.
7
Incubation Period and Other Epidemiological Characteristics of 2019 Novel Coronavirus Infections with Right Truncation: A Statistical Analysis of Publicly Available Case Data.2019新型冠状病毒感染右删失情况下的潜伏期及其他流行病学特征:基于公开病例数据的统计分析
J Clin Med. 2020 Feb 17;9(2):538. doi: 10.3390/jcm9020538.
8
Clinical characteristics of 140 patients infected with SARS-CoV-2 in Wuhan, China.中国武汉 140 名 SARS-CoV-2 感染患者的临床特征。
Allergy. 2020 Jul;75(7):1730-1741. doi: 10.1111/all.14238. Epub 2020 Feb 27.
9
Detection of 2019 novel coronavirus (2019-nCoV) by real-time RT-PCR.实时 RT-PCR 检测 2019 新型冠状病毒(2019-nCoV)
Euro Surveill. 2020 Jan;25(3). doi: 10.2807/1560-7917.ES.2020.25.3.2000045.
10
Infectious diseases causing diffuse alveolar hemorrhage in immunocompetent patients: a state-of-the-art review.免疫功能正常患者中引起弥漫性肺泡出血的传染性疾病:最新综述。
Lung. 2013 Feb;191(1):9-18. doi: 10.1007/s00408-012-9431-7. Epub 2012 Nov 6.