• 文献检索
  • 文档翻译
  • 深度研究
  • 学术资讯
  • Suppr Zotero 插件Zotero 插件
  • 邀请有礼
  • 套餐&价格
  • 历史记录
应用&插件
Suppr Zotero 插件Zotero 插件浏览器插件Mac 客户端Windows 客户端微信小程序
定价
高级版会员购买积分包购买API积分包
服务
文献检索文档翻译深度研究API 文档MCP 服务
关于我们
关于 Suppr公司介绍联系我们用户协议隐私条款
关注我们

Suppr 超能文献

核心技术专利:CN118964589B侵权必究
粤ICP备2023148730 号-1Suppr @ 2026

文献检索

告别复杂PubMed语法,用中文像聊天一样搜索,搜遍4000万医学文献。AI智能推荐,让科研检索更轻松。

立即免费搜索

文件翻译

保留排版,准确专业,支持PDF/Word/PPT等文件格式,支持 12+语言互译。

免费翻译文档

深度研究

AI帮你快速写综述,25分钟生成高质量综述,智能提取关键信息,辅助科研写作。

立即免费体验

尾椎退化综合征与盆腔肾:病例报告

Caudal regression syndrome and a pelvic kidney: case report.

作者信息

Hage Dany, Iwanaga Joe, Dumont Aaron S, Tubbs R Shane

机构信息

Department of Neurosurgery, Tulane Center for Clinical Neurosciences, Tulane University School of Medicine, New Orleans, LA, USA.

Department of Structural and Cellular Biology, Tulane University School of Medicine, New Orleans, LA, USA.

出版信息

Anat Cell Biol. 2020 Dec 31;53(4):509-511. doi: 10.5115/acb.20.057.

DOI:10.5115/acb.20.057
PMID:32647073
原文链接:https://pmc.ncbi.nlm.nih.gov/articles/PMC7769103/
Abstract

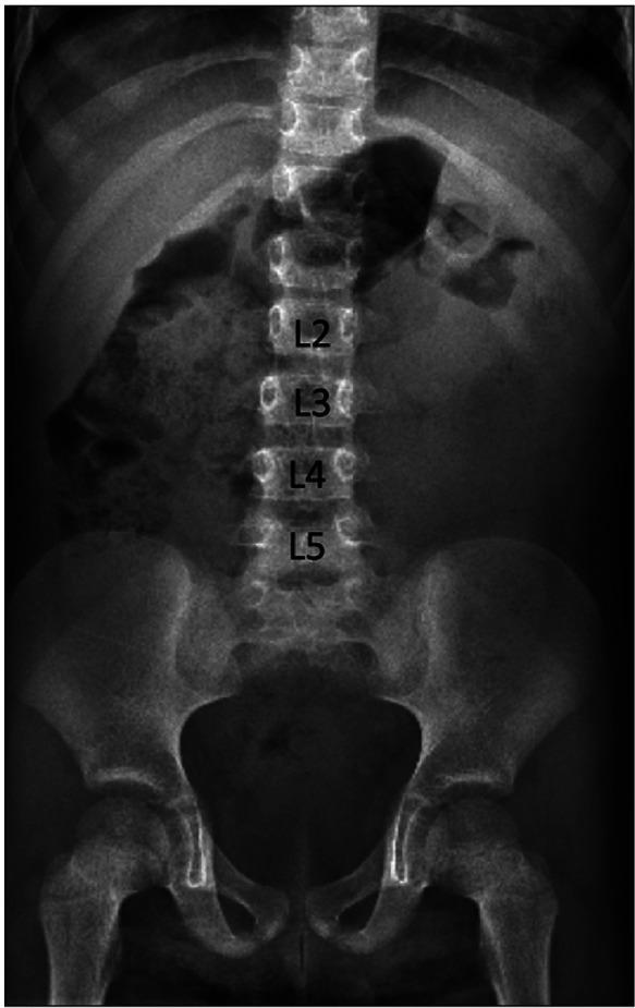
Caudal regression syndrome (CRS) is a rare congenital variation. A high incidence of renal and genitourinary malformations has been observed in patients with CRS, with the most common being neurogenic bladder and renal agenesis. We report a rare case report documenting both CRS and a pelvic kidney found during a diagnostic magnetic resonance imaging. Although renal anatomy variants are found in patients with CRS, a pelvic kidney is normally not part of the constellation of findings in this malformation. As seen in our patient, a pelvic kidney should be considered in patients suspected of having CRS.

摘要

尾椎退化综合征(CRS)是一种罕见的先天性变异。在CRS患者中观察到肾脏和泌尿生殖系统畸形的发生率很高,最常见的是神经源性膀胱和肾缺如。我们报告了一例罕见病例,记录了在诊断性磁共振成像中发现的CRS和盆腔肾。虽然在CRS患者中发现了肾脏解剖变异,但盆腔肾通常不是这种畸形的一系列表现的一部分。如我们的患者所见,对于疑似患有CRS的患者应考虑盆腔肾的存在。

https://cdn.ncbi.nlm.nih.gov/pmc/blobs/d5e4/7769103/87c45cb7ee83/ACB-53-509-f2.jpg
https://cdn.ncbi.nlm.nih.gov/pmc/blobs/d5e4/7769103/05987c22fa80/ACB-53-509-f1.jpg
https://cdn.ncbi.nlm.nih.gov/pmc/blobs/d5e4/7769103/87c45cb7ee83/ACB-53-509-f2.jpg
https://cdn.ncbi.nlm.nih.gov/pmc/blobs/d5e4/7769103/05987c22fa80/ACB-53-509-f1.jpg
https://cdn.ncbi.nlm.nih.gov/pmc/blobs/d5e4/7769103/87c45cb7ee83/ACB-53-509-f2.jpg

相似文献

1
Caudal regression syndrome and a pelvic kidney: case report.尾椎退化综合征与盆腔肾:病例报告
Anat Cell Biol. 2020 Dec 31;53(4):509-511. doi: 10.5115/acb.20.057.
2
Caudal regression syndrome: Postnatal radiological diagnosis with literature review of 83 cases.尾椎退化综合征:产后影像学诊断及83例文献回顾
Radiol Case Rep. 2022 Sep 29;17(12):4636-4641. doi: 10.1016/j.radcr.2022.09.037. eCollection 2022 Dec.
3
Neurogenic Bladder-Induced Stone in a Pelvic Kidney of a Caudal Regression Syndrome Patient: Management of a Complex Case.尾椎退化综合征患者盆腔肾中神经源性膀胱诱发结石:复杂病例的处理
Cureus. 2022 May 30;14(5):e25479. doi: 10.7759/cureus.25479. eCollection 2022 May.
4
Segmental spinal dysgenesis: neuroradiologic findings with clinical and embryologic correlation.节段性脊柱发育不全:神经放射学表现及其与临床和胚胎学的相关性
AJNR Am J Neuroradiol. 1999 Mar;20(3):445-56.
5
A case of caudal regression syndrome: walking or sitting?一例尾椎退化综合征病例:行走还是坐着?
Pan Afr Med J. 2014 May 26;18:92. doi: 10.11604/pamj.2014.18.92.3683. eCollection 2014.
6
Caudal Regression Syndrome-A Narrative Review: An Orthopedic Point of View.尾椎退化综合征——叙述性综述:骨科视角
Children (Basel). 2023 Mar 19;10(3):589. doi: 10.3390/children10030589.
7
Long-term urologic outcome in patients with caudal regression syndrome, compared with meningomyelocele and spinal cord lipoma.与脊髓脊膜膨出和脊髓脂肪瘤相比,尾椎退化综合征患者的长期泌尿系统预后。
J Pediatr Surg. 2008 Mar;43(3):530-3. doi: 10.1016/j.jpedsurg.2007.10.036.
8
Caudal regression syndrome from radiology and clinical perspective: A case series and a proposed new integrated diagnostic algorithm.从放射学和临床角度看尾椎退化综合征:病例系列及一种新的综合诊断算法建议
Radiol Case Rep. 2023 May 12;18(7):2478-2486. doi: 10.1016/j.radcr.2023.04.015. eCollection 2023 Jul.
9
HLXB9 homeobox gene and caudal regression syndrome.HLXB9 同源盒基因与尾部退化综合征。
Birth Defects Res A Clin Mol Teratol. 2006 Mar;76(3):205-9. doi: 10.1002/bdra.20234.
10
Caudal Regression Syndrome First Diagnosed in Adulthood: A Case Report and a Review of the Literature.成年期首次诊断的尾椎退化综合征:一例报告及文献综述
Diagnostics (Basel). 2024 May 11;14(10):1000. doi: 10.3390/diagnostics14101000.

引用本文的文献

1
Radiological and clinical aspect of Caudal regression syndrome associated with dorsal hemivertebra without maternal diabetes.无母体糖尿病的尾椎退化综合征合并背侧半椎体的放射学和临床特征
Radiol Case Rep. 2024 Jun 6;19(8):3548-3551. doi: 10.1016/j.radcr.2024.05.002. eCollection 2024 Aug.
2
Continence management in children with severe caudal regression syndrome: role of multidisciplinary team and long-term follow-up.儿童严重尾退化综合征的控尿管理:多学科团队和长期随访的作用。
Pediatr Surg Int. 2022 Oct;38(10):1461-1472. doi: 10.1007/s00383-022-05168-1. Epub 2022 Aug 9.

本文引用的文献

1
Pelvic Kidney: A Review of the Literature.盆腔肾:文献综述
Cureus. 2018 Jun 9;10(6):e2775. doi: 10.7759/cureus.2775.
2
Caudal Regression Syndrome.尾部退化综合征
Med J Armed Forces India. 2007 Apr;63(2):178-9. doi: 10.1016/S0377-1237(07)80071-2. Epub 2011 Jul 21.
3
Horseshoe kidney: a review of anatomy and pathology.马蹄肾:解剖学与病理学综述
Surg Radiol Anat. 2014 Aug;36(6):517-26. doi: 10.1007/s00276-013-1229-7. Epub 2013 Nov 1.
4
Hydronephrosis: a view from the inside.积水:来自内部的视角。
Pediatr Clin North Am. 2012 Aug;59(4):839-51. doi: 10.1016/j.pcl.2012.05.008.
5
Neuropathic Bladder Caused by Caudal Regression Syndrome without Any Other Neurogenic Symptoms.尾椎退化综合征所致神经源性膀胱,无其他神经源性症状。
Case Rep Med. 2012;2012:982418. doi: 10.1155/2012/982418. Epub 2012 Jun 12.
6
Risk factors for renal function impairment in a series of 502 patients born with spinal dysraphisms.502 例脊膜脊髓膨出患儿的肾功能损害危险因素分析。
J Pediatr Urol. 2011 Feb;7(1):39-43. doi: 10.1016/j.jpurol.2010.02.210. Epub 2010 Apr 2.
7
Long-term urologic outcome in patients with caudal regression syndrome, compared with meningomyelocele and spinal cord lipoma.与脊髓脊膜膨出和脊髓脂肪瘤相比,尾椎退化综合征患者的长期泌尿系统预后。
J Pediatr Surg. 2008 Mar;43(3):530-3. doi: 10.1016/j.jpedsurg.2007.10.036.
8
Pelvic kidney: associated diseases and treatment.盆腔肾:相关疾病与治疗
J Endourol. 2007 Aug;21(8):836-42. doi: 10.1089/end.2007.9945.
9
Implication of Wt1 in the pathogenesis of nephrogenic failure in a mouse model of retinoic acid-induced caudal regression syndrome.Wt1在视黄酸诱导的尾部退化综合征小鼠模型肾源性衰竭发病机制中的作用
Am J Pathol. 2005 May;166(5):1295-307. doi: 10.1016/S0002-9440(10)62349-8.
10
Obstructive uropathy: an important cause of chronic renal failure in children.
Clin Pediatr (Phila). 2002 Jun;41(5):309-14. doi: 10.1177/000992280204100503.