• 文献检索
  • 文档翻译
  • 深度研究
  • 学术资讯
  • Suppr Zotero 插件Zotero 插件
  • 邀请有礼
  • 套餐&价格
  • 历史记录
应用&插件
Suppr Zotero 插件Zotero 插件浏览器插件Mac 客户端Windows 客户端微信小程序
定价
高级版会员购买积分包购买API积分包
服务
文献检索文档翻译深度研究API 文档MCP 服务
关于我们
关于 Suppr公司介绍联系我们用户协议隐私条款
关注我们

Suppr 超能文献

核心技术专利:CN118964589B侵权必究
粤ICP备2023148730 号-1Suppr @ 2026

文献检索

告别复杂PubMed语法,用中文像聊天一样搜索,搜遍4000万医学文献。AI智能推荐,让科研检索更轻松。

立即免费搜索

文件翻译

保留排版,准确专业,支持PDF/Word/PPT等文件格式,支持 12+语言互译。

免费翻译文档

深度研究

AI帮你快速写综述,25分钟生成高质量综述,智能提取关键信息,辅助科研写作。

立即免费体验

厄洛替尼联合贝伐珠单抗治疗 EGFR 突变非小细胞肺癌患者的意外良好结局:一例报告。

Unexpected favorable outcome to sintilimab plus bevacizumab in an EGFR-mutated non-small cell lung cancer patient: A case report.

机构信息

Department of Oncology, The First Affiliated Hospital of Anhui Medical Universtiy, Hefei, China.

Burning Rock Biotech, Guangzhou, China.

出版信息

Thorac Cancer. 2020 Sep;11(9):2717-2722. doi: 10.1111/1759-7714.13569. Epub 2020 Jul 13.

DOI:10.1111/1759-7714.13569
PMID:32656988
原文链接:https://pmc.ncbi.nlm.nih.gov/articles/PMC7471034/
Abstract

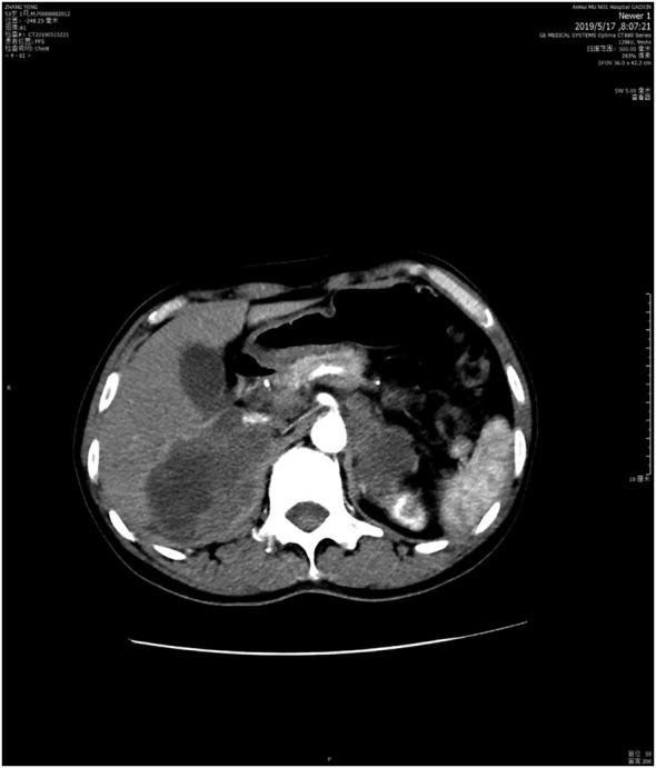
A 53-year-old man diagnosed with disease stage IIIB pulmonary adenocarcinoma underwent chemotherapy and radiotherapy in the first-line setting. After disease progression, he received targeted therapy because of subsequent detection of EGFR exon 19 del mutation. Following an increase in his adrenal metastases, a combination of immunotherapy and antiangiogenic therapy (sintilimab plus bevacizumab) was commenced. After one month, imaging showed that the adrenal metastases had shrunk and a progression-free survival (PFS) of 6.0 months was achieved. In this case, we showed that the PD1 inhibitor sintilimab plus bevacizumab was effective in a refactory advanced EGFR-mutant NSCLC with positive PD-L1 expression. KEY POINTS: Our case report provides clinical evidence of the durable response of a patient with advanced EGFR-mutant lung adenocarcinoma to a combination of immunotherapy and anti-angiogenic agent, sintilimab and bevacizumab, as subsequent-line therapy. Sintilimab and bevacizumab combination therapy was well-tolerated and effective, resulting in dramatic tumor reduction and improvement in clinical symptoms.

摘要

一位 53 岁男性被诊断为 IIIB 期肺腺癌,在一线治疗中接受了化疗和放疗。疾病进展后,由于随后检测到 EGFR 外显子 19 缺失突变,他接受了靶向治疗。在肾上腺转移增加后,开始联合免疫治疗和抗血管生成治疗(信迪利单抗联合贝伐珠单抗)。一个月后,影像学显示肾上腺转移缩小,无进展生存期(PFS)达到 6.0 个月。在这种情况下,我们表明 PD1 抑制剂信迪利单抗联合贝伐珠单抗对具有阳性 PD-L1 表达的难治性晚期 EGFR 突变型 NSCLC 有效。关键点:我们的病例报告为晚期 EGFR 突变型肺腺癌患者随后接受免疫治疗和抗血管生成药物信迪利单抗联合贝伐珠单抗联合治疗的持久反应提供了临床证据。信迪利单抗联合贝伐珠单抗治疗耐受性良好,疗效显著,肿瘤明显缩小,临床症状改善。

https://cdn.ncbi.nlm.nih.gov/pmc/blobs/ebfd/7471034/17162d18ae85/TCA-11-2717-g004.jpg
https://cdn.ncbi.nlm.nih.gov/pmc/blobs/ebfd/7471034/90ebdf21f179/TCA-11-2717-g001.jpg
https://cdn.ncbi.nlm.nih.gov/pmc/blobs/ebfd/7471034/1aaf674db38d/TCA-11-2717-g002.jpg
https://cdn.ncbi.nlm.nih.gov/pmc/blobs/ebfd/7471034/afd0fc44054b/TCA-11-2717-g003.jpg
https://cdn.ncbi.nlm.nih.gov/pmc/blobs/ebfd/7471034/17162d18ae85/TCA-11-2717-g004.jpg
https://cdn.ncbi.nlm.nih.gov/pmc/blobs/ebfd/7471034/90ebdf21f179/TCA-11-2717-g001.jpg
https://cdn.ncbi.nlm.nih.gov/pmc/blobs/ebfd/7471034/1aaf674db38d/TCA-11-2717-g002.jpg
https://cdn.ncbi.nlm.nih.gov/pmc/blobs/ebfd/7471034/afd0fc44054b/TCA-11-2717-g003.jpg
https://cdn.ncbi.nlm.nih.gov/pmc/blobs/ebfd/7471034/17162d18ae85/TCA-11-2717-g004.jpg

相似文献

1
Unexpected favorable outcome to sintilimab plus bevacizumab in an EGFR-mutated non-small cell lung cancer patient: A case report.厄洛替尼联合贝伐珠单抗治疗 EGFR 突变非小细胞肺癌患者的意外良好结局:一例报告。
Thorac Cancer. 2020 Sep;11(9):2717-2722. doi: 10.1111/1759-7714.13569. Epub 2020 Jul 13.
2
Sintilimab plus a bevacizumab biosimilar (IBI305) versus sorafenib in unresectable hepatocellular carcinoma (ORIENT-32): a randomised, open-label, phase 2-3 study.信迪利单抗联合贝伐珠单抗生物类似药(IBI305)对比索拉非尼治疗不可切除肝细胞癌(ORIENT-32):一项随机、开放标签的2/3期研究
Lancet Oncol. 2021 Jul;22(7):977-990. doi: 10.1016/S1470-2045(21)00252-7. Epub 2021 Jun 15.
3
Pembrolizumab and chemotherapy in non-small cell lung cancer with EGFR ex20ins mutation: A case report.帕博利珠单抗联合化疗治疗 EGFR ex20ins 突变非小细胞肺癌 1 例报告
Thorac Cancer. 2021 Oct;12(20):2803-2806. doi: 10.1111/1759-7714.14101. Epub 2021 Aug 11.
4
Case report: Sintilimab combined with anlotinib as neoadjuvant chemotherapy for metastatic bone tumor resection in patients with PSC.病例报告:信迪利单抗联合安罗替尼用于 PSC 患者转移性骨肿瘤切除的新辅助化疗。
Front Immunol. 2024 May 2;15:1372279. doi: 10.3389/fimmu.2024.1372279. eCollection 2024.
5
Erlotinib alone or with bevacizumab as first-line therapy in patients with advanced non-squamous non-small-cell lung cancer harbouring EGFR mutations (JO25567): an open-label, randomised, multicentre, phase 2 study.厄洛替尼单药或联合贝伐珠单抗作为 EGFR 突变的晚期非鳞状非小细胞肺癌患者的一线治疗(JO25567):一项开放标签、随机、多中心、Ⅱ期研究。
Lancet Oncol. 2014 Oct;15(11):1236-44. doi: 10.1016/S1470-2045(14)70381-X. Epub 2014 Aug 27.
6
Phase 1b Study of Sintilimab Plus Anlotinib as First-line Therapy in Patients With Advanced NSCLC.信迪利单抗联合安罗替尼作为晚期 NSCLC 患者一线治疗的 1b 期研究。
J Thorac Oncol. 2021 Apr;16(4):643-652. doi: 10.1016/j.jtho.2020.11.026. Epub 2021 Jan 29.
7
Phase II trial of gefitinib in combination with bevacizumab as first-line therapy for advanced non-small cell lung cancer with activating EGFR gene mutations: the Okayama Lung Cancer Study Group Trial 1001.表皮生长因子受体基因突变阳性的晚期非小细胞肺癌患者一线应用吉非替尼联合贝伐珠单抗治疗的 II 期临床研究:冈山县肺癌研究组 1001 期临床研究
J Thorac Oncol. 2015 Mar;10(3):486-91. doi: 10.1097/JTO.0000000000000434.
8
EGFR-TKIs plus bevacizumab demonstrated survival benefit than EGFR-TKIs alone in patients with EGFR-mutant NSCLC and multiple brain metastases.表皮生长因子受体酪氨酸激酶抑制剂(EGFR-TKIs)联合贝伐珠单抗治疗表皮生长因子受体(EGFR)突变型非小细胞肺癌(NSCLC)伴多发脑转移患者,较 EGFR-TKIs 单药治疗有生存获益。
Eur J Cancer. 2019 Nov;121:98-108. doi: 10.1016/j.ejca.2019.08.021. Epub 2019 Sep 27.
9
BEVERLY: Rationale and Design of a Randomized Open-Label Phase III Trial Comparing Bevacizumab Plus Erlotinib Versus Erlotinib Alone as First-Line Treatment of Patients With EGFR-Mutated Advanced Nonsquamous Non-Small-Cell Lung Cancer.贝弗利:一项随机开放标签III期试验的原理与设计,该试验比较了贝伐单抗联合厄洛替尼与单纯厄洛替尼作为表皮生长因子受体(EGFR)突变的晚期非鳞状非小细胞肺癌患者一线治疗方案的疗效。
Clin Lung Cancer. 2016 Sep;17(5):461-465. doi: 10.1016/j.cllc.2016.04.001. Epub 2016 Apr 22.
10
Afatinib + bevacizumab combination therapy in EGFR-mutant NSCLC patients with osimertinib resistance: Protocol of an open-label, phase II, multicenter, single-arm trial.阿法替尼联合贝伐珠单抗治疗奥希替尼耐药的 EGFR 突变型非小细胞肺癌患者:一项开放标签、II 期、多中心、单臂试验的方案。
Thorac Cancer. 2020 Aug;11(8):2125-2129. doi: 10.1111/1759-7714.13503. Epub 2020 Jun 3.

引用本文的文献

1
An Advanced IVB Lung Adenocarcinoma Patient With KRAS Mutations, Benefited From Camrelizumab Combined With Anti-Angiogenic Agents for Therapy: A Case Report.一例KRAS突变的晚期IVB期肺腺癌患者,从卡瑞利珠单抗联合抗血管生成药物治疗中获益:病例报告
Cancer Rep (Hoboken). 2025 Jun;8(6):e70186. doi: 10.1002/cnr2.70186.
2
Efficacy and safety of anti-programmed cell death protein 1 antibody combination therapy in patients with advanced experienced epidermal growth factor receptor-tyrosine kinase inhibitor-resistant lung adenocarcinoma: a retrospective cohort study.抗程序性细胞死亡蛋白1抗体联合疗法治疗晚期经表皮生长因子受体酪氨酸激酶抑制剂耐药肺腺癌患者的疗效和安全性:一项回顾性队列研究
J Thorac Dis. 2023 Oct 31;15(10):5648-5657. doi: 10.21037/jtd-23-1399. Epub 2023 Oct 19.
3

本文引用的文献

1
Choosing wisely first line immunotherapy in non-small cell lung cancer (NSCLC): what to add and what to leave out.明智选择非小细胞肺癌(NSCLC)一线免疫治疗:该加什么,该弃什么。
Cancer Treat Rev. 2019 May;75:39-51. doi: 10.1016/j.ctrv.2019.03.004. Epub 2019 Mar 28.
2
Atezolizumab plus bevacizumab and chemotherapy in non-small-cell lung cancer (IMpower150): key subgroup analyses of patients with EGFR mutations or baseline liver metastases in a randomised, open-label phase 3 trial.阿替利珠单抗联合贝伐珠单抗和化疗治疗非小细胞肺癌(IMpower150):一项随机、开放标签的 3 期临床试验中具有 EGFR 突变或基线肝转移患者的关键亚组分析。
Lancet Respir Med. 2019 May;7(5):387-401. doi: 10.1016/S2213-2600(19)30084-0. Epub 2019 Mar 25.
3
[Research Progress of Anti-PD-1/PD-L1 Therapy for Non-small Cell Lung Cancer 
with EGFR Mutation].[表皮生长因子受体(EGFR)突变的非小细胞肺癌抗程序性死亡蛋白1(PD-1)/程序性死亡配体1(PD-L1)治疗的研究进展]
Zhongguo Fei Ai Za Zhi. 2022 Oct 20;25(10):742-749. doi: 10.3779/j.issn.1009-3419.2022.101.44. Epub 2022 Sep 28.
4
Upper Gastrointestinal Tract IrAEs: A Case Report About Sintilimab-Induced Acute Erosive Hemorrhagic Gastritis.上消化道免疫相关不良反应:一例关于信迪利单抗诱导的急性糜烂性出血性胃炎的病例报告。
Front Immunol. 2022 Jun 3;13:840916. doi: 10.3389/fimmu.2022.840916. eCollection 2022.
5
Severe immune-related hyperthermia followed by immune-related pneumonitis with PD-1 inhibitor (sintilimab) in small cell lung cancer: A case report.小细胞肺癌患者使用 PD-1 抑制剂(信迪利单抗)后出现严重免疫相关性发热伴免疫相关性肺炎:1 例报告。
Thorac Cancer. 2021 Jun;12(11):1780-1783. doi: 10.1111/1759-7714.13967. Epub 2021 May 5.
6
The Efficacy and Safety of Anlotinib Combined With PD-1 Antibody for Third-Line or Further-Line Treatment of Patients With Advanced Non-Small-Cell Lung Cancer.安罗替尼联合PD-1抗体用于晚期非小细胞肺癌三线及以上治疗的疗效与安全性
Front Oncol. 2021 Feb 17;10:619010. doi: 10.3389/fonc.2020.619010. eCollection 2020.
7
Sintilimab: A Promising Anti-Tumor PD-1 Antibody.信迪利单抗:一种有前景的抗肿瘤PD-1抗体。
Front Oncol. 2020 Nov 26;10:594558. doi: 10.3389/fonc.2020.594558. eCollection 2020.
8
Recent updates on Sintilimab in solid tumor immunotherapy.信迪利单抗在实体瘤免疫治疗中的最新进展。
Biomark Res. 2020 Dec 1;8(1):69. doi: 10.1186/s40364-020-00250-z.
Sintilimab: First Global Approval.
信迪利单抗:全球首次获批。
Drugs. 2019 Feb;79(3):341-346. doi: 10.1007/s40265-019-1066-z.
4
Mechanism of Resistance to Epidermal Growth Factor Receptor-Tyrosine Kinase Inhibitors and a Potential Treatment Strategy.表皮生长因子受体-酪氨酸激酶抑制剂的耐药机制及潜在治疗策略
Cells. 2018 Nov 15;7(11):212. doi: 10.3390/cells7110212.
5
Global cancer statistics 2018: GLOBOCAN estimates of incidence and mortality worldwide for 36 cancers in 185 countries.全球癌症统计数据 2018:GLOBOCAN 对全球 185 个国家/地区 36 种癌症的发病率和死亡率的估计。
CA Cancer J Clin. 2018 Nov;68(6):394-424. doi: 10.3322/caac.21492. Epub 2018 Sep 12.
6
Durvalumab as third-line or later treatment for advanced non-small-cell lung cancer (ATLANTIC): an open-label, single-arm, phase 2 study.度伐利尤单抗作为晚期非小细胞肺癌的三线或后线治疗药物(ATLANTIC):一项开放标签、单臂、2 期研究。
Lancet Oncol. 2018 Apr;19(4):521-536. doi: 10.1016/S1470-2045(18)30144-X. Epub 2018 Mar 12.
7
Is it possible to rechallenge with PD-1/PD-L1 inhibitors after progression?疾病进展后再次使用PD-1/PD-L1抑制剂进行激发试验是否可行?
Immunotherapy. 2018 Apr;10(5):345-347. doi: 10.2217/imt-2017-0180.
8
Mechanisms of Resistance to PD-1 and PD-L1 Blockade.对PD-1和PD-L1阻断的耐药机制。
Cancer J. 2018 Jan/Feb;24(1):47-53. doi: 10.1097/PPO.0000000000000303.
9
Mechanisms of resistance to immune checkpoint inhibitors.免疫检查点抑制剂耐药的机制。
Br J Cancer. 2018 Jan;118(1):9-16. doi: 10.1038/bjc.2017.434. Epub 2018 Jan 2.
10
The PD-L1/PD-1 pathway promotes dysfunction, but not "exhaustion", in tumor-responding T cells from pleural effusions in lung cancer patients.PD-L1/PD-1通路促进肺癌患者胸腔积液中肿瘤反应性T细胞功能失调,但不导致“耗竭”。
Cancer Immunol Immunother. 2017 Jun;66(6):765-776. doi: 10.1007/s00262-017-1979-x. Epub 2017 Mar 13.