Department of Nephrology, Tongji Hospital, Tongji University School of Medicine , Shanghai, China.
Department of Radiation Oncology, Duke University Medical Center , Durham, NC, USA.
Gut Microbes. 2020 Nov 9;12(1):1788891. doi: 10.1080/19490976.2020.1788891. Epub 2020 Jul 18.
Increasing evidence indicates that gut microbiota plays an important role in cancer progression. However, the underlying mechanism remains largely unknown. Here, we report that broad-spectrum antibiotics (ABX) treatment leads to enhanced metastasis by the alteration of gut microbiome composition.
Cancer LLC and B16-F10 cell metastasis mouse models, and microarray/RNA sequencing analysis were used to reveal the regulatory functions of microbiota-mediated circular RNA (circRNA)/microRNA (miRNA) networks that may contribute to cancer metastasis.
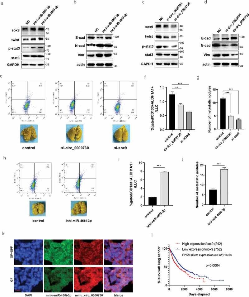
The specific pathogen-free (SPF) mice with ABX treatment demonstrated enhanced lung metastasis. Fecal microbiota transplantation (FMT) from SPF mice or Bifidobacterium into germ-free mice significantly suppressed lung metastasis. Mechanistically, gut microbiota impacts circRNA expression to regulate levels of corresponding miRNAs. Specifically, such modulations of gut microbiota inhibit mmu_circ_0000730 expression in an IL-11-dependent manner. Bioinformatics analysis combined with luciferase reporter assays revealed reciprocal repression between mmu_circ_0000730 and mmu-miR-466i-3p. We further showed that both mmu-miR-466i-3p and mmu-miR-466 f-3p suppresses a number of genes involved in epithelial-mesenchymal transition (EMT) and stemness of cancer stem cells such as SOX9.
These results provide evidence of a previously unrecognized regulatory role of non-coding RNAs in microbiota-mediated cancer metastasis, and thus, the microbiome may serve as a therapeutic target.
越来越多的证据表明,肠道微生物群在癌症进展中起着重要作用。然而,其潜在机制在很大程度上尚不清楚。在这里,我们报告广谱抗生素(ABX)治疗通过改变肠道微生物组组成导致转移增强。
使用癌症 LLC 和 B16-F10 细胞转移小鼠模型和微阵列/RNA 测序分析来揭示微生物介导的环状 RNA(circRNA)/microRNA(miRNA)网络的调节功能,这些功能可能有助于癌症转移。
接受 ABX 治疗的特定无病原体(SPF)小鼠表现出增强的肺转移。来自 SPF 小鼠或双歧杆菌的粪便微生物群移植(FMT)显著抑制了无菌小鼠的肺转移。从机制上讲,肠道微生物群影响 circRNA 表达以调节相应 miRNA 的水平。具体而言,肠道微生物群的这种调节抑制了 IL-11 依赖性的 mmu_circ_0000730 表达。生物信息学分析结合荧光素酶报告基因检测显示 mmu_circ_0000730 和 mmu-miR-466i-3p 之间存在相互抑制。我们进一步表明,mmu-miR-466i-3p 和 mmu-miR-466f-3p 均抑制了上皮-间充质转化(EMT)和癌症干细胞干性的多个基因,如 SOX9。
这些结果提供了非编码 RNA 在微生物介导的癌症转移中具有先前未被认识的调节作用的证据,因此,微生物组可能成为治疗靶点。