Suppr超能文献

过氧化物酶体增殖物激活受体γ激动剂通过多条纤维化途径减轻胆汁淤积性肝纤维化动物模型中的肝纤维化

Peroxisome Proliferator-Activated Receptor Gamma Agonist Attenuates Liver Fibrosis by Several Fibrogenic Pathways in an Animal Model of Cholestatic Fibrosis.

作者信息

Alatas Fatima Safira, Matsuura Toshiharu, Pudjiadi Antonius Hocky, Wijaya Stephanie, Taguchi Tomoaki

机构信息

Department of Pediatric Surgery, Reproductive and Developmental Medicine, Graduate School of Medical Sciences, Kyushu University, Fukuoka, Japan.

Department of Child Health, Faculty of Medicine Universitas Indonesia, Cipto Mangunkusumo Hospital, Jakarta, Indonesia.

出版信息

Pediatr Gastroenterol Hepatol Nutr. 2020 Jul;23(4):346-355. doi: 10.5223/pghn.2020.23.4.346. Epub 2020 Jul 3.

Abstract

PURPOSE

Peroxisome proliferator-activated receptor gamma (PPAR-γ) has a key role in hepatic fibrogenesis by virtue of its effect on the hepatic stellate cells (HSCs). Although many studies have shown that PPAR-γ agonists inhibit liver fibrosis, the mechanism remains largely unclear, especially regarding the cross-talk between PPAR-γ and other potent fibrogenic factors.

METHODS

This experimental study involved 25 male Wistar rats. Twenty rats were subjected to bile duct ligation (BDL) to induce liver fibrosis, further divided into an untreated group (BDL; n=10) and a group treated with the PPAR-γ agonist thiazolidinedione (TZD), at 14 days post-operation (BDL+TZD; n=10). The remaining 5 rats had a sham operation (sham; n=5). The effect of PPAR-γ agonist on liver fibrosis was evaluated by histopathology, protein immunohistochemistry, and mRNA expression quantitative polymerase chain reaction.

RESULTS

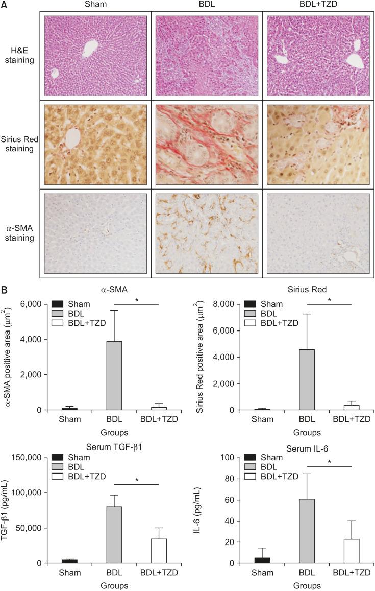
Histology and immunostaining showed markedly reduced collagen deposition, bile duct proliferation, and HSCs in the BDL+TZD group compared to those in the BDL group (<0.001). Similarly, significantly lower mRNA expression of collagen α-1(I), matrix metalloproteinase-2, platelet-derived growth factor (PDGF)-B chain, and connective tissue growth factor (CTGF) were evident in the BDL+TZD group compared to those in the BDL group (=0.0002, <0.035, <0.0001, and =0.0123 respectively). Moreover, expression of the transforming growth factor beta1 (TGF-β1) was also downregulated in the BDL+TZD group (=0.0087).

CONCLUSION

The PPAR-γ agonist inhibits HSC activation in vivo and attenuates liver fibrosis through several fibrogenic pathways. Potent fibrogenic factors such as PDGF, CTGF, and TGF-β1 were downregulated by the PPAR-γ agonist. Targeting PPAR-γ activity may be a potential strategy to control liver fibrosis.

摘要

目的

过氧化物酶体增殖物激活受体γ(PPAR-γ)因其对肝星状细胞(HSCs)的作用,在肝纤维化形成过程中起关键作用。尽管许多研究表明PPAR-γ激动剂可抑制肝纤维化,但其机制仍 largely 不清楚,尤其是关于PPAR-γ与其他强效纤维化因子之间的相互作用。

方法

本实验研究涉及25只雄性Wistar大鼠。20只大鼠接受胆管结扎(BDL)以诱导肝纤维化,进一步分为未治疗组(BDL;n = 10)和术后14天用PPAR-γ激动剂噻唑烷二酮(TZD)治疗的组(BDL + TZD;n = 10)。其余5只大鼠进行假手术(假手术;n = 5)。通过组织病理学、蛋白质免疫组织化学和mRNA表达定量聚合酶链反应评估PPAR-γ激动剂对肝纤维化的影响。

结果

组织学和免疫染色显示,与BDL组相比,BDL + TZD组的胶原沉积、胆管增生和HSCs明显减少(<0.001)。同样,与BDL组相比,BDL + TZD组中胶原α-1(I)、基质金属蛋白酶-2、血小板衍生生长因子(PDGF)-B链和结缔组织生长因子(CTGF)的mRNA表达明显降低(分别为= 0.0002、<0.035、<0.0001和= 0.0123)。此外,BDL + TZD组中转化生长因子β1(TGF-β1)的表达也下调(= 0.0087)。

结论

PPAR-γ激动剂在体内抑制HSC激活,并通过多种纤维化途径减轻肝纤维化。PPAR-γ激动剂下调了PDGF、CTGF和TGF-β1等强效纤维化因子。靶向PPAR-γ活性可能是控制肝纤维化的一种潜在策略。

https://cdn.ncbi.nlm.nih.gov/pmc/blobs/d4a0/7354870/49265aa2aa5d/pghn-23-346-g001.jpg

文献AI研究员

20分钟写一篇综述,助力文献阅读效率提升50倍。

立即体验

用中文搜PubMed

大模型驱动的PubMed中文搜索引擎

马上搜索

文档翻译

学术文献翻译模型,支持多种主流文档格式。

立即体验