Suppr超能文献

注射用促皮质素凝胶(Acthar)在移植性肾小球病继发的进行性肾病综合征中的应用:三例报告

Use of Repository Corticotropin Gel (Acthar) in Progressive Nephrotic Syndrome Secondary to Transplant Glomerulopathy: A Report of Three Cases.

作者信息

Markell Mariana, Brar Amarpali, Bhela Serena, Patel Ankita, Salifu Moro

机构信息

SUNY-Downstate School of Medicine, Brooklyn, NY.

出版信息

Kidney Med. 2019 Jan 14;1(1):31-35. doi: 10.1016/j.xkme.2018.12.003. eCollection 2019 Jan-Feb.

Abstract

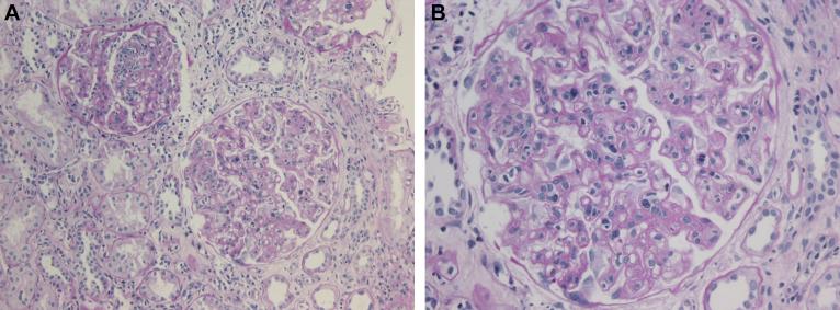
Transplant glomerulopathy is a feared complication of kidney transplantation, often resulting in rapid loss of kidney function and ultimate graft failure. The underlying cause is unclear, with both antibody and cell-mediated immune mechanisms postulated, as well as intrinsic glomerular factors. At the present time, there is no known therapy. We report here 3 cases in which corticotropin gel (Acthar) was used with varying response of proteinuria and stabilization of graft function with continued graft survival as long as 10 years following the diagnosis. Future randomized controlled trials are warranted to examine the efficacy and safety of ACTH gel therapy in nephrotic patients with transplant glomerulopathy.

摘要

移植肾小球病是肾移植令人担忧的并发症,常导致肾功能迅速丧失及最终移植肾失功。其潜在病因尚不清楚,推测有抗体和细胞介导的免疫机制以及肾小球内在因素。目前尚无已知的治疗方法。我们在此报告3例使用促肾上腺皮质激素凝胶(Acthar)的病例,蛋白尿有不同程度的反应,移植肾功能稳定,诊断后移植肾存活长达10年。未来有必要进行随机对照试验,以检验促肾上腺皮质激素凝胶疗法对移植肾小球病肾病患者的疗效和安全性。

https://cdn.ncbi.nlm.nih.gov/pmc/blobs/faed/7380415/0409d992b3a9/gr1.jpg

文献AI研究员

20分钟写一篇综述,助力文献阅读效率提升50倍。

立即体验

用中文搜PubMed

大模型驱动的PubMed中文搜索引擎

马上搜索

文档翻译

学术文献翻译模型,支持多种主流文档格式。

立即体验