Suppr超能文献

两个伴有前庭导水管扩大的中国耳聋双胞胎姐妹中发现的一个新型 SLC26A4 剪接突变。

A novel SLC26A4 splicing mutation identified in two deaf Chinese twin sisters with enlarged vestibular aqueducts.

机构信息

Department of Otolaryngology & Head and Neck, The People's Hospital of Guangxi Zhuang Autonomous Region, Nanning, China.

Guangxi Medical University, Nanning, Guangxi, China.

出版信息

Mol Genet Genomic Med. 2020 Oct;8(10):e1447. doi: 10.1002/mgg3.1447. Epub 2020 Aug 7.

Abstract

BACKGROUND

Variants in the SLC26A4 gene are correlated with nonsyndromic hearing loss with an enlarged vestibular aqueduct (EVA). This study aimed to identify the genetic causes in a Chinese family with EVA, and the pathogenicity of the detected variants.

METHODS

We collected blood samples and clinical data from a pair of deaf twin sisters with EVA and their family members. As controls, a group of 500 normal-hearing people were enrolled in our study. Twenty-one exons and flanking splice sites of the SLC26A4 gene were screened for pathogenic mutations by polymerase chain reaction and bidirectional Sanger sequencing. Minigene assays were used to verify whether the novel SLC26A4 intronic mutation influenced the normal splicing of mRNA.

RESULTS

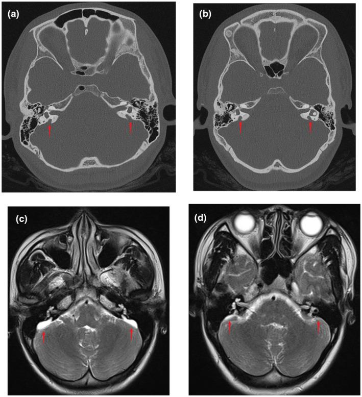
Hearing loss in the twins with EVA was diagnosed using auditory tests and imaging examinations. Two pathogenic mutations, c.919-2A>G and c.1614+5G>A were detected in SLC26A4, the latter of which has not been reported in the literature. The minigene expression in vitro confirmed that c.1614+5G>A could cause aberrant splicing, resulting in skipping over exon 14.

CONCLUSIONS

On the SLC26A4 gene, c.1614+5G>A is a pathogenic mutation. This finding enriches the mutational spectrum of the SLC26A4 gene and provides a basis for the genetic diagnosis of EVA.

摘要

背景

SLC26A4 基因中的变异与伴有扩大的前庭水管(EVA)的非综合征性听力损失有关。本研究旨在确定一个伴有 EVA 的中国家庭的遗传原因,以及所检测到的变异的致病性。

方法

我们收集了一对伴有 EVA 的耳聋双胞胎姐妹及其家庭成员的血液样本和临床数据。作为对照,我们招募了 500 名听力正常的人参加我们的研究。通过聚合酶链反应和双向 Sanger 测序筛选 SLC26A4 基因的 21 个外显子和侧翼剪接位点的致病突变。使用微基因实验来验证新发现的 SLC26A4 内含子突变是否影响 mRNA 的正常剪接。

结果

通过听觉测试和影像学检查对双胞胎的 EVA 听力损失进行了诊断。在 SLC26A4 中发现了两个致病性突变,c.919-2A>G 和 c.1614+5G>A,后者在文献中尚未报道。体外微基因表达证实,c.1614+5G>A 可导致异常剪接,导致外显子 14 跳过。

结论

c.1614+5G>A 是 SLC26A4 基因的致病突变。这一发现丰富了 SLC26A4 基因的突变谱,为 EVA 的遗传诊断提供了依据。

https://cdn.ncbi.nlm.nih.gov/pmc/blobs/60df/7549568/5242f29d7f80/MGG3-8-e1447-g001.jpg

文献AI研究员

20分钟写一篇综述,助力文献阅读效率提升50倍。

立即体验

用中文搜PubMed

大模型驱动的PubMed中文搜索引擎

马上搜索

文档翻译

学术文献翻译模型,支持多种主流文档格式。

立即体验